Go to JCI Insight
  • About
  • Editors
  • Consulting Editors
  • For authors
  • Publication ethics
  • Publication alerts by email
  • Advertising
  • Job board
  • Contact
  • Clinical Research and Public Health
  • Current issue
  • Past issues
  • By specialty
    • COVID-19
    • Cardiology
    • Gastroenterology
    • Immunology
    • Metabolism
    • Nephrology
    • Neuroscience
    • Oncology
    • Pulmonology
    • Vascular biology
    • All ...
  • Videos
    • ASCI Milestone Awards
    • Video Abstracts
    • Conversations with Giants in Medicine
  • Reviews
    • View all reviews ...
    • Clinical innovation and scientific progress in GLP-1 medicine (Nov 2025)
    • Pancreatic Cancer (Jul 2025)
    • Complement Biology and Therapeutics (May 2025)
    • Evolving insights into MASLD and MASH pathogenesis and treatment (Apr 2025)
    • Microbiome in Health and Disease (Feb 2025)
    • Substance Use Disorders (Oct 2024)
    • Clonal Hematopoiesis (Oct 2024)
    • View all review series ...
  • Viewpoint
  • Collections
    • In-Press Preview
    • Clinical Research and Public Health
    • Research Letters
    • Letters to the Editor
    • Editorials
    • Commentaries
    • Editor's notes
    • Reviews
    • Viewpoints
    • 100th anniversary
    • Top read articles

  • Current issue
  • Past issues
  • Specialties
  • Reviews
  • Review series
  • ASCI Milestone Awards
  • Video Abstracts
  • Conversations with Giants in Medicine
  • In-Press Preview
  • Clinical Research and Public Health
  • Research Letters
  • Letters to the Editor
  • Editorials
  • Commentaries
  • Editor's notes
  • Reviews
  • Viewpoints
  • 100th anniversary
  • Top read articles
  • About
  • Editors
  • Consulting Editors
  • For authors
  • Publication ethics
  • Publication alerts by email
  • Advertising
  • Job board
  • Contact
JAK2-binding long noncoding RNA promotes breast cancer brain metastasis
Shouyu Wang, Ke Liang, Qingsong Hu, Ping Li, Jian Song, Yuedong Yang, Jun Yao, Lingegowda Selanere Mangala, Chunlai Li, Wenhao Yang, Peter K. Park, David H. Hawke, Jianwei Zhou, Yan Zhou, Weiya Xia, Mien-Chie Hung, Jeffrey R. Marks, Gary E. Gallick, Gabriel Lopez-Berestein, Elsa R. Flores, Anil K. Sood, Suyun Huang, Dihua Yu, Liuqing Yang, Chunru Lin
Shouyu Wang, Ke Liang, Qingsong Hu, Ping Li, Jian Song, Yuedong Yang, Jun Yao, Lingegowda Selanere Mangala, Chunlai Li, Wenhao Yang, Peter K. Park, David H. Hawke, Jianwei Zhou, Yan Zhou, Weiya Xia, Mien-Chie Hung, Jeffrey R. Marks, Gary E. Gallick, Gabriel Lopez-Berestein, Elsa R. Flores, Anil K. Sood, Suyun Huang, Dihua Yu, Liuqing Yang, Chunru Lin
View: Text | PDF | Expression of Concern
Research Article Cell biology Oncology

JAK2-binding long noncoding RNA promotes breast cancer brain metastasis

  • Text
  • PDF
Abstract

Conventional therapies for breast cancer brain metastases (BCBMs) have been largely ineffective because of chemoresistance and impermeability of the blood-brain barrier. A comprehensive understanding of the underlying mechanism that allows breast cancer cells to infiltrate the brain is necessary to circumvent treatment resistance of BCBMs. Here, we determined that expression of a long noncoding RNA (lncRNA) that we have named lncRNA associated with BCBM (Lnc-BM) is prognostic of the progression of brain metastasis in breast cancer patients. In preclinical murine models, elevated Lnc-BM expression drove BCBM, while depletion of Lnc-BM with nanoparticle-encapsulated siRNAs effectively treated BCBM. Lnc-BM increased JAK2 kinase activity to mediate oncostatin M– and IL-6–triggered STAT3 phosphorylation. In breast cancer cells, Lnc-BM promoted STAT3-dependent expression of ICAM1 and CCL2, which mediated vascular co-option and recruitment of macrophages in the brain, respectively. Recruited macrophages in turn produced oncostatin M and IL-6, thereby further activating the Lnc-BM/JAK2/STAT3 pathway and enhancing BCBM. Collectively, our results show that Lnc-BM and JAK2 promote BCBMs by mediating communication between breast cancer cells and the brain microenvironment. Moreover, these results suggest targeting Lnc-BM as a potential strategy for fighting this difficult disease.

Authors

Shouyu Wang, Ke Liang, Qingsong Hu, Ping Li, Jian Song, Yuedong Yang, Jun Yao, Lingegowda Selanere Mangala, Chunlai Li, Wenhao Yang, Peter K. Park, David H. Hawke, Jianwei Zhou, Yan Zhou, Weiya Xia, Mien-Chie Hung, Jeffrey R. Marks, Gary E. Gallick, Gabriel Lopez-Berestein, Elsa R. Flores, Anil K. Sood, Suyun Huang, Dihua Yu, Liuqing Yang, Chunru Lin

×

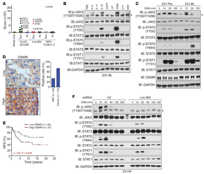
Figure 7

Lnc-BM–mediated signaling pathway triggered by OSM is required for BCBM.

Options: View larger image (or click on image) Download as PowerPoint
Lnc-BM–mediated signaling pathway triggered by OSM is required for BCBM....
(A) Summary of protein identification score revealed by lncRNA pull-down followed by mass spectrometry analysis using sense (Sen.) or antisense (As.) transcripts of indicated lncRNAs. (B and C) IB detection using indicated antibodies in 231-Br cells treated with the indicated cytokines for 30 minutes (B) or in 231-Br and 231-Par cells treated with OSM (50 ng/ml) for the indicated times. *Unspecific band. (D) IHC staining of OSMR in human breast cancer (n = 112 tissues) and adjacent normal tissues (NBT; n = 26 tissues). Scale bars: 100 μm. (E) Kaplan-Meier RFS analysis of OSMR expression in breast cancer patients detected by IHC (n = 35 and 57 tissues, respectively, log rank test). (F) IB detection using indicated antibodies in 231-Br cells harboring indicated shRNAs treated with OSM for the indicated times. *Unspecific band.

Copyright © 2026 American Society for Clinical Investigation
ISSN: 0021-9738 (print), 1558-8238 (online)

Sign up for email alerts