Go to JCI Insight
  • About
  • Editors
  • Consulting Editors
  • For authors
  • Publication ethics
  • Publication alerts by email
  • Advertising
  • Job board
  • Contact
  • Clinical Research and Public Health
  • Current issue
  • Past issues
  • By specialty
    • COVID-19
    • Cardiology
    • Gastroenterology
    • Immunology
    • Metabolism
    • Nephrology
    • Neuroscience
    • Oncology
    • Pulmonology
    • Vascular biology
    • All ...
  • Videos
    • ASCI Milestone Awards
    • Video Abstracts
    • Conversations with Giants in Medicine
  • Reviews
    • View all reviews ...
    • Neurodegeneration (Mar 2026)
    • Clinical innovation and scientific progress in GLP-1 medicine (Nov 2025)
    • Pancreatic Cancer (Jul 2025)
    • Complement Biology and Therapeutics (May 2025)
    • Evolving insights into MASLD and MASH pathogenesis and treatment (Apr 2025)
    • Microbiome in Health and Disease (Feb 2025)
    • Substance Use Disorders (Oct 2024)
    • View all review series ...
  • Viewpoint
  • Collections
    • In-Press Preview
    • Clinical Research and Public Health
    • Research Letters
    • Letters to the Editor
    • Editorials
    • Commentaries
    • Editor's notes
    • Reviews
    • Viewpoints
    • 100th anniversary
    • Top read articles

  • Current issue
  • Past issues
  • Specialties
  • Reviews
  • Review series
  • ASCI Milestone Awards
  • Video Abstracts
  • Conversations with Giants in Medicine
  • In-Press Preview
  • Clinical Research and Public Health
  • Research Letters
  • Letters to the Editor
  • Editorials
  • Commentaries
  • Editor's notes
  • Reviews
  • Viewpoints
  • 100th anniversary
  • Top read articles
  • About
  • Editors
  • Consulting Editors
  • For authors
  • Publication ethics
  • Publication alerts by email
  • Advertising
  • Job board
  • Contact
Glioblastoma stem cells resist cuproptosis with circadian variation of copper levels
Fanen Yuan, Xujia Wu, Huairui Yuan, Donghai Wang, Tengfei Huang, Po Zhang, Hailong Mi, Weichi Wu, Suchet Taori, Priscilla Chan, Kenji Miki, Maged T. Ghoche, Linjie Zhao, Kalil G. Abdullah, Steve A. Kay, Qiulian Wu, Jeremy N. Rich
Fanen Yuan, Xujia Wu, Huairui Yuan, Donghai Wang, Tengfei Huang, Po Zhang, Hailong Mi, Weichi Wu, Suchet Taori, Priscilla Chan, Kenji Miki, Maged T. Ghoche, Linjie Zhao, Kalil G. Abdullah, Steve A. Kay, Qiulian Wu, Jeremy N. Rich
View: Text | PDF
Research Article Cell biology Neuroscience Oncology

Glioblastoma stem cells resist cuproptosis with circadian variation of copper levels

  • Text
  • PDF
Abstract

Cuproptosis involves accumulation of intracellular copper that triggers mitochondrial lipoylated protein aggregation and destabilization of iron–sulfur cluster proteins, leading to cell death. Pharmacologic induction of cuproptosis has been proposed as a cancer therapy. Here, we find that glioblastoma (GBM) stem cells (GSCs) displayed relative resistance to cuproptosis with circadian variation of intracellular copper levels. CRISPR screening of copper regulators under concurrent treatment with copper ionophore or clock disruption revealed dependency on ATPase copper transporting alpha (ATP7A). Circadian control of copper homeostasis was mediated by the core clock transcription factor, brain and muscle ARNT-like 1 (BMAL1). In turn, ATP7A promoted tumor cell growth through regulation of fatty acid desaturation. Copper levels negatively fed back into the circadian circuitry through sequestosome 1/p62–mediated lysosomal degradation of BMAL1. Targeting the circadian clock or fatty acid desaturation augmented cuproptosis antitumor effects. Crosstalk between the core circadian clock and copper sustains GSCs, reshaping fatty acid metabolism and promoting drug resistance, which may inform development of combination therapies for GBM.

Authors

Fanen Yuan, Xujia Wu, Huairui Yuan, Donghai Wang, Tengfei Huang, Po Zhang, Hailong Mi, Weichi Wu, Suchet Taori, Priscilla Chan, Kenji Miki, Maged T. Ghoche, Linjie Zhao, Kalil G. Abdullah, Steve A. Kay, Qiulian Wu, Jeremy N. Rich

×

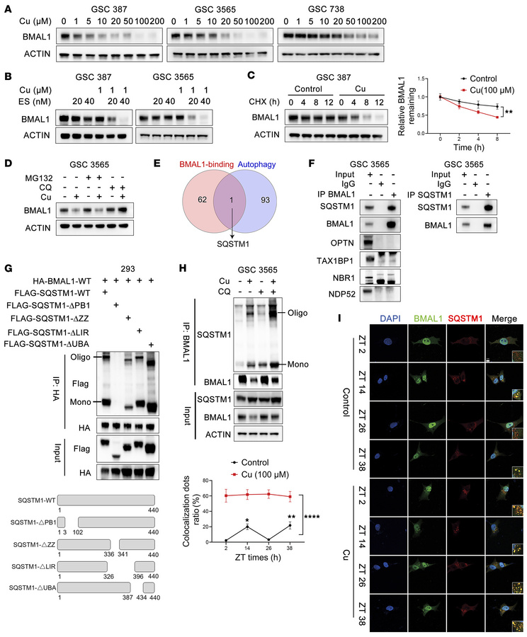
Figure 6

Copper feeds back onto the clock through SQSTM1-mediated autophagy.

Options: View larger image (or click on image) Download as PowerPoint
Copper feeds back onto the clock through SQSTM1-mediated autophagy.
(A a...
(A and B) Western blots showing BMAL1 expression in GSCs treated with increasing CuCl2 or ES ± 1 μM CuCl2. SQSTM1, sequestosome 1. (C) GSCs pretreated with CuCl2 (100 μM) or control for 24 hours, then exposed to CHX (100 μg/mL); BMAL1 stability assessed by Western blot. (D) BMAL1 levels in GSCs treated with MG132 (10 μM) or chloroquine (CQ; 10 μM) for 10 hours. (E) BMAL1-interacting proteins identified by mass spectrometry overlapping with GO:0061912 (selective autophagy). (F) Endogenous BMAL1 or p62 immunoprecipitated from GSC3565 and analyzed by immunoblotting; IgG served as control. (G) Co-IP of HA-BMAL1-WT and SQSTM1 fragments in HEK293T cells showing their interaction. (H) Endogenous BMAL1 immunoprecipitated from GSCs treated with indicated CuCl2 concentrations. (I) Immunofluorescence showing BMAL1–SQSTM1 colocalization at 12-hour intervals in synchronized GSCs ± CuCl2 (100 μM). Scale bar: 10 μm. *P < 0.05, **P < 0.01, ****P < 0.0001.

Copyright © 2026 American Society for Clinical Investigation
ISSN: 0021-9738 (print), 1558-8238 (online)

Sign up for email alerts