Go to JCI Insight
  • About
  • Editors
  • Consulting Editors
  • For authors
  • Publication ethics
  • Publication alerts by email
  • Advertising
  • Job board
  • Contact
  • Clinical Research and Public Health
  • Current issue
  • Past issues
  • By specialty
    • COVID-19
    • Cardiology
    • Gastroenterology
    • Immunology
    • Metabolism
    • Nephrology
    • Neuroscience
    • Oncology
    • Pulmonology
    • Vascular biology
    • All ...
  • Videos
    • Conversations with Giants in Medicine
    • Video Abstracts
  • Reviews
    • View all reviews ...
    • Pancreatic Cancer (Jul 2025)
    • Complement Biology and Therapeutics (May 2025)
    • Evolving insights into MASLD and MASH pathogenesis and treatment (Apr 2025)
    • Microbiome in Health and Disease (Feb 2025)
    • Substance Use Disorders (Oct 2024)
    • Clonal Hematopoiesis (Oct 2024)
    • Sex Differences in Medicine (Sep 2024)
    • View all review series ...
  • Viewpoint
  • Collections
    • In-Press Preview
    • Clinical Research and Public Health
    • Research Letters
    • Letters to the Editor
    • Editorials
    • Commentaries
    • Editor's notes
    • Reviews
    • Viewpoints
    • 100th anniversary
    • Top read articles

  • Current issue
  • Past issues
  • Specialties
  • Reviews
  • Review series
  • Conversations with Giants in Medicine
  • Video Abstracts
  • In-Press Preview
  • Clinical Research and Public Health
  • Research Letters
  • Letters to the Editor
  • Editorials
  • Commentaries
  • Editor's notes
  • Reviews
  • Viewpoints
  • 100th anniversary
  • Top read articles
  • About
  • Editors
  • Consulting Editors
  • For authors
  • Publication ethics
  • Publication alerts by email
  • Advertising
  • Job board
  • Contact

Seeing red in the liver

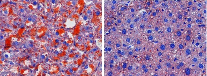
Patients with non-alcoholic fatty liver disease (NAFLD) have an abnormal accumulation of fat within hepatocytes. While most individuals with NAFLD have no symptoms or complications, in some patients, the accumulation of fatty acids promotes inflammation and can lead to hepatic fibrosis and scarring. NAFLD is strongly associated with obesity; however, the cellular mechanisms that induce hepatic fat accumulation are not fully understood. Yan Lu, Xing Liu, Yang Jiao, and colleagues at the Shanghai Jiao Tong University School of Medicine found that the secreted cellular adhesion protein periostin is substantially upregulated in the livers of obese humans and mice.  In WT mice, overexpression of periostin promoted triglyceride accumulation in the liver and serum. Conversely, reduction of periostin improved hepatosteatosis in obese animals. The authors determined that periostin binds α6β4 integrin, resulting in JNK-mediated repression of PPARα. Inhibition of PPARα impaired fatty acid oxidation and promoted triglyceride accumulation. These studies identify a previously unappreciated role for periostin in lipid metabolism and fatty liver disease, suggesting that it could serve as a therapeutic target in diseases characterized by dyslipidemia. In the accompanying image, hepatic sections from WT mice (left) or periostin-deficient mice (right) fed a high-fat diet were stained with Oil Red O. Loss of periostin prevents triglyceride (red) accumulation in the liver.  

Published July 8, 2014, by Corinne Williams

Scientific Show Stopper

Related articles

Periostin promotes liver steatosis and hypertriglyceridemia through downregulation of PPARα
Yan Lu, … , Guang Ning, Xiaoying Li
Yan Lu, … , Guang Ning, Xiaoying Li
Published July 8, 2014
Citation Information: J Clin Invest. 2014;124(8):3501-3513. https://doi.org/10.1172/JCI74438.
View: Text | PDF
Research Article Hepatology

Periostin promotes liver steatosis and hypertriglyceridemia through downregulation of PPARα

  • Text
  • PDF
Abstract

Hepatosteatosis is characterized by an aberrant accumulation of triglycerides in the liver; however, the factors that drive obesity-induced fatty liver remain largely unknown. Here, we demonstrated that the secreted cell adhesion protein periostin is markedly upregulated in livers of obese rodents and humans. Notably, overexpression of periostin in the livers of WT mice promoted hepatic steatosis and hypertriglyceridemia. Conversely, both genetic ablation of periostin and administration of a periostin-neutralizing antibody dramatically improved hepatosteatosis and hypertriglyceridemia in obese mice. Overexpression of periostin resulted in reduced expression of peroxisome proliferator–activated receptor α (PPARα), a master regulator of fatty acid oxidation, and activation of the JNK signaling pathway. In mouse primary hepatocytes, inhibition of α6β4 integrin prevented activation of JNK and suppression of PPARα in response to periostin. Periostin-dependent activation of JNK resulted in activation of c-Jun, which prevented RORα binding and transactional activation at the Ppara promoter. Together, these results identify a periostin-dependent pathway that mediates obesity-induced hepatosteatosis.

Authors

Yan Lu, Xing Liu, Yang Jiao, Xuelian Xiong, E Wang, Xiaolin Wang, Zhijian Zhang, Huijie Zhang, Lingling Pan, Youfei Guan, Dongsheng Cai, Guang Ning, Xiaoying Li

×
Advertisement

Copyright © 2025 American Society for Clinical Investigation
ISSN: 0021-9738 (print), 1558-8238 (online)

Sign up for email alerts