Go to JCI Insight
  • About
  • Editors
  • Consulting Editors
  • For authors
  • Publication ethics
  • Publication alerts by email
  • Advertising
  • Job board
  • Contact
  • Clinical Research and Public Health
  • Current issue
  • Past issues
  • By specialty
    • COVID-19
    • Cardiology
    • Gastroenterology
    • Immunology
    • Metabolism
    • Nephrology
    • Neuroscience
    • Oncology
    • Pulmonology
    • Vascular biology
    • All ...
  • Videos
    • ASCI Milestone Awards
    • Video Abstracts
    • Conversations with Giants in Medicine
  • Reviews
    • View all reviews ...
    • Clinical innovation and scientific progress in GLP-1 medicine (Nov 2025)
    • Pancreatic Cancer (Jul 2025)
    • Complement Biology and Therapeutics (May 2025)
    • Evolving insights into MASLD and MASH pathogenesis and treatment (Apr 2025)
    • Microbiome in Health and Disease (Feb 2025)
    • Substance Use Disorders (Oct 2024)
    • Clonal Hematopoiesis (Oct 2024)
    • View all review series ...
  • Viewpoint
  • Collections
    • In-Press Preview
    • Clinical Research and Public Health
    • Research Letters
    • Letters to the Editor
    • Editorials
    • Commentaries
    • Editor's notes
    • Reviews
    • Viewpoints
    • 100th anniversary
    • Top read articles

  • Current issue
  • Past issues
  • Specialties
  • Reviews
  • Review series
  • ASCI Milestone Awards
  • Video Abstracts
  • Conversations with Giants in Medicine
  • In-Press Preview
  • Clinical Research and Public Health
  • Research Letters
  • Letters to the Editor
  • Editorials
  • Commentaries
  • Editor's notes
  • Reviews
  • Viewpoints
  • 100th anniversary
  • Top read articles
  • About
  • Editors
  • Consulting Editors
  • For authors
  • Publication ethics
  • Publication alerts by email
  • Advertising
  • Job board
  • Contact
Hyaluronan network remodeling by ZEB1 and ITIH2 enhances the motility and invasiveness of cancer cells
Sieun Lee, Jihye Park, Seongran Cho, Eun Ju Kim, Seonyeong Oh, Younseo Lee, Sungsoo Park, Keunsoo Kang, Dong Hoon Shin, Song Yi Ko, Jonathan M. Kurie, Young-Ho Ahn
Sieun Lee, Jihye Park, Seongran Cho, Eun Ju Kim, Seonyeong Oh, Younseo Lee, Sungsoo Park, Keunsoo Kang, Dong Hoon Shin, Song Yi Ko, Jonathan M. Kurie, Young-Ho Ahn
View: Text | PDF
Research Article Cell biology Oncology

Hyaluronan network remodeling by ZEB1 and ITIH2 enhances the motility and invasiveness of cancer cells

  • Text
  • PDF
Abstract

Hyaluronan (HA) in the extracellular matrix promotes epithelial-mesenchymal transition (EMT) and metastasis; however, the mechanism by which the HA network constructed by cancer cells regulates cancer progression and metastasis in the tumor microenvironment (TME) remains largely unknown. In this study, inter-α-trypsin inhibitor heavy chain 2 (ITIH2), an HA-binding protein, was confirmed to be secreted from mesenchymal-like lung cancer cells when cocultured with cancer-associated fibroblasts. ITIH2 expression is transcriptionally upregulated by the EMT-inducing transcription factor ZEB1, along with HA synthase 2 (HAS2), which positively correlates with ZEB1 expression. Depletion of ITIH2 and HAS2 reduced HA matrix formation and the migration and invasion of lung cancer cells. Furthermore, ZEB1 facilitates alternative splicing and isoform expression of CD44, an HA receptor, and CD44 knockdown suppresses the motility and invasiveness of lung cancer cells. Using a deep learning–based drug-target interaction algorithm, we identified an ITIH2 inhibitor (sincalide) that inhibited HA matrix formation and migration of lung cancer cells, preventing metastatic colonization of lung cancer cells in mouse models. These findings suggest that ZEB1 remodels the HA network in the TME through the regulation of ITIH2, HAS2, and CD44, presenting a strategy for targeting this network to suppress lung cancer progression.

Authors

Sieun Lee, Jihye Park, Seongran Cho, Eun Ju Kim, Seonyeong Oh, Younseo Lee, Sungsoo Park, Keunsoo Kang, Dong Hoon Shin, Song Yi Ko, Jonathan M. Kurie, Young-Ho Ahn

