Go to JCI Insight
  • About
  • Editors
  • Consulting Editors
  • For authors
  • Publication ethics
  • Publication alerts by email
  • Advertising
  • Job board
  • Contact
  • Clinical Research and Public Health
  • Current issue
  • Past issues
  • By specialty
    • COVID-19
    • Cardiology
    • Gastroenterology
    • Immunology
    • Metabolism
    • Nephrology
    • Neuroscience
    • Oncology
    • Pulmonology
    • Vascular biology
    • All ...
  • Videos
    • ASCI Milestone Awards
    • Video Abstracts
    • Conversations with Giants in Medicine
  • Reviews
    • View all reviews ...
    • Neurodegeneration (Mar 2026)
    • Clinical innovation and scientific progress in GLP-1 medicine (Nov 2025)
    • Pancreatic Cancer (Jul 2025)
    • Complement Biology and Therapeutics (May 2025)
    • Evolving insights into MASLD and MASH pathogenesis and treatment (Apr 2025)
    • Microbiome in Health and Disease (Feb 2025)
    • Substance Use Disorders (Oct 2024)
    • View all review series ...
  • Viewpoint
  • Collections
    • In-Press Preview
    • Clinical Research and Public Health
    • Research Letters
    • Letters to the Editor
    • Editorials
    • Commentaries
    • Editor's notes
    • Reviews
    • Viewpoints
    • 100th anniversary
    • Top read articles

  • Current issue
  • Past issues
  • Specialties
  • Reviews
  • Review series
  • ASCI Milestone Awards
  • Video Abstracts
  • Conversations with Giants in Medicine
  • In-Press Preview
  • Clinical Research and Public Health
  • Research Letters
  • Letters to the Editor
  • Editorials
  • Commentaries
  • Editor's notes
  • Reviews
  • Viewpoints
  • 100th anniversary
  • Top read articles
  • About
  • Editors
  • Consulting Editors
  • For authors
  • Publication ethics
  • Publication alerts by email
  • Advertising
  • Job board
  • Contact
Plasmacytoid dendritic cells protect against immune-mediated acute liver injury via IL-35
Yuzo Koda, Nobuhiro Nakamoto, Po-Sung Chu, Aya Ugamura, Yohei Mikami, Toshiaki Teratani, Hanako Tsujikawa, Shunsuke Shiba, Nobuhito Taniki, Tomohisa Sujino, Kentaro Miyamoto, Takahiro Suzuki, Akihiro Yamaguchi, Rei Morikawa, Katsuaki Sato, Michiie Sakamoto, Takayuki Yoshimoto, Takanori Kanai
Yuzo Koda, Nobuhiro Nakamoto, Po-Sung Chu, Aya Ugamura, Yohei Mikami, Toshiaki Teratani, Hanako Tsujikawa, Shunsuke Shiba, Nobuhito Taniki, Tomohisa Sujino, Kentaro Miyamoto, Takahiro Suzuki, Akihiro Yamaguchi, Rei Morikawa, Katsuaki Sato, Michiie Sakamoto, Takayuki Yoshimoto, Takanori Kanai
View: Text | PDF
Research Article Hepatology

Plasmacytoid dendritic cells protect against immune-mediated acute liver injury via IL-35

  • Text
  • PDF
Abstract

Acute liver failure (ALF) is a life-threatening condition, and liver transplantation is the only therapeutic option. Although immune dysregulation is central to its pathogenesis, the precise mechanism remains unclear. Here, we show that the number of peripheral and hepatic plasmacytoid DCs (pDCs) decrease during acute liver injury in both humans and mice. Selective depletion of pDCs in Siglechdtr/+ mice exacerbated concanavalin A–induced acute liver injury. In contrast, adoptively transferred BM-derived pDCs preferentially accumulated in the inflamed liver and protected against liver injury. This protective effect was independent of TLR7 and TLR9 signaling, since a similar effect occurred following transfer of MyD88-deficient pDCs. Alternatively, we found an unexpected immunosuppressive role of pDCs in an IL-35–dependent manner. Both Il12a and Ebi3, heterodimeric components of IL-35, were highly expressed in transferred pDCs and CD4+CD25+ Tregs. However, the protective effect of pDC transfer was completely lost in mice depleted of Tregs by anti-CD25 antibody. Moreover, pDCs derived from IL-35–deficient mice had less of a protective effect both in vivo and in vitro even in the presence of Tregs. These results highlight a unique aspect of pDCs in association with Tregs, serving as a guide for immunotherapeutic options in ALF.

