Go to JCI Insight
  • About
  • Editors
  • Consulting Editors
  • For authors
  • Publication ethics
  • Publication alerts by email
  • Advertising
  • Job board
  • Contact
  • Clinical Research and Public Health
  • Current issue
  • Past issues
  • By specialty
    • COVID-19
    • Cardiology
    • Gastroenterology
    • Immunology
    • Metabolism
    • Nephrology
    • Neuroscience
    • Oncology
    • Pulmonology
    • Vascular biology
    • All ...
  • Videos
    • Conversations with Giants in Medicine
    • Video Abstracts
  • Reviews
    • View all reviews ...
    • Pancreatic Cancer (Jul 2025)
    • Complement Biology and Therapeutics (May 2025)
    • Evolving insights into MASLD and MASH pathogenesis and treatment (Apr 2025)
    • Microbiome in Health and Disease (Feb 2025)
    • Substance Use Disorders (Oct 2024)
    • Clonal Hematopoiesis (Oct 2024)
    • Sex Differences in Medicine (Sep 2024)
    • View all review series ...
  • Viewpoint
  • Collections
    • In-Press Preview
    • Clinical Research and Public Health
    • Research Letters
    • Letters to the Editor
    • Editorials
    • Commentaries
    • Editor's notes
    • Reviews
    • Viewpoints
    • 100th anniversary
    • Top read articles

  • Current issue
  • Past issues
  • Specialties
  • Reviews
  • Review series
  • Conversations with Giants in Medicine
  • Video Abstracts
  • In-Press Preview
  • Clinical Research and Public Health
  • Research Letters
  • Letters to the Editor
  • Editorials
  • Commentaries
  • Editor's notes
  • Reviews
  • Viewpoints
  • 100th anniversary
  • Top read articles
  • About
  • Editors
  • Consulting Editors
  • For authors
  • Publication ethics
  • Publication alerts by email
  • Advertising
  • Job board
  • Contact
LRG1 is an adipokine that mediates obesity-induced hepatosteatosis and insulin resistance
Sijia He, … , Juli Bai, Lily Q. Dong
Sijia He, … , Juli Bai, Lily Q. Dong
Published November 2, 2021
Citation Information: J Clin Invest. 2021;131(24):e148545. https://doi.org/10.1172/JCI148545.
View: Text | PDF
Research Article Endocrinology Metabolism

LRG1 is an adipokine that mediates obesity-induced hepatosteatosis and insulin resistance

  • Text
  • PDF
Abstract

Dysregulation in adipokine biosynthesis and function contributes to obesity-induced metabolic diseases. However, the identities and functions of many of the obesity-induced secretory molecules remain unknown. Here, we report the identification of leucine-rich alpha-2-glycoprotein 1 (LRG1) as an obesity-associated adipokine that exacerbates high fat diet–induced hepatosteatosis and insulin resistance. Serum levels of LRG1 were markedly elevated in obese humans and mice compared with their respective controls. LRG1 deficiency in mice greatly alleviated diet-induced hepatosteatosis, obesity, and insulin resistance. Mechanistically, LRG1 bound with high selectivity to the liver and promoted hepatosteatosis by increasing de novo lipogenesis and suppressing fatty acid β-oxidation. LRG1 also inhibited hepatic insulin signaling by downregulating insulin receptor substrates 1 and 2. Our study identified LRG1 as a key molecule that mediates the crosstalk between adipocytes and hepatocytes in diet-induced hepatosteatosis and insulin resistance. Suppressing LRG1 expression and function may be a promising strategy for the treatment of obesity-related metabolic diseases.

Authors

Sijia He, Jiyoon Ryu, Juanhong Liu, Hairong Luo, Ying Lv, Paul R. Langlais, Jie Wen, Feng Dong, Zhe Sun, Wenjuan Xia, Jane L. Lynch, Ravindranath Duggirala, Bruce J. Nicholson, Mengwei Zang, Yuguang Shi, Fang Zhang, Feng Liu, Juli Bai, Lily Q. Dong

×

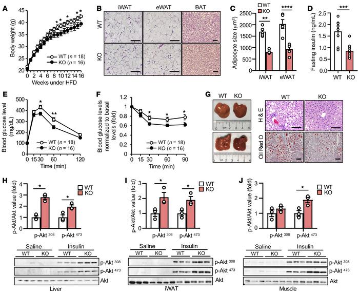
Figure 3

Lrg1 knockout protects mice from diet-induced hepatic steatosis and insulin resistance.

Options: View larger image (or click on image) Download as PowerPoint

Lrg1 knockout protects mice from diet-induced hepatic steatosis and ins...
(A) Body weight of Lrg1KO mice (n = 16) and WT littermates (n = 18) fed a HFD for 16 weeks. (B) H&E staining of adipose tissues from Lrg1KO and WT mice fed with HFD for 16 weeks (scale bar: 100 μm). (C) Quantification of white adipocyte cell size based on H&E staining (n = 5 sections/group). (D) Overnight fasting serum insulin levels of Lrg1KO mice (n = 9) and WT littermates (n = 8) after 16 weeks of HFD feeding. (E) GTT and (F) ITT of Lrg1KO mice (n = 16) and WT littermates (n = 18) fed a HFD for 16 weeks. (G) Overall liver tissue appearance, H&E staining, and Oil Red O staining of liver tissues from Lrg1KO mice and WT littermates treated with HFD for 16 weeks (scale bar: 100 μm). (H) Liver tissue, (I) iWAT, and (J) skeletal muscle tissue was isolated from HFD-fed Lrg1KO mice and control littermates injected with saline or insulin (n = 3/treatment group, 1.5 U/kg body weight, 5 minutes). Akt phosphorylation and protein levels in these tissues were determined by Western blot and quantified by Image J. Data in B and G are representative of 3 independent experiments. Data represent mean ± SEM. Unpaired 2-tailed t test, *P ≤ 0.05, **P ≤ 0.01, ***P ≤ 0.001, ****P ≤ 0.0001.

Copyright © 2025 American Society for Clinical Investigation
ISSN: 0021-9738 (print), 1558-8238 (online)

Sign up for email alerts