Go to JCI Insight
  • About
  • Editors
  • Consulting Editors
  • For authors
  • Publication ethics
  • Publication alerts by email
  • Advertising
  • Job board
  • Contact
  • Clinical Research and Public Health
  • Current issue
  • Past issues
  • By specialty
    • COVID-19
    • Cardiology
    • Gastroenterology
    • Immunology
    • Metabolism
    • Nephrology
    • Neuroscience
    • Oncology
    • Pulmonology
    • Vascular biology
    • All ...
  • Videos
    • ASCI Milestone Awards
    • Video Abstracts
    • Conversations with Giants in Medicine
  • Reviews
    • View all reviews ...
    • Clinical innovation and scientific progress in GLP-1 medicine (Nov 2025)
    • Pancreatic Cancer (Jul 2025)
    • Complement Biology and Therapeutics (May 2025)
    • Evolving insights into MASLD and MASH pathogenesis and treatment (Apr 2025)
    • Microbiome in Health and Disease (Feb 2025)
    • Substance Use Disorders (Oct 2024)
    • Clonal Hematopoiesis (Oct 2024)
    • View all review series ...
  • Viewpoint
  • Collections
    • In-Press Preview
    • Clinical Research and Public Health
    • Research Letters
    • Letters to the Editor
    • Editorials
    • Commentaries
    • Editor's notes
    • Reviews
    • Viewpoints
    • 100th anniversary
    • Top read articles

  • Current issue
  • Past issues
  • Specialties
  • Reviews
  • Review series
  • ASCI Milestone Awards
  • Video Abstracts
  • Conversations with Giants in Medicine
  • In-Press Preview
  • Clinical Research and Public Health
  • Research Letters
  • Letters to the Editor
  • Editorials
  • Commentaries
  • Editor's notes
  • Reviews
  • Viewpoints
  • 100th anniversary
  • Top read articles
  • About
  • Editors
  • Consulting Editors
  • For authors
  • Publication ethics
  • Publication alerts by email
  • Advertising
  • Job board
  • Contact
Characterization of heterogeneity in the molecular pathogenesis of lupus nephritis from transcriptional profiles of laser-captured glomeruli
Karin S. Peterson, Jing-Feng Huang, Jessica Zhu, Vivette D’Agati, Xuejun Liu, Nancy Miller, Mark G. Erlander, Michael R. Jackson, Robert J. Winchester
Karin S. Peterson, Jing-Feng Huang, Jessica Zhu, Vivette D’Agati, Xuejun Liu, Nancy Miller, Mark G. Erlander, Michael R. Jackson, Robert J. Winchester
View: Text | PDF
Article Autoimmunity

Characterization of heterogeneity in the molecular pathogenesis of lupus nephritis from transcriptional profiles of laser-captured glomeruli

  • Text
  • PDF
Abstract

The molecular pathogenesis of focal/diffuse proliferative lupus glomerulonephritis was studied by cDNA microarray analysis of gene expression in glomeruli from clinical biopsies. Transcriptional phenotyping of glomeruli isolated by laser-capture microscopy revealed considerable kidney-to-kidney heterogeneity in increased transcript expression, resulting in four main gene clusters that identified the presence of B cells, several myelomonocytic lineages, fibroblast and epithelial cell proliferation, matrix alterations, and expression of type I IFN–inducible genes. Glomerulus-to-glomerulus variation within a kidney was less marked. The myeloid lineage transcripts, characteristic of those found in isolated activated macrophages and myeloid dendritic cells, were widely distributed in all biopsy samples. One major subgroup of the samples expressed fibrosis-related genes that correlated with pathological evidence of glomerulosclerosis; however, decreased expression of TGF-β1 argued against its role in lupus renal fibrosis. Expression of type I IFN–inducible transcripts by a second subset of samples was associated with reduced expression of fibrosis-related genes and milder pathological features. This pattern of gene expression resembled that exhibited by activated NK cells. A large gene cluster with decreased expression found in all samples included ion channels and transcription factors, indicating a loss-of-function response to the glomerular injury.

Authors

Karin S. Peterson, Jing-Feng Huang, Jessica Zhu, Vivette D’Agati, Xuejun Liu, Nancy Miller, Mark G. Erlander, Michael R. Jackson, Robert J. Winchester

×

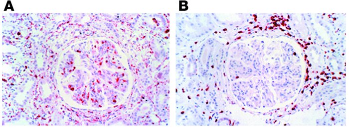
Figure 7

Options: View larger image (or click on image) Download as PowerPoint
Immunohistochemical staining of a lupus renal biopsy. (A and
           ...
Immunohistochemical staining of a lupus renal biopsy. (A and B) Monoclonal antibodies identifying CD68 (A) and CD3 (B) were used to stain lupus biopsies, followed by a second antibody and detection with peroxidase. Similar staining of control biopsies did not identify any reactive cells (data not shown). Magnification, ∞20.

Copyright © 2026 American Society for Clinical Investigation
ISSN: 0021-9738 (print), 1558-8238 (online)

Sign up for email alerts