Go to JCI Insight
  • About
  • Editors
  • Consulting Editors
  • For authors
  • Publication ethics
  • Publication alerts by email
  • Advertising
  • Job board
  • Contact
  • Clinical Research and Public Health
  • Current issue
  • Past issues
  • By specialty
    • COVID-19
    • Cardiology
    • Gastroenterology
    • Immunology
    • Metabolism
    • Nephrology
    • Neuroscience
    • Oncology
    • Pulmonology
    • Vascular biology
    • All ...
  • Videos
    • ASCI Milestone Awards
    • Video Abstracts
    • Conversations with Giants in Medicine
  • Reviews
    • View all reviews ...
    • Clinical innovation and scientific progress in GLP-1 medicine (Nov 2025)
    • Pancreatic Cancer (Jul 2025)
    • Complement Biology and Therapeutics (May 2025)
    • Evolving insights into MASLD and MASH pathogenesis and treatment (Apr 2025)
    • Microbiome in Health and Disease (Feb 2025)
    • Substance Use Disorders (Oct 2024)
    • Clonal Hematopoiesis (Oct 2024)
    • View all review series ...
  • Viewpoint
  • Collections
    • In-Press Preview
    • Clinical Research and Public Health
    • Research Letters
    • Letters to the Editor
    • Editorials
    • Commentaries
    • Editor's notes
    • Reviews
    • Viewpoints
    • 100th anniversary
    • Top read articles

  • Current issue
  • Past issues
  • Specialties
  • Reviews
  • Review series
  • ASCI Milestone Awards
  • Video Abstracts
  • Conversations with Giants in Medicine
  • In-Press Preview
  • Clinical Research and Public Health
  • Research Letters
  • Letters to the Editor
  • Editorials
  • Commentaries
  • Editor's notes
  • Reviews
  • Viewpoints
  • 100th anniversary
  • Top read articles
  • About
  • Editors
  • Consulting Editors
  • For authors
  • Publication ethics
  • Publication alerts by email
  • Advertising
  • Job board
  • Contact
Astrocyte-intrinsic signaling of chitinase-like protein CHI3L1 drives inflammation and amplifies demyelination in neuromyelitis optica
Huiming Xu, Wei Jiang, Li Xu, Haoyang Li, Xin Yang, Fan Zhu, Pengyan He, Yanna Song, Yuhan Li, Yu-Wen Alvin Huang, Wei Qiu, Changyong Tang
Huiming Xu, Wei Jiang, Li Xu, Haoyang Li, Xin Yang, Fan Zhu, Pengyan He, Yanna Song, Yuhan Li, Yu-Wen Alvin Huang, Wei Qiu, Changyong Tang
View: Text | PDF
Research Article Autoimmunity Neuroscience

Astrocyte-intrinsic signaling of chitinase-like protein CHI3L1 drives inflammation and amplifies demyelination in neuromyelitis optica

  • Text
  • PDF
Abstract

Neuromyelitis optica (NMO) is an autoimmune disorder characterized by autoantibodies against the astrocyte water channel aquaporin-4 (AQP4) that cause demyelination in the optic nerves and spinal cord. How astrocytopathy leads to myelination deficits remains unclear. Chitinase-3–like protein 1 (CHI3L1, also known as YKL-40) is predominantly secreted by activated astrocytes, serves as a robust NMO biomarker, and plays a role in immune responses, but how it is induced and shapes astrocyte activation in NMO is not well defined. Using ex vivo and in vivo NMO mouse models together with mice with astrocyte-specific CHI3L1 knockout, we demonstrated that CHI3L1 directly contributed to demyelinating lesions elicited by AQP4 autoantibody–activated astrocytes. With complementary in vitro assays and inducible transgenic lines, we uncovered an astrocyte-intrinsic cascade in which AQP4 autoantibody exposure activated STAT3, which in turn drove CHI3L1 expression and secretion. Secreted CHI3L1 then engaged the astrocytic receptor RAGE in an autocrine manner, activating downstream NF-κB signaling that drove proinflammatory gliosis and damaged myelination. Pharmacological blockade of this pathway in NMO models rescued demyelinating pathology and improved motor function. These findings reveal an astrocyte-intrinsic CHI3L1 pathway that contributed to demyelination in NMO and identify actionable therapeutic targets.

