Go to JCI Insight
  • About
  • Editors
  • Consulting Editors
  • For authors
  • Publication ethics
  • Publication alerts by email
  • Advertising
  • Job board
  • Contact
  • Clinical Research and Public Health
  • Current issue
  • Past issues
  • By specialty
    • COVID-19
    • Cardiology
    • Gastroenterology
    • Immunology
    • Metabolism
    • Nephrology
    • Neuroscience
    • Oncology
    • Pulmonology
    • Vascular biology
    • All ...
  • Videos
    • Conversations with Giants in Medicine
    • Video Abstracts
  • Reviews
    • View all reviews ...
    • Clinical innovation and scientific progress in GLP-1 medicine (Nov 2025)
    • Pancreatic Cancer (Jul 2025)
    • Complement Biology and Therapeutics (May 2025)
    • Evolving insights into MASLD and MASH pathogenesis and treatment (Apr 2025)
    • Microbiome in Health and Disease (Feb 2025)
    • Substance Use Disorders (Oct 2024)
    • Clonal Hematopoiesis (Oct 2024)
    • View all review series ...
  • Viewpoint
  • Collections
    • In-Press Preview
    • Clinical Research and Public Health
    • Research Letters
    • Letters to the Editor
    • Editorials
    • Commentaries
    • Editor's notes
    • Reviews
    • Viewpoints
    • 100th anniversary
    • Top read articles

  • Current issue
  • Past issues
  • Specialties
  • Reviews
  • Review series
  • Conversations with Giants in Medicine
  • Video Abstracts
  • In-Press Preview
  • Clinical Research and Public Health
  • Research Letters
  • Letters to the Editor
  • Editorials
  • Commentaries
  • Editor's notes
  • Reviews
  • Viewpoints
  • 100th anniversary
  • Top read articles
  • About
  • Editors
  • Consulting Editors
  • For authors
  • Publication ethics
  • Publication alerts by email
  • Advertising
  • Job board
  • Contact
Axon guidance cue SLIT2 regulates the murine skeletal stem cell niche through sympathetic innervation
Zuoxing Wu, Na Li, Zhengqiong Luo, Zihan Chen, Xuemei He, Jie Han, Xixi Lin, Fan Shi, Haitao Huang, Baohong Shi, Yu Li, Xin Wang, Lin Meng, Dachuan Zhang, Lanfen Chen, Dawang Zhou, Weinan Cheng, Matthew B. Greenblatt, Ren Xu
Zuoxing Wu, Na Li, Zhengqiong Luo, Zihan Chen, Xuemei He, Jie Han, Xixi Lin, Fan Shi, Haitao Huang, Baohong Shi, Yu Li, Xin Wang, Lin Meng, Dachuan Zhang, Lanfen Chen, Dawang Zhou, Weinan Cheng, Matthew B. Greenblatt, Ren Xu
View: Text | PDF | Expression of Concern | Corrigendum
Research Article Bone biology Neuroscience

Axon guidance cue SLIT2 regulates the murine skeletal stem cell niche through sympathetic innervation

  • Text
  • PDF
Abstract

Sympathetic tone is a central signaling axis inhibiting osteogenesis; however, the combination of durable local and systemic sympathetic effects on bone argues that multiple mechanisms, including yet-undiscovered pathways, are involved. Here, we found that sympathetic nerves constituted a component of the skeletal stem cell (SSC) niche: mice with conditional deletion of the classical axonal repellent Slit2 in sympathetic nerves (Slit2th mice), but not in bone stem/progenitor cells or sensory nerves, showed osteopenia due to an increase in sympathetic innervation and an associated decrease in SSCs. Mice with increased skeletal sympathetic innervation displayed impaired SSC niche function in an SSC orthotopic transplantation and engraftment system. Follistatin-like 1 (FSTL1) is a SLIT2-regulated soluble factor suppressing SSC self-renewal and osteogenic capacity. Accordingly, ablation of Fstl1 in sympathetic neurons enhanced SSC-driven osteogenesis and attenuated the bone loss seen in Slit2th mice. Together, the findings indicate that SLIT2 is a regulator of a sympathetic nerve–mediated SSC niche.