×

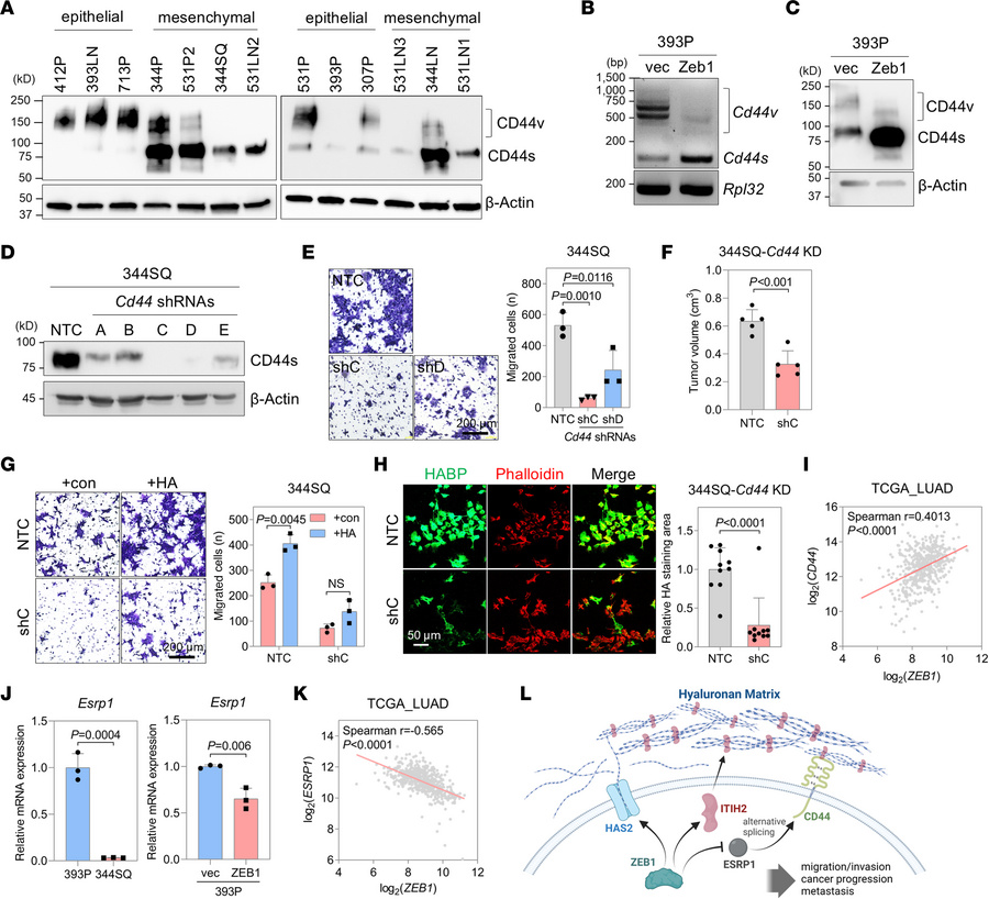
Figure 7

ZEB1 controls CD44 expression.

Options: View larger image (or click on image) Download as PowerPoint
ZEB1 controls CD44 expression.
(A) Western blot of CD44 in epithelial-li...
(A) Western blot of CD44 in epithelial-like and mesenchymal-like murine lung cancer cells. Standard (s) and variant (v) isoforms of CD44 are indicated. (B) RT-PCR of Cd44 in 393P-vec and 393P-ZEB1 cells. Standard (s) and variant (v) splicing isoforms are indicated. Rpl32 was used as a loading control. (C) Western blot of CD44 in 393P-vec and 393P-ZEB1 cells. (D) Western blot of CD44 in 344SQ cells transduced with Cd44 shRNAs (shA–E). (E) Boyden chamber migration assay of 344SQ-CD44-KD (shC and shD) and NTC cells. Cells were seeded in upper inserts, and after 24 hours, migrated cells were stained with crystal violet. P values determined by 1-way ANOVA followed by Dunnett’s multiple-comparison test. Scale bar: 200 μm. (F) Mouse subcutaneous injection of 344SQ-CD44-KD (shC) and NTC cells. Tumor volume was measured at necropsy. P value from 2-tailed Student’s t test. (G) Boyden chamber migration assay of 344SQ-CD44-KD and NTC cells treated with or without HA. Cells were seeded in upper inserts coated with HA, and after 24 hours, migrated cells were stained with crystal violet. P value determined by 2-tailed Student’s t test. Scale bar: 200 μm. (H) Confocal microscopy of 344SQ-CD44-KD and NTC cells stained with HABP and streptavidin–Alexa Fluor 488 (green) and phalloidin (red). Mean ± SD (NTC, n = 10; shC, n = 10). Scale bar: 50 μm. (I) Scatterplot of ZEB1 and CD44 mRNA levels in TCGA-LUAD data (n = 517). (J) qRT-PCR of Esrp1 mRNA levels in 393P, 344SQ, 393P-vec, and 393P-ZEB1 cells. (H) and (I) P values determined by 2-tailed Student’s t test. (K) Scatterplot of ZEB1 and ESRP1 mRNA levels in TCGA-LUAD data (n = 517). (L) Diagram showing the HA network reconstructed by ZEB1. Data represent the mean ± SD from a single experiment with biological replicates (n = 3, unless otherwise specified) and are representative of at least 3 independent experiments.

Copyright © 2026 American Society for Clinical Investigation
ISSN: 0021-9738 (print), 1558-8238 (online)

Sign up for email alerts