Go to JCI Insight
  • About
  • Editors
  • Consulting Editors
  • For authors
  • Publication ethics
  • Publication alerts by email
  • Advertising
  • Job board
  • Contact
  • Clinical Research and Public Health
  • Current issue
  • Past issues
  • By specialty
    • COVID-19
    • Cardiology
    • Gastroenterology
    • Immunology
    • Metabolism
    • Nephrology
    • Neuroscience
    • Oncology
    • Pulmonology
    • Vascular biology
    • All ...
  • Videos
    • Conversations with Giants in Medicine
    • Video Abstracts
  • Reviews
    • View all reviews ...
    • Clinical innovation and scientific progress in GLP-1 medicine (Nov 2025)
    • Pancreatic Cancer (Jul 2025)
    • Complement Biology and Therapeutics (May 2025)
    • Evolving insights into MASLD and MASH pathogenesis and treatment (Apr 2025)
    • Microbiome in Health and Disease (Feb 2025)
    • Substance Use Disorders (Oct 2024)
    • Clonal Hematopoiesis (Oct 2024)
    • View all review series ...
  • Viewpoint
  • Collections
    • In-Press Preview
    • Clinical Research and Public Health
    • Research Letters
    • Letters to the Editor
    • Editorials
    • Commentaries
    • Editor's notes
    • Reviews
    • Viewpoints
    • 100th anniversary
    • Top read articles

  • Current issue
  • Past issues
  • Specialties
  • Reviews
  • Review series
  • Conversations with Giants in Medicine
  • Video Abstracts
  • In-Press Preview
  • Clinical Research and Public Health
  • Research Letters
  • Letters to the Editor
  • Editorials
  • Commentaries
  • Editor's notes
  • Reviews
  • Viewpoints
  • 100th anniversary
  • Top read articles
  • About
  • Editors
  • Consulting Editors
  • For authors
  • Publication ethics
  • Publication alerts by email
  • Advertising
  • Job board
  • Contact
Chromosomal 3q amplicon encodes essential regulators of secretory vesicles that drive secretory addiction in cancer
Xiaochao Tan, Shike Wang, Guan-Yu Xiao, Chao Wu, Xin Liu, Biyao Zhou, Yu Jiang, Dzifa Y. Duose, Yuanxin Xi, Jing Wang, Kunika Gupta, Apar Pataer, Jack A. Roth, Michael P. Kim, Fengju Chen, Chad J. Creighton, William K. Russell, Jonathan M. Kurie
Xiaochao Tan, Shike Wang, Guan-Yu Xiao, Chao Wu, Xin Liu, Biyao Zhou, Yu Jiang, Dzifa Y. Duose, Yuanxin Xi, Jing Wang, Kunika Gupta, Apar Pataer, Jack A. Roth, Michael P. Kim, Fengju Chen, Chad J. Creighton, William K. Russell, Jonathan M. Kurie
View: Text | PDF
Research Article Cell biology Oncology

Chromosomal 3q amplicon encodes essential regulators of secretory vesicles that drive secretory addiction in cancer

  • Text
  • PDF
Abstract

Cancer cells exhibit heightened secretory states that drive tumor progression. Here, we identified a chromosome 3q amplicon that serves as a platform for secretory regulation in cancer. The 3q amplicon encodes multiple Golgi-resident proteins, including the scaffold Golgi integral membrane protein 4 (GOLIM4) and the ion channel ATPase secretory pathway Ca2+ transporting 1 (ATP2C1). We show that GOLIM4 recruited ATP2C1 and Golgi phosphoprotein 3 (GOLPH3) to coordinate Ca2+-dependent cargo loading, Golgi membrane bending, and vesicle scission. GOLIM4 depletion disrupted the protein complex, resulting in a secretory blockade that inhibited the progression of 3q-amplified malignancies. In addition to its role as a scaffold, GOLIM4 maintained intracellular manganese (Mn) homeostasis by binding excess Mn in the Golgi lumen, which initiated the routing of Mn-bound GOLIM4 to lysosomes for degradation. We show that Mn treatment inhibited the progression of multiple types of 3q-amplified malignancies by degrading GOLIM4, resulting in a secretory blockade that interrupted prosurvival autocrine loops and attenuated prometastatic processes in the tumor microenvironment. As it potentially underlies the selective activity of Mn against 3q-amplified malignancies, ATP2C1 coamplification increased Mn influx into the Golgi lumen, resulting in a more rapid degradation of GOLIM4. These findings show that functional cooperativity between coamplified genes underlies heightened secretion and a targetable secretory addiction in 3q-amplified malignancies.

Authors

Xiaochao Tan, Shike Wang, Guan-Yu Xiao, Chao Wu, Xin Liu, Biyao Zhou, Yu Jiang, Dzifa Y. Duose, Yuanxin Xi, Jing Wang, Kunika Gupta, Apar Pataer, Jack A. Roth, Michael P. Kim, Fengju Chen, Chad J. Creighton, William K. Russell, Jonathan M. Kurie

×

Figure 6

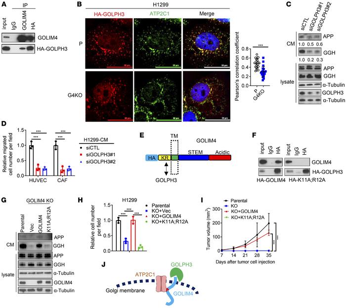
GOLPH3 is a GOLIM4 client protein that promotes secretion.

Options: View larger image (or click on image) Download as PowerPoint
GOLPH3 is a GOLIM4 client protein that promotes secretion.
(A) IP/WB ana...
(A) IP/WB analysis of H1299 cells detected HA-GOLPH3 in a GOLIM4-containing protein complex. (B) Confocal micrographs of H1299 cells transfected with HA-GOLPH3. Cells were treated with nocodazole to disperse the Golgi and costained with anti-HA and anti-ATP2C1. Scatter plot shows the percentages of HA-GOLPH3 that colocalized with ATP2C1 in each cell (data points). Scale bars: 50 μm. (C) WB analysis of secreted protein levels in CM samples and cell lysates following siRNA-mediated GOLPH3 depletion. Relative densitometric values under the gel lanes. α-Tubulin was used as a loading control. (D) Boyden chamber assays to quantify HUVEC and CAF recruitment by CM samples from siRNA-transfected H1299 cells. (E) GOLIM4 domain structure. KR residues are required to bind to GOLPH3. HA tag, luminal stem (STEM), and acidic domains are shown in the schema. (F) IP/WB analysis of GOLIM4-KO H1299 cells reconstituted with HA-tagged WT (GOLIM4) or mutant (K11A;R12A) GOLIM4. (G) WB analysis of secreted proteins in CM samples and lysates from GOLIM4-KO H1299 cells reconstituted with WT or mutant GOLIM4. (H and I) Boyden chamber migration assays (H) and flank tumor growth assays (I) on cells generated in G. (J) ATP2C1 and GOLPH3 are clients of the GOLIM4 scaffold. Data indicate the mean ± SD from a single experiment incorporating biological replicate samples (n = 3, unless otherwise indicated) and are representative of at least 2 independent experiments. ***P < 0.001, by 2-tailed Student’s t test (B) or 1-way ANOVA (D, H, and I).

Copyright © 2025 American Society for Clinical Investigation
ISSN: 0021-9738 (print), 1558-8238 (online)

Sign up for email alerts