Authors

Zuoxing Wu, Na Li, Zhengqiong Luo, Zihan Chen, Xuemei He, Jie Han, Xixi Lin, Fan Shi, Haitao Huang, Baohong Shi, Yu Li, Xin Wang, Lin Meng, Dachuan Zhang, Lanfen Chen, Dawang Zhou, Weinan Cheng, Matthew B. Greenblatt, Ren Xu

×

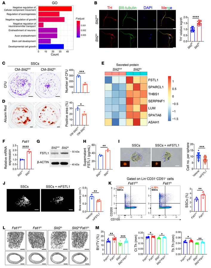
Figure 5

FSTL1 secreted from sympathetic nerves inhibits SSC self-renewal and osteogenesis.

Options: View larger image (or click on image) Download as PowerPoint
FSTL1 secreted from sympathetic nerves inhibits SSC self-renewal and ost...
(A) GO enrichment analysis of genes differentially expressed in Slit2th sympathetic neurons relative to Slit2fl/fl sympathetic neurons. The significance values are based on a hypergeometric test. (B) Sympathetic neuron culture, TH+ (red) and βIII-tubulin+ (green) axon staining, and quantitative analysis in 3-week-old mice. Slit2fl/fl, n = 18; Slit2th. n = 18. Scale bars: 25 μm. (C) Crystal violet staining and quantitative analysis of CFU formation in SSCs stimulated with sympathetic neuronal conditioned medium. n = 3 per group. CM-Slit2fl/fl, conditioned culture medium of sympathetic neurons in Slit2fl/fl mice; CM-Slit2th, conditioned culture medium of sympathetic neurons in Slit2th mice. Scale bars: 5 mm. (D) Alizarin red staining and quantitative analysis of SSC mineralization activity after stimulation with conditioned medium from sympathetic neurons. n = 3 per group. Scale bars: 1 mm. (E) Expression of the soluble factors elevated in primary Slit2th sympathetic neurons relative to Slit2fl/fl sympathetic neurons. (F) mRNA levels of Fstl1 in primary Slit2fl/fl and Slit2th sympathetic neurons were analyzed by real-time PCR. n = 4 per group. (G) Protein levels of FSLT1 in primary Slit2fl/fl and Slit2th sympathetic neurons were analyzed by immunoblotting. n = 3 per group. (H) Results from ELISA for FSTL1 secretion in primary Slit2fl/fl and Slit2th sympathetic neurons. n = 3 per group. (I) Pellet formation assay and quantitative analysis of SSCs cultured for 8 days after treatment with recombinant FSTL1 or vehicle. n = 4 per group. Scale bars: 20 μm. (J) Representative μCT images and quantitative analysis of the bone volume of bone organoids 4 weeks after renal capsule transplantation of SSCs encapsulated in Matrigel and stimulated by treatment with recombinant protein FSTL1 or vehicle. n = 4 per group. Scale bars: 500 μm. (K) Representative flow cytometry plots and relative frequency of SSCs from femurs of 3-week-old Fstl1fl/fl and Fstl1th male mice. n = 5 per group. (L and M) Representative μCT images of trabecular bone in the distal femur (L) and relative quantitative analysis of bone volume/total volume (BV/TV) and relative quantitative analysis of bone parameters (M) in Fstl1fl/fl, Fstl1th, Slit2th, and Slit2thFstl1th male mice at 8 weeks of age. Fstl1fl/fl, n = 10; Fstl1th, n = 11; Slit2th, n = 15; Slit2thFstl1th, n = 10. Scale bars: 500 μm. Error bars indicate mean ± SEM. *P < 0.05, **P < 0.01, ***P < 0.001, ****P < 0.0001, by unpaired, 2-tailed Student’s t test for 2-group comparisons (B–D, F, and H–K). *P < 0.05, **P < 0.01, ***P < 0.001, by 1-way ANOVA followed by Tukey’s post hoc test for multiple comparisons (M).

Copyright © 2026 American Society for Clinical Investigation
ISSN: 0021-9738 (print), 1558-8238 (online)

Sign up for email alerts