Go to JCI Insight
  • About
  • Editors
  • Consulting Editors
  • For authors
  • Publication ethics
  • Publication alerts by email
  • Advertising
  • Job board
  • Contact
  • Clinical Research and Public Health
  • Current issue
  • Past issues
  • By specialty
    • COVID-19
    • Cardiology
    • Gastroenterology
    • Immunology
    • Metabolism
    • Nephrology
    • Neuroscience
    • Oncology
    • Pulmonology
    • Vascular biology
    • All ...
  • Videos
    • Conversations with Giants in Medicine
    • Video Abstracts
  • Reviews
    • View all reviews ...
    • Clinical innovation and scientific progress in GLP-1 medicine (Nov 2025)
    • Pancreatic Cancer (Jul 2025)
    • Complement Biology and Therapeutics (May 2025)
    • Evolving insights into MASLD and MASH pathogenesis and treatment (Apr 2025)
    • Microbiome in Health and Disease (Feb 2025)
    • Substance Use Disorders (Oct 2024)
    • Clonal Hematopoiesis (Oct 2024)
    • View all review series ...
  • Viewpoint
  • Collections
    • In-Press Preview
    • Clinical Research and Public Health
    • Research Letters
    • Letters to the Editor
    • Editorials
    • Commentaries
    • Editor's notes
    • Reviews
    • Viewpoints
    • 100th anniversary
    • Top read articles

  • Current issue
  • Past issues
  • Specialties
  • Reviews
  • Review series
  • Conversations with Giants in Medicine
  • Video Abstracts
  • In-Press Preview
  • Clinical Research and Public Health
  • Research Letters
  • Letters to the Editor
  • Editorials
  • Commentaries
  • Editor's notes
  • Reviews
  • Viewpoints
  • 100th anniversary
  • Top read articles
  • About
  • Editors
  • Consulting Editors
  • For authors
  • Publication ethics
  • Publication alerts by email
  • Advertising
  • Job board
  • Contact
LC3-dependent intercellular transfer of phosphorylated STAT1/2 elicits CXCL9+ macrophages and enhances radiation-induced antitumor immunity
Jun-Yan Li, Ying-Qing Li, Jia-Hao Dai, Sha Gong, Qing-Mei He, Jie-Wen Bai, Sai-Wei Huang, Ying-Qi Lu, Yu-Fei Duan, Sen-Yu Feng, Xi-Rong Tan, Xiao-Yu Liang, Jun Ma, Rui Guo, Na Liu
Jun-Yan Li, Ying-Qing Li, Jia-Hao Dai, Sha Gong, Qing-Mei He, Jie-Wen Bai, Sai-Wei Huang, Ying-Qi Lu, Yu-Fei Duan, Sen-Yu Feng, Xi-Rong Tan, Xiao-Yu Liang, Jun Ma, Rui Guo, Na Liu
View: Text | PDF
Research Article Cell biology Immunology Oncology

LC3-dependent intercellular transfer of phosphorylated STAT1/2 elicits CXCL9+ macrophages and enhances radiation-induced antitumor immunity

  • Text
  • PDF
Abstract

The efficacy of anticancer treatments, including radiotherapy, depends on the activation of type I IFN signaling. However, its regulatory networks and mechanisms remain to be elucidated. Here, we report that tumor cell–intrinsic type I IFN signaling can be transferred to macrophages via secretory autophagy, inducing CXCL9hi macrophages and enhancing CD8+ T cell–mediated antitumor immunity. Mechanistically, K63-linked ubiquitination at the K167 site of phosphorylated STAT2 (p-STAT2) facilitates its binding to LC3B, promoting the loading of p-STAT1 and p-STAT2 into extracellular vesicles and intercellular transference from tumor cells to macrophages, which, however, is suppressed by USP5-mediated STAT2 deubiquitination. Genetic depletion or pharmacological inhibition of USP5 promotes autophagy-dependent unconventional protein secretion of p-STAT1 and p-STAT2, leading to the induction of CXCL9+ macrophages. This process promotes the expression of T cell chemokines and upregulates the antigen presentation machinery, thereby enhancing radiation-induced CD8+ T cell antitumor immunity and radiotherapy efficacy. Our findings reveal a critical role of USP5 in type I IFN–induced antitumor immunity, providing potential targets for improving the efficacy of radiotherapy.

Authors

Jun-Yan Li, Ying-Qing Li, Jia-Hao Dai, Sha Gong, Qing-Mei He, Jie-Wen Bai, Sai-Wei Huang, Ying-Qi Lu, Yu-Fei Duan, Sen-Yu Feng, Xi-Rong Tan, Xiao-Yu Liang, Jun Ma, Rui Guo, Na Liu

×

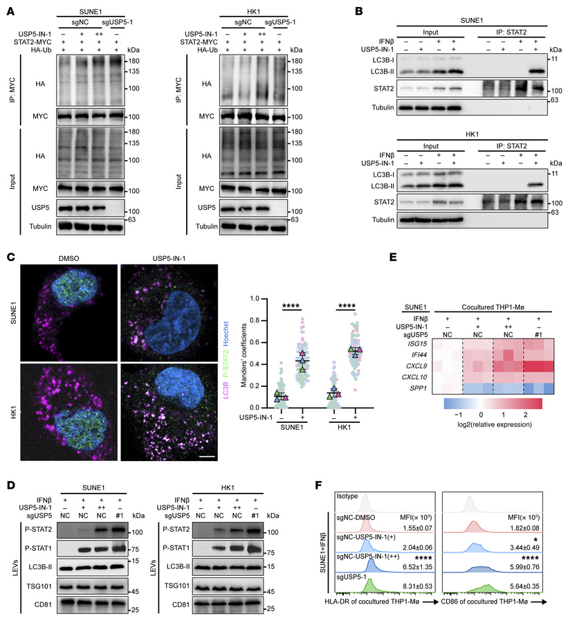
Figure 7

USP5 inhibition increased the ubiquitination and secretion of p-STAT2.

Options: View larger image (or click on image) Download as PowerPoint
USP5 inhibition increased the ubiquitination and secretion of p-STAT2.
(...
(A) USP5-IN-1 increased STAT2 ubiquitination in SUNE1 and HK1 cells after IFN-β treatment. (B) Co-IP shows that the USP5-IN-1 treatment promotes the interaction between STAT2 and LC3B-II. (C) Immunofluorescence assay and representative images show the colocalization of p-STAT2 and LC3B in USP5-IN-1– and IFN-β–treated SUNE1 and HK1 cells. Scale bar: 10 μm. The Manders’ colocalization coefficients are reported. (D) Western blot showing the p-STAT1 and p-STAT2 levels in large extracellular vesicles (LEVs) from SUNE1 and HK1 cells treated with USP5-IN-1 and IFN-β. (E and F) Relative mRNA expression of ISG15, IFI44, CXCL9, CXCL10, and SPP1 (E), and HLA-DR and CD86 expression (F) in THP1-MΦ after coculture with SUNE1 cells pretreated with DMSO or USP5-IN-1 and IFN-β. The results are representative of 3 independent experiments (A–F). The data are presented as mean ± SD. Comparisons were performed using 2-way ANOVA with Bonferroni’s test (C and F) for multiple comparisons. *P < 0.05, ****P < 0.0001.

Copyright © 2025 American Society for Clinical Investigation
ISSN: 0021-9738 (print), 1558-8238 (online)

Sign up for email alerts