Go to JCI Insight
  • About
  • Editors
  • Consulting Editors
  • For authors
  • Publication ethics
  • Publication alerts by email
  • Advertising
  • Job board
  • Contact
  • Clinical Research and Public Health
  • Current issue
  • Past issues
  • By specialty
    • COVID-19
    • Cardiology
    • Gastroenterology
    • Immunology
    • Metabolism
    • Nephrology
    • Neuroscience
    • Oncology
    • Pulmonology
    • Vascular biology
    • All ...
  • Videos
    • ASCI Milestone Awards
    • Video Abstracts
    • Conversations with Giants in Medicine
  • Reviews
    • View all reviews ...
    • Clinical innovation and scientific progress in GLP-1 medicine (Nov 2025)
    • Pancreatic Cancer (Jul 2025)
    • Complement Biology and Therapeutics (May 2025)
    • Evolving insights into MASLD and MASH pathogenesis and treatment (Apr 2025)
    • Microbiome in Health and Disease (Feb 2025)
    • Substance Use Disorders (Oct 2024)
    • Clonal Hematopoiesis (Oct 2024)
    • View all review series ...
  • Viewpoint
  • Collections
    • In-Press Preview
    • Clinical Research and Public Health
    • Research Letters
    • Letters to the Editor
    • Editorials
    • Commentaries
    • Editor's notes
    • Reviews
    • Viewpoints
    • 100th anniversary
    • Top read articles

  • Current issue
  • Past issues
  • Specialties
  • Reviews
  • Review series
  • ASCI Milestone Awards
  • Video Abstracts
  • Conversations with Giants in Medicine
  • In-Press Preview
  • Clinical Research and Public Health
  • Research Letters
  • Letters to the Editor
  • Editorials
  • Commentaries
  • Editor's notes
  • Reviews
  • Viewpoints
  • 100th anniversary
  • Top read articles
  • About
  • Editors
  • Consulting Editors
  • For authors
  • Publication ethics
  • Publication alerts by email
  • Advertising
  • Job board
  • Contact
Cannabinoid receptor 1 signaling in hepatocytes and stellate cells does not contribute to NAFLD
Simeng Wang, Qingzhang Zhu, Guosheng Liang, Tania Franks, Magalie Boucher, Kendra K. Bence, Mingjian Lu, Carlos M. Castorena, Shangang Zhao, Joel K. Elmquist, Philipp E. Scherer, Jay D. Horton
Simeng Wang, Qingzhang Zhu, Guosheng Liang, Tania Franks, Magalie Boucher, Kendra K. Bence, Mingjian Lu, Carlos M. Castorena, Shangang Zhao, Joel K. Elmquist, Philipp E. Scherer, Jay D. Horton
View: Text | PDF
Research Article Hepatology Metabolism

Cannabinoid receptor 1 signaling in hepatocytes and stellate cells does not contribute to NAFLD

  • Text
  • PDF
Abstract

The endocannabinoid system regulates appetite and energy expenditure and inhibitors of cannabinoid receptor 1 (CB-1) induce weight loss with improvement in components of the metabolic syndrome. While CB-1 blockage in brain is responsible for weight loss, many of the metabolic benefits associated with CB-1 blockade have been attributed to inhibition of CB-1 signaling in the periphery. As a result, there has been interest in developing a peripherally restricted CB-1 inhibitor for the treatment of nonalcoholic fatty liver disease (NAFLD) that would lack the unwanted centrally mediated side effects. Here, we produced mice that lacked CB-1 in hepatocytes or stellate cells to determine if CB-1 signaling contributes to the development of NAFLD or liver fibrosis. Deletion of CB-1 in hepatocytes did not alter the development of NAFLD in mice fed a high-sucrose diet (HSD) or a high-fat diet (HFD). Similarly, deletion of CB-1 specifically in stellate cells also did not prevent the development of NAFLD in mice fed the HFD, nor did it protect mice from carbon tetrachloride–induced fibrosis. Combined, these studies do not support a direct role for hepatocyte or stellate cell CB-1 signaling in the development of NAFLD or liver fibrosis.

Authors

Simeng Wang, Qingzhang Zhu, Guosheng Liang, Tania Franks, Magalie Boucher, Kendra K. Bence, Mingjian Lu, Carlos M. Castorena, Shangang Zhao, Joel K. Elmquist, Philipp E. Scherer, Jay D. Horton

×

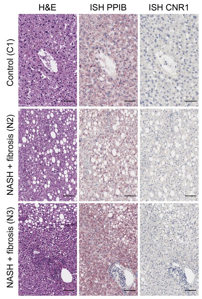
Figure 7

CNR1 mRNA expression in control and NASH human livers.

Options: View larger image (or click on image) Download as PowerPoint

CNR1 mRNA expression in control and NASH human livers.
Left panel: Repr...
Left panel: Representative H&E staining of livers from normal individuals (n = 3) or patients with NASH (n = 7). Middle panel: Representative ISH staining of the PPIB housekeeping gene showing the detection of red punctate dots in hepatocytes of normal (n = 3) and NASH livers (n = 7). Right panel: Representative ISH revealing a negative CRN1 mRNA expression in hepatocytes of normal (n = 3) and NASH livers (n = 7). Scale bar: 50 μm.

Copyright © 2026 American Society for Clinical Investigation
ISSN: 0021-9738 (print), 1558-8238 (online)

Sign up for email alerts