Abstract

The RDEC-1 strain Escherichia coli is an enteroadherent bacterium that produces diarrhea in the rabbit. A histopathologically similar disease has been described in humans. The RDEC-1 bacterium adheres to the epithelium of lymphoid follicles in rabbit ileal Peyer's patches by 4 h postinoculation, 3-4 d before its adherence to absorptive epithelium. The purpose of this study was to determine whether the RDEC-1 bacterium adheres to a specific cell type in the lymphoid follicle epithelium. RDEC-1 bacteria were given in a dose of 2 X 10(6) by the orogastric route to postweanling rabbits. The distal ileal Peyer's patch, taken from 5 control rabbits and 43 rabbits at intervals in the first 24 h postinoculation, was examined by routine and high-voltage electron microscopy. The RDEC-1 bacterium adhered specifically to M (membranous) rather than absorptive epithelial cells of the lymphoid follicle epithelium. Further understanding of how the bacterium attaches to M cells, which transport antigens to intraepithelial lymphocytes, could be useful in designing vaccines to protect mucosal surfaces.

Authors

L R Inman, J R Cantey

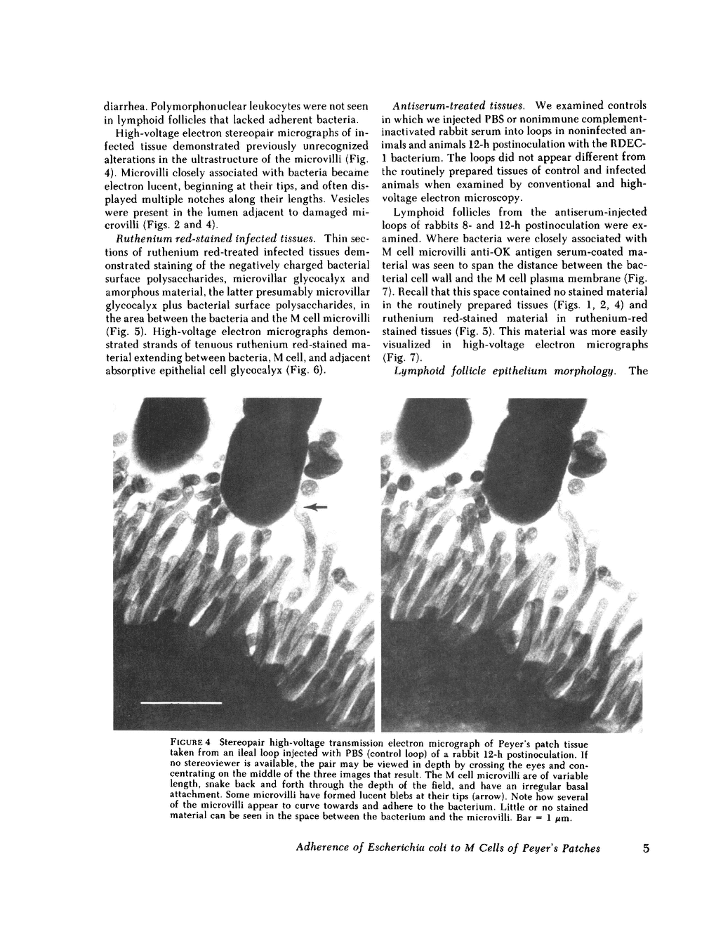
×

Other pages:

Other pages: