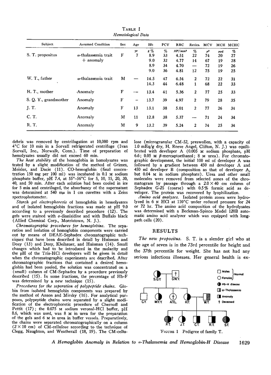
A Chinese family with hemoglobin H in the propositus has been reinvestigated. Although the original propositus is now deceased, a sister has the same hematological manifestations. Her hemoglobin, like that of the deceased sister, contains hemoglobins A, H, and Bart's. In addition, however, two minor components have been detected. These minor components appear to have abnormal α-chains and are also present in the maternal grandmother, the mother, a maternal aunt, and three other siblings but only in about one-tenth the amount. One of the minor components may be the same as Hb-Thai (25). The father has the characteristics of classical α-thalassemia. These results are discussed in relation to current concepts of α-thalassemia as they relate to “silent” and “classical” α-thalassemia and to possible multiple α-chain loci.
G. D. Efremov, Ruth N. Wrightstone, T. H. J. Huisman, W. A. Schroeder, Carol Hyman, Jorge Ortega, Kenneth Williams
1628 | 1629 | 1630 | 1631 | 1632 | 1633 | 1634 | 1635 | 1636 |