Go to JCI Insight
  • About
  • Editors
  • Consulting Editors
  • For authors
  • Publication ethics
  • Publication alerts by email
  • Advertising
  • Job board
  • Contact
  • Clinical Research and Public Health
  • Current issue
  • Past issues
  • By specialty
    • COVID-19
    • Cardiology
    • Gastroenterology
    • Immunology
    • Metabolism
    • Nephrology
    • Neuroscience
    • Oncology
    • Pulmonology
    • Vascular biology
    • All ...
  • Videos
    • Conversations with Giants in Medicine
    • Video Abstracts
  • Reviews
    • View all reviews ...
    • Clinical innovation and scientific progress in GLP-1 medicine (Nov 2025)
    • Pancreatic Cancer (Jul 2025)
    • Complement Biology and Therapeutics (May 2025)
    • Evolving insights into MASLD and MASH pathogenesis and treatment (Apr 2025)
    • Microbiome in Health and Disease (Feb 2025)
    • Substance Use Disorders (Oct 2024)
    • Clonal Hematopoiesis (Oct 2024)
    • View all review series ...
  • Viewpoint
  • Collections
    • In-Press Preview
    • Clinical Research and Public Health
    • Research Letters
    • Letters to the Editor
    • Editorials
    • Commentaries
    • Editor's notes
    • Reviews
    • Viewpoints
    • 100th anniversary
    • Top read articles

  • Current issue
  • Past issues
  • Specialties
  • Reviews
  • Review series
  • Conversations with Giants in Medicine
  • Video Abstracts
  • In-Press Preview
  • Clinical Research and Public Health
  • Research Letters
  • Letters to the Editor
  • Editorials
  • Commentaries
  • Editor's notes
  • Reviews
  • Viewpoints
  • 100th anniversary
  • Top read articles
  • About
  • Editors
  • Consulting Editors
  • For authors
  • Publication ethics
  • Publication alerts by email
  • Advertising
  • Job board
  • Contact
Hyaluronan network remodeling by ZEB1 and ITIH2 enhances the motility and invasiveness of cancer cells
Sieun Lee, Jihye Park, Seongran Cho, Eun Ju Kim, Seonyeong Oh, Younseo Lee, Sungsoo Park, Keunsoo Kang, Dong Hoon Shin, Song Yi Ko, Jonathan M. Kurie, Young-Ho Ahn
Sieun Lee, Jihye Park, Seongran Cho, Eun Ju Kim, Seonyeong Oh, Younseo Lee, Sungsoo Park, Keunsoo Kang, Dong Hoon Shin, Song Yi Ko, Jonathan M. Kurie, Young-Ho Ahn
View: Text | PDF
Research Article Cell biology Oncology

Hyaluronan network remodeling by ZEB1 and ITIH2 enhances the motility and invasiveness of cancer cells

  • Text
  • PDF
Abstract

Hyaluronan (HA) in the extracellular matrix promotes epithelial-mesenchymal transition (EMT) and metastasis; however, the mechanism by which the HA network constructed by cancer cells regulates cancer progression and metastasis in the tumor microenvironment (TME) remains largely unknown. In this study, inter-α-trypsin inhibitor heavy chain 2 (ITIH2), an HA-binding protein, was confirmed to be secreted from mesenchymal-like lung cancer cells when cocultured with cancer-associated fibroblasts. ITIH2 expression is transcriptionally upregulated by the EMT-inducing transcription factor ZEB1, along with HA synthase 2 (HAS2), which positively correlates with ZEB1 expression. Depletion of ITIH2 and HAS2 reduced HA matrix formation and the migration and invasion of lung cancer cells. Furthermore, ZEB1 facilitates alternative splicing and isoform expression of CD44, an HA receptor, and CD44 knockdown suppresses the motility and invasiveness of lung cancer cells. Using a deep learning–based drug-target interaction algorithm, we identified an ITIH2 inhibitor (sincalide) that inhibited HA matrix formation and migration of lung cancer cells, preventing metastatic colonization of lung cancer cells in mouse models. These findings suggest that ZEB1 remodels the HA network in the TME through the regulation of ITIH2, HAS2, and CD44, presenting a strategy for targeting this network to suppress lung cancer progression.

Authors

Sieun Lee, Jihye Park, Seongran Cho, Eun Ju Kim, Seonyeong Oh, Younseo Lee, Sungsoo Park, Keunsoo Kang, Dong Hoon Shin, Song Yi Ko, Jonathan M. Kurie, Young-Ho Ahn

×

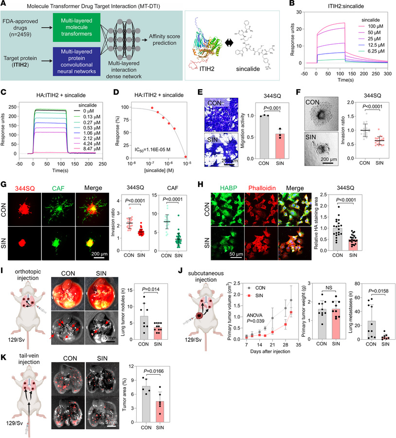
Figure 8

Sincalide, an ITIH2 inhibitor, inhibits the migration and invasion of lung cancer cells.

Options: View larger image (or click on image) Download as PowerPoint
Sincalide, an ITIH2 inhibitor, inhibits the migration and invasion of lu...
(A) Prediction of ITIH2 inhibitors using the MT-DTI algorithm. (B) Surface plasmon resonance (SPR) analysis showing binding of sincalide to the ITIH2 protein. (C and D) SPR analysis showing inhibition of binding between HA and the ITIH2 protein by sincalide. (E and F) Boyden chamber migration (E) and spheroid invasion assay (F) of 344SQ cells treated with sincalide (SIN). Scale bar: 200 μm. (G) Spheroid invasion assay of CAFs and 344SQ cells treated with sincalide. Mean ± SD (CON, n = 23; SIN, n = 32). Scale bar: 200 μm. (H) Confocal microscopy of 344SQ cells treated with sincalide. Mean ± SD (CON, n = 20; SIN, n = 24). Scale bar: 50 μm. (I) 344SQ cells were orthotopically injected into the left lung (n = 8 or 9). Sincalide (2.5 mg/kg of body weight) was injected intraperitoneally twice a week until mice were euthanized. After 7 days, the number of lung tumor nodules was measured at necropsy. Scale bar: 5 mm. (J) 344SQ cells were subcutaneously injected (n = 9), and primary tumor volumes (left graph) were measured until mice were euthanized. After 6 weeks, tumor weights (middle graph) and number of lung metastases (right graph) were measured at necropsy. (K) 344SQ cells were injected via tail vein (n = 5 or 6). After 10 days, tumor nodules colonized in lungs were assessed. Scale bar: 5 mm. Data represent the mean ± SD from a single experiment with biological replicates (n = 3, unless otherwise specified) and are representative of at least 3 independent experiments. P values determined by 2-tailed Student’s t test (E–I, J [right 2 bar graphs], and K) or 2-way ANOVA test (J [left]).

Copyright © 2025 American Society for Clinical Investigation
ISSN: 0021-9738 (print), 1558-8238 (online)

Sign up for email alerts