Go to JCI Insight
  • About
  • Editors
  • Consulting Editors
  • For authors
  • Publication ethics
  • Publication alerts by email
  • Advertising
  • Job board
  • Contact
  • Clinical Research and Public Health
  • Current issue
  • Past issues
  • By specialty
    • COVID-19
    • Cardiology
    • Gastroenterology
    • Immunology
    • Metabolism
    • Nephrology
    • Neuroscience
    • Oncology
    • Pulmonology
    • Vascular biology
    • All ...
  • Videos
    • ASCI Milestone Awards
    • Video Abstracts
    • Conversations with Giants in Medicine
  • Reviews
    • View all reviews ...
    • Clinical innovation and scientific progress in GLP-1 medicine (Nov 2025)
    • Pancreatic Cancer (Jul 2025)
    • Complement Biology and Therapeutics (May 2025)
    • Evolving insights into MASLD and MASH pathogenesis and treatment (Apr 2025)
    • Microbiome in Health and Disease (Feb 2025)
    • Substance Use Disorders (Oct 2024)
    • Clonal Hematopoiesis (Oct 2024)
    • View all review series ...
  • Viewpoint
  • Collections
    • In-Press Preview
    • Clinical Research and Public Health
    • Research Letters
    • Letters to the Editor
    • Editorials
    • Commentaries
    • Editor's notes
    • Reviews
    • Viewpoints
    • 100th anniversary
    • Top read articles

  • Current issue
  • Past issues
  • Specialties
  • Reviews
  • Review series
  • ASCI Milestone Awards
  • Video Abstracts
  • Conversations with Giants in Medicine
  • In-Press Preview
  • Clinical Research and Public Health
  • Research Letters
  • Letters to the Editor
  • Editorials
  • Commentaries
  • Editor's notes
  • Reviews
  • Viewpoints
  • 100th anniversary
  • Top read articles
  • About
  • Editors
  • Consulting Editors
  • For authors
  • Publication ethics
  • Publication alerts by email
  • Advertising
  • Job board
  • Contact
IRE1α RNase–dependent lipid homeostasis promotes survival in Myc-transformed cancers
Hong Xie, Chih-Hang Anthony Tang, Jun H. Song, Anthony Mancuso, Juan R. Del Valle, Jin Cao, Yan Xiang, Chi V. Dang, Roy Lan, Danielle J. Sanchez, Brian Keith, Chih-Chi Andrew Hu, M. Celeste Simon
Hong Xie, Chih-Hang Anthony Tang, Jun H. Song, Anthony Mancuso, Juan R. Del Valle, Jin Cao, Yan Xiang, Chi V. Dang, Roy Lan, Danielle J. Sanchez, Brian Keith, Chih-Chi Andrew Hu, M. Celeste Simon
View: Text | PDF
Research Article Oncology

IRE1α RNase–dependent lipid homeostasis promotes survival in Myc-transformed cancers

  • Text
  • PDF
Abstract

Myc activation is a primary oncogenic event in many human cancers; however, these transcription factors are difficult to inhibit pharmacologically, suggesting that Myc-dependent downstream effectors may be more tractable therapeutic targets. Here, we show that Myc overexpression induces endoplasmic reticulum (ER) stress and engages the inositol-requiring enzyme 1α (IRE1α)/X-box binding protein 1 (XBP1) pathway through multiple molecular mechanisms in a variety of c-Myc– and N-Myc–dependent cancers. In particular, Myc-overexpressing cells require IRE1α/XBP1 signaling for sustained growth and survival in vitro and in vivo, dependent on elevated stearoyl-CoA-desaturase 1 (SCD1) activity. Pharmacological and genetic XBP1 inhibition induces Myc-dependent apoptosis, which is alleviated by exogenous unsaturated fatty acids. Of note, SCD1 inhibition phenocopies IRE1α RNase activity suppression in vivo. Furthermore, IRE1α inhibition enhances the cytotoxic effects of standard chemotherapy drugs used to treat c-Myc–overexpressing Burkitt’s lymphoma, suggesting that inhibiting the IRE1α/XBP1 pathway is a useful general strategy for treatment of Myc-driven cancers.

Authors

Hong Xie, Chih-Hang Anthony Tang, Jun H. Song, Anthony Mancuso, Juan R. Del Valle, Jin Cao, Yan Xiang, Chi V. Dang, Roy Lan, Danielle J. Sanchez, Brian Keith, Chih-Chi Andrew Hu, M. Celeste Simon

×

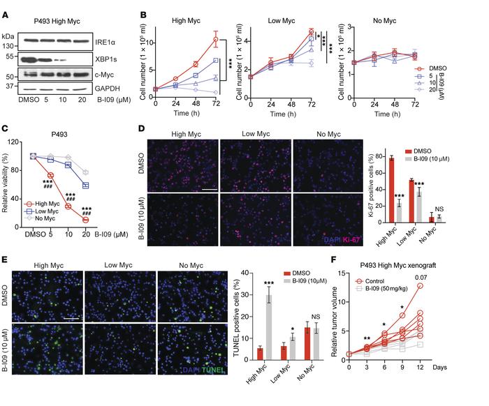
Figure 3

Synthetic lethality between c-Myc overexpression and IRE1α RNase inhibition in vitro and in vivo.

Options: View larger image (or click on image) Download as PowerPoint
Synthetic lethality between c-Myc overexpression and IRE1α RNase inhibit...
(A) P493 High Myc cells treated with indicated concentrations of B-I09 for 24 hours; 5 μg/ml tunicamycin was added 6 hours before harvest. Immunoblots show the expression of IRE1α, XBP1s, and c-Myc. (B) Cells cultured with B-I09 and counted at indicated times (n = 3). (C) Cells treated with indicated concentrations of B-I09 for 48 hours. Viability was determined by FITC–annexin V/propidium iodide (PI) staining (as for all viability assays). Relative viability was determined by normalizing to viability of cells with DMSO treatment. (D and E) Ki67 and TUNEL staining representative images (left) and quantifications (right) upon 10 μM B-I09 treatment for 48 hours. Five fields per slide were quantified. Scale bars: 100 μm. (F) Growth of P493 High Myc subcutaneous tumors treated with vehicle or B-I09 (50 mg/kg intraperitoneally, once per day, 5 days per week, 2 weeks). Relative tumor volume was determined by normalizing to volume when treatment was started (n = 6 for control, n = 5 for B-I09, 2-tailed Student’s t test). For cell viability assays, data are representative of 3 independent experiments. Two-way ANOVA with Bonferroni’s correction was used to determine significance, if not specified elsewhere. *P < 0.05, **P < 0.01, ***P < 0.001 (B and D–F); ***P < 0.001, High Myc vs. Low Myc, ###P < 0.001, High Myc vs. No Myc (C).

Copyright © 2026 American Society for Clinical Investigation
ISSN: 0021-9738 (print), 1558-8238 (online)

Sign up for email alerts