Authors

Huiming Xu, Wei Jiang, Li Xu, Haoyang Li, Xin Yang, Fan Zhu, Pengyan He, Yanna Song, Yuhan Li, Yu-Wen Alvin Huang, Wei Qiu, Changyong Tang

×

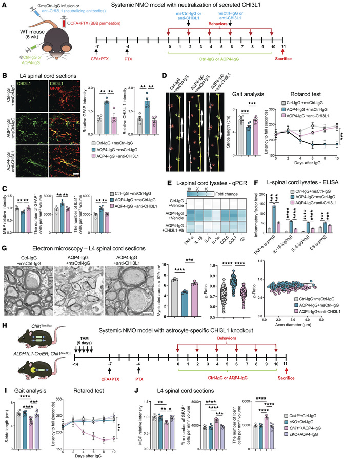
Figure 2

Astrocyte-secreted CHI3L1 is required for NMO-related demyelination, glial activation, and motor deficits.

Options: View larger image (or click on image) Download as PowerPoint
Astrocyte-secreted CHI3L1 is required for NMO-related demyelination, gli...
(A) Systemic NMO model: BBB/blood–spinal cord barrier disruption with CFA (s.c.) and PTX (i.p.), followed by daily i.p. AQP4-IgG or Ctrl-IgG; anti-CHI3L1 (10 μg, i.v.) or control IgG (msCtrl-IgG) administered at indicated times. ms, mouse. (B) L4 spinal cord confocal images showing that anti-CHI3L1 reduces AQP4-IgG–induced CHI3L1 upregulation and astrocyte activation (GFAP). Quantified GFAP and CHI3L1 signals normalized to Ctrl-IgG + vehicle = 1.0. Scale bar: 20 μm; n = 4 mice per group (3 sections per mouse). (C) Anti-CHI3L1 mitigates demyelination and gliosis: MBP intensity and densities of GFAP+ astrocytes and Iba1+ microglia in L4 sections. n = 5 mice per group (3 sections per mouse). (D) Motor function: anti-CHI3L1 improves stride length and rotarod latency in systemic NMO mice. n = 8 per group. (E) Quantitative PCR (qPCR) heatmap of NF-κB–regulated cytokines (TNF-α, IL-1β, IL-6, IL-1α, CCL5, CCL7, C3) in lumbar cord after CHI3L1 neutralization, normalized to Ctrl-IgG + vehicle. n = 3 per group. (F) ELISA of secreted cytokines in lumbar cord lysates with anti-CHI3L1 versus msCtrl-IgG. n = 3 per group. (G) Electron microscopy of L4 white matter showing preservation of myelin with anti-CHI3L1. Scale bar: 2 μm; n = 3 animals per group. Quantified myelinated-axon density (normalized to Ctrl-IgG + msCtrl-IgG = 1.0) and g-ratio; 150 axons per group from 3 animals. (H) Conditional astrocyte-specific CHI3L1 knockout (Chil1 cKO): Chil1fl/fl × ALDH1L1-CreERT2, tamoxifen-induced; subjected to systemic NMO paradigm, followed by behavioral testing and histopathology. (I) Chil1 cKO improves gait and rotarod performance versus floxed controls under AQP4-IgG. n = 8 per group. (J) Chil1 cKO reduces demyelination and gliosis: MBP intensity and GFAP+Iba1+ cell densities in L4 sections. n = 5 per group (3 sections per mouse). Statistics: Mean ± SEM. Rotarod latency analyzed by 2-way ANOVA (D and I). All other bar graphs: 1-way ANOVA with Tukey’s post hoc test or Welch’s ANOVA with Dunnett’s T3 test for unequal variances. Non-significant comparisons are not shown. *P < 0.05; **P < 0.01; ***P < 0.001; ****P < 0.0001.

Copyright © 2026 American Society for Clinical Investigation
ISSN: 0021-9738 (print), 1558-8238 (online)

Sign up for email alerts