Go to JCI Insight
  • About
  • Editors
  • Consulting Editors
  • For authors
  • Publication ethics
  • Publication alerts by email
  • Advertising
  • Job board
  • Contact
  • Clinical Research and Public Health
  • Current issue
  • Past issues
  • By specialty
    • COVID-19
    • Cardiology
    • Gastroenterology
    • Immunology
    • Metabolism
    • Nephrology
    • Neuroscience
    • Oncology
    • Pulmonology
    • Vascular biology
    • All ...
  • Videos
    • Conversations with Giants in Medicine
    • Video Abstracts
  • Reviews
    • View all reviews ...
    • Pancreatic Cancer (Jul 2025)
    • Complement Biology and Therapeutics (May 2025)
    • Evolving insights into MASLD and MASH pathogenesis and treatment (Apr 2025)
    • Microbiome in Health and Disease (Feb 2025)
    • Substance Use Disorders (Oct 2024)
    • Clonal Hematopoiesis (Oct 2024)
    • Sex Differences in Medicine (Sep 2024)
    • View all review series ...
  • Viewpoint
  • Collections
    • In-Press Preview
    • Clinical Research and Public Health
    • Research Letters
    • Letters to the Editor
    • Editorials
    • Commentaries
    • Editor's notes
    • Reviews
    • Viewpoints
    • 100th anniversary
    • Top read articles

  • Current issue
  • Past issues
  • Specialties
  • Reviews
  • Review series
  • Conversations with Giants in Medicine
  • Video Abstracts
  • In-Press Preview
  • Clinical Research and Public Health
  • Research Letters
  • Letters to the Editor
  • Editorials
  • Commentaries
  • Editor's notes
  • Reviews
  • Viewpoints
  • 100th anniversary
  • Top read articles
  • About
  • Editors
  • Consulting Editors
  • For authors
  • Publication ethics
  • Publication alerts by email
  • Advertising
  • Job board
  • Contact
Inhibiting the MNK1/2-eIF4E axis impairs melanoma phenotype switching and potentiates antitumor immune responses
Fan Huang, … , Wilson H. Miller Jr., Sonia V. del Rincón
Fan Huang, … , Wilson H. Miller Jr., Sonia V. del Rincón
Published March 9, 2021
Citation Information: J Clin Invest. 2021;131(8):e140752. https://doi.org/10.1172/JCI140752.
View: Text | PDF | Corrigendum
Research Article Oncology

Inhibiting the MNK1/2-eIF4E axis impairs melanoma phenotype switching and potentiates antitumor immune responses

  • Text
  • PDF
Abstract

Melanomas commonly undergo a phenotype switch, from a proliferative to an invasive state. Such tumor cell plasticity contributes to immunotherapy resistance; however, the mechanisms are not completely understood and thus are therapeutically unexploited. Using melanoma mouse models, we demonstrated that blocking the MNK1/2-eIF4E axis inhibited melanoma phenotype switching and sensitized melanoma to anti–PD-1 immunotherapy. We showed that phospho-eIF4E–deficient murine melanomas expressed high levels of melanocytic antigens, with similar results verified in patient melanomas. Mechanistically, we identified phospho-eIF4E–mediated translational control of NGFR, a critical effector of phenotype switching. Genetic ablation of phospho-eIF4E reprogrammed the immunosuppressive microenvironment, exemplified by lowered production of inflammatory factors, decreased PD-L1 expression on dendritic cells and myeloid-derived suppressor cells, and increased CD8+ T cell infiltrates. Finally, dual blockade of the MNK1/2-eIF4E axis and the PD-1/PD-L1 immune checkpoint demonstrated efficacy in multiple melanoma models regardless of their genomic classification. An increase in the presence of intratumoral stem-like TCF1+PD-1+CD8+ T cells, a characteristic essential for durable antitumor immunity, was detected in mice given a MNK1/2 inhibitor and anti–PD-1 therapy. Using MNK1/2 inhibitors to repress phospho-eIF4E thus offers a strategy to inhibit melanoma plasticity and improve response to anti–PD-1 immunotherapy.