Authors

Yuzo Koda, Nobuhiro Nakamoto, Po-Sung Chu, Aya Ugamura, Yohei Mikami, Toshiaki Teratani, Hanako Tsujikawa, Shunsuke Shiba, Nobuhito Taniki, Tomohisa Sujino, Kentaro Miyamoto, Takahiro Suzuki, Akihiro Yamaguchi, Rei Morikawa, Katsuaki Sato, Michiie Sakamoto, Takayuki Yoshimoto, Takanori Kanai

×

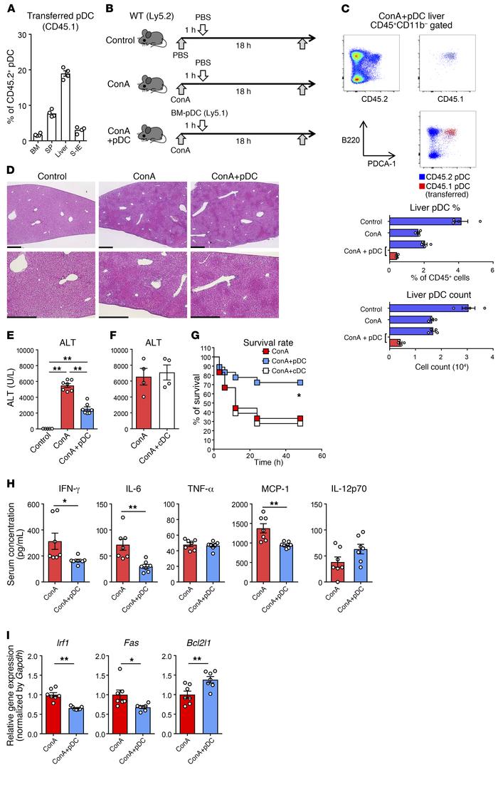
Figure 4

Adoptive transfer of BM-derived pDCs ameliorates ConA-induced inflammation.

Options: View larger image (or click on image) Download as PowerPoint
Adoptive transfer of BM-derived pDCs ameliorates ConA-induced inflammati...
(A) Mean ratios (percentages) of transferred BM-derived pDCs (CD45.1) to intrinsic pDCs (CD45.2) in the BM, spleen, liver, and small intestinal epithelium under normal conditions. All mice were sacrificed and analyzed 24 hours after the BM-derived pDC inoculation. Data are representative of over 3 independent experiments. (B) Study design. WT (Ly5.2) mice were given intravenous injections of ConA (15 mg/kg) or PBS. One hour later, mice were intravenously inoculated with Flt-3L–proliferated BM-derived pDCs (2 × 106 cells/200 μL PBS) or 200 μL PBS alone. All mice were sacrificed and analyzed 18 hours after the ConA injection. (C) Representative B220 and PDCA-1 staining of CD45.2 cells (left, blue), CD45.1 cells (upper right, red), and merged cells (lower right) in CD45+CD11b–-gated liver MNCs of the pDC-transferred mice. Mean percentages (upper) and absolute numbers (lower) of CD45.2 pDCs (blue bars) and CD45.1 pDCs (red bars). (D) Representative photomicrographs of H&E-stained sections of the liver. Scale bars: 500 μm. (E and F) Serum ALT levels. (G) Survival rates. (H) Serum cytokine concentrations. (I) IFN-γ signaling–related gene expression levels in the whole liver. Data are shown as mean ± SEM (n = 5 for the control group; n = 7 for the ConA or ConA+pDC group), except for the survival assay, in which 30 mg/kg ConA was injected and data are presented as the Kaplan-Meier curve (n = 18 per group). *P < 0.05; **P < 0.01, Student’s t test (F, H, and I), ANOVA with Tukey’s multiple comparisons post-hoc tests (E), or log-rank test (G). Data are combined from 2 independent experiments.

Copyright © 2026 American Society for Clinical Investigation
ISSN: 0021-9738 (print), 1558-8238 (online)

Sign up for email alerts