Go to JCI Insight
  • About
  • Editors
  • Consulting Editors
  • For authors
  • Publication ethics
  • Publication alerts by email
  • Advertising
  • Job board
  • Contact
  • Clinical Research and Public Health
  • Current issue
  • Past issues
  • By specialty
    • COVID-19
    • Cardiology
    • Gastroenterology
    • Immunology
    • Metabolism
    • Nephrology
    • Neuroscience
    • Oncology
    • Pulmonology
    • Vascular biology
    • All ...
  • Videos
    • ASCI Milestone Awards
    • Video Abstracts
    • Conversations with Giants in Medicine
  • Reviews
    • View all reviews ...
    • Clinical innovation and scientific progress in GLP-1 medicine (Nov 2025)
    • Pancreatic Cancer (Jul 2025)
    • Complement Biology and Therapeutics (May 2025)
    • Evolving insights into MASLD and MASH pathogenesis and treatment (Apr 2025)
    • Microbiome in Health and Disease (Feb 2025)
    • Substance Use Disorders (Oct 2024)
    • Clonal Hematopoiesis (Oct 2024)
    • View all review series ...
  • Viewpoint
  • Collections
    • In-Press Preview
    • Clinical Research and Public Health
    • Research Letters
    • Letters to the Editor
    • Editorials
    • Commentaries
    • Editor's notes
    • Reviews
    • Viewpoints
    • 100th anniversary
    • Top read articles

  • Current issue
  • Past issues
  • Specialties
  • Reviews
  • Review series
  • ASCI Milestone Awards
  • Video Abstracts
  • Conversations with Giants in Medicine
  • In-Press Preview
  • Clinical Research and Public Health
  • Research Letters
  • Letters to the Editor
  • Editorials
  • Commentaries
  • Editor's notes
  • Reviews
  • Viewpoints
  • 100th anniversary
  • Top read articles
  • About
  • Editors
  • Consulting Editors
  • For authors
  • Publication ethics
  • Publication alerts by email
  • Advertising
  • Job board
  • Contact
Multiomic analysis reveals a key BCAT1 role in mTOR activation by B cell receptor and TLR9
Rui Guo, Yizhe Sun, Matthew Y. Lim, Hardik Shah, Joao A. Paulo, Rahaman A. Ahmed, Weixing Li, Yuchen Zhang, Haopeng Yang, Liang Wei Wang, Daniel Strebinger, Nicholas A. Smith, Meng Li, Merrin Man Long Leong, Michael Lutchenkov, Jin Hua Liang, Zhixuan Li, Yin Wang, Rishi Puri, Ari Melnick, Michael R. Green, John M. Asara, Adonia E. Papathanassiu, Duane R. Wesemann, Steven P. Gygi, Vamsi K. Mootha, Benjamin E. Gewurz
Rui Guo, Yizhe Sun, Matthew Y. Lim, Hardik Shah, Joao A. Paulo, Rahaman A. Ahmed, Weixing Li, Yuchen Zhang, Haopeng Yang, Liang Wei Wang, Daniel Strebinger, Nicholas A. Smith, Meng Li, Merrin Man Long Leong, Michael Lutchenkov, Jin Hua Liang, Zhixuan Li, Yin Wang, Rishi Puri, Ari Melnick, Michael R. Green, John M. Asara, Adonia E. Papathanassiu, Duane R. Wesemann, Steven P. Gygi, Vamsi K. Mootha, Benjamin E. Gewurz
View: Text | PDF
Research Article Cell biology Metabolism

Multiomic analysis reveals a key BCAT1 role in mTOR activation by B cell receptor and TLR9

  • Text
  • PDF
Abstract

B lymphocytes play major adaptive immune roles, producing antibodies and driving T cell responses. However, how immunometabolism networks support B cell activation and differentiation in response to distinct receptor stimuli remains incompletely understood. To gain insights, we systematically investigated acute primary human B cell transcriptional, translational, and metabolomic responses to B cell receptor (BCR), TLR9, CD40-ligand (CD40L), IL-4, or combinations thereof. T cell–independent BCR/TLR9 costimulation, which drives malignant and autoimmune B cell states, highly induced transaminase branched chain amino acid transaminase 1 (BCAT1), which localized to lysosomal membranes to support branched chain amino acid synthesis and mTORC1 activation. BCAT1 inhibition blunted BCR/TLR9, but not CD40L/IL-4–triggered B cell proliferation, IL-10 expression, and BCR/TLR pathway–driven lymphoma xenograft outgrowth. These results provide a valuable resource, reveal receptor-mediated immunometabolism remodeling to support key B cell phenotypes, and identify BCAT1 as an activated B cell therapeutic target.

Authors

Rui Guo, Yizhe Sun, Matthew Y. Lim, Hardik Shah, Joao A. Paulo, Rahaman A. Ahmed, Weixing Li, Yuchen Zhang, Haopeng Yang, Liang Wei Wang, Daniel Strebinger, Nicholas A. Smith, Meng Li, Merrin Man Long Leong, Michael Lutchenkov, Jin Hua Liang, Zhixuan Li, Yin Wang, Rishi Puri, Ari Melnick, Michael R. Green, John M. Asara, Adonia E. Papathanassiu, Duane R. Wesemann, Steven P. Gygi, Vamsi K. Mootha, Benjamin E. Gewurz

×

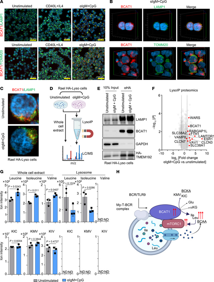
Figure 5

BCR/TLR9 but not CD40/IL-4 costimulation targets BCAT1 to remodeled lysosomes.

Options: View larger image (or click on image) Download as PowerPoint
BCR/TLR9 but not CD40/IL-4 costimulation targets BCAT1 to remodeled lyso...
(A) Confocal microscopy analysis of BCAT1 (red) colocalization with the lysosomal LAMP1 (top, green) or mitochondrial TOMM20 (bottom, green) markers in primary B cells stimulated for 24 hours as indicated. (B) 3D Z-stack reconstruction of BCAT1, LAMP1, and TOMM20 in primary B cells stimulated by αIgM + CpG for 24 hours. (C) Confocal analysis of BCAT1 and LAMP1 colocalization in Rael TMEM192-HA+ B cells (HA-Lyso cells) stimulated by αIgM + CpG for 24 hours, as indicated. (D) Lyso-IP proteomic analysis workflow. (E) Immunoblot of whole-cell lysates or anti-HA immunopurified lysosomes from Rael Lyso cells stimulated as in D. (F) Volcano plot of –log10 (P value) versus log2 (fold-change) of tandem-mass-tag protein abundance in immunopurified lysosomes from Rael Lyso-IP cells as in D. (G) Normalized BCAAs and BCKA ion intensities in whole-cell lysates versus lysosomes immunopurified from Rael Lyso-IP cells as in D. P values were calculated by 2-tailed paired Student’s t test. (H) Schematic of BCAT1 lysosomal targeting and BCAA production to support mTORC1 hyperactivation.

Copyright © 2026 American Society for Clinical Investigation
ISSN: 0021-9738 (print), 1558-8238 (online)

Sign up for email alerts