Authors

Fan Huang, Christophe Gonçalves, Margarita Bartish, Joelle Rémy-Sarrazin, Mark E. Issa, Brendan Cordeiro, Qianyu Guo, Audrey Emond, Mikhael Attias, William Yang, Dany Plourde, Jie Su, Marina Godoy Gimeno, Yao Zhan, Alba Galán, Tomasz Rzymski, Milena Mazan, Magdalena Masiejczyk, Jacek Faber, Elie Khoury, Alexandre Benoit, Natascha Gagnon, David Dankort, Fabrice Journe, Ghanem E. Ghanem, Connie M. Krawczyk, H. Uri Saragovi, Ciriaco A. Piccirillo, Nahum Sonenberg, Ivan Topisirovic, Christopher E. Rudd, Wilson H. Miller Jr., Sonia V. del Rincón

×

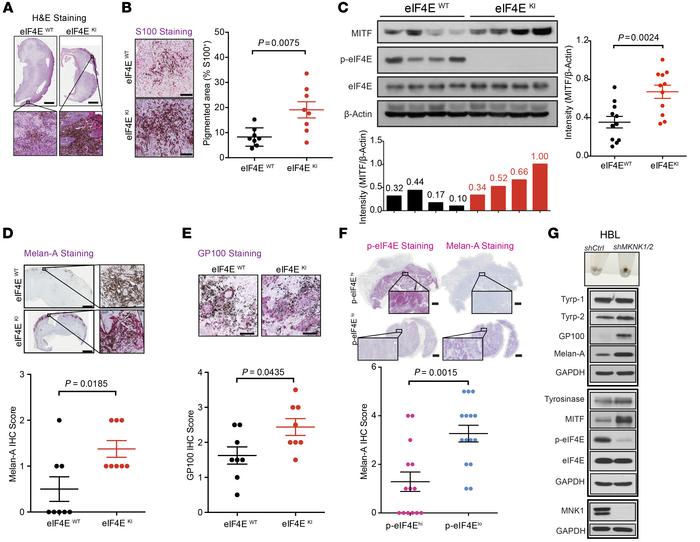
Figure 2

Phospho-eIF4E–deficient murine and human melanomas are more differentiated.

Options: View larger image (or click on image) Download as PowerPoint
Phospho-eIF4E–deficient murine and human melanomas are more differentiat...
(A) Representative eIF4EWT (n = 16) and eIF4EKI (n = 15) primary tumor histology with H&E staining. (B) Representative IHC images showing the expression of S100 (left) and the percentage of pigmented area in the S100-positive region (right) in the eIF4EWT and eIF4EKI tumors. (C) Representative Western blot of the indicated proteins in 4 eIF4EWT and 4 eIF4EKI melanomas (top left; see all blots in Supplemental Figure 12) with quantification of MITF level normalized to β-actin (bottom left and right). (D and E) Representative IHC images with scores showing the expression of Melan-A (D) and GP100 (E) in eIF4EWT and eIF4EKI melanomas. (F) Top: IHC images showing the expression of phospho-eIF4E and Melan-A in 2 representative tumors from a total of 29 patients with melanoma. One patient sample with high phospho-eIF4E expression (score > 2.5/5) and one patient sample with low phospho-eIF4E expression (score = 0.5–1/5) are shown. Bottom: IHC scoring of Melan-A in phospho-eIF4Ehi and phospho-eIF4Elo patient-derived melanomas. (G) Western blot analysis of the indicated proteins in human HBL melanoma cells stably expressing shCtrl and shMKNK1/2 (representative of n = 3). (A–E) Melanomas were resected on day 50. (A, D, and F) Scale bars: 2 mm. (B and E) Scale bars: 100 μm. (B–F) Number of biological replicates is indicated in each graph. (B and C) Two-sided unpaired t test. (D–F) Mann-Whitney test. All values are represented as mean ± SEM.

Copyright © 2025 American Society for Clinical Investigation
ISSN: 0021-9738 (print), 1558-8238 (online)

Sign up for email alerts