Go to JCI Insight
  • About
  • Editors
  • Consulting Editors
  • For authors
  • Publication ethics
  • Publication alerts by email
  • Advertising
  • Job board
  • Contact
  • Clinical Research and Public Health
  • Current issue
  • Past issues
  • By specialty
    • COVID-19
    • Cardiology
    • Gastroenterology
    • Immunology
    • Metabolism
    • Nephrology
    • Neuroscience
    • Oncology
    • Pulmonology
    • Vascular biology
    • All ...
  • Videos
    • ASCI Milestone Awards
    • Video Abstracts
    • Conversations with Giants in Medicine
  • Reviews
    • View all reviews ...
    • Neurodegeneration (Mar 2026)
    • Clinical innovation and scientific progress in GLP-1 medicine (Nov 2025)
    • Pancreatic Cancer (Jul 2025)
    • Complement Biology and Therapeutics (May 2025)
    • Evolving insights into MASLD and MASH pathogenesis and treatment (Apr 2025)
    • Microbiome in Health and Disease (Feb 2025)
    • Substance Use Disorders (Oct 2024)
    • View all review series ...
  • Viewpoint
  • Collections
    • In-Press Preview
    • Clinical Research and Public Health
    • Research Letters
    • Letters to the Editor
    • Editorials
    • Commentaries
    • Editor's notes
    • Reviews
    • Viewpoints
    • 100th anniversary
    • Top read articles

  • Current issue
  • Past issues
  • Specialties
  • Reviews
  • Review series
  • ASCI Milestone Awards
  • Video Abstracts
  • Conversations with Giants in Medicine
  • In-Press Preview
  • Clinical Research and Public Health
  • Research Letters
  • Letters to the Editor
  • Editorials
  • Commentaries
  • Editor's notes
  • Reviews
  • Viewpoints
  • 100th anniversary
  • Top read articles
  • About
  • Editors
  • Consulting Editors
  • For authors
  • Publication ethics
  • Publication alerts by email
  • Advertising
  • Job board
  • Contact
EMC3 coordinates surfactant protein and lipid homeostasis required for respiration
Xiaofang Tang, John M. Snowball, Yan Xu, Cheng-Lun Na, Timothy E. Weaver, Geremy Clair, Jennifer E. Kyle, Erika M. Zink, Charles Ansong, Wei Wei, Meina Huang, Xinhua Lin, Jeffrey A. Whitsett
Xiaofang Tang, John M. Snowball, Yan Xu, Cheng-Lun Na, Timothy E. Weaver, Geremy Clair, Jennifer E. Kyle, Erika M. Zink, Charles Ansong, Wei Wei, Meina Huang, Xinhua Lin, Jeffrey A. Whitsett
View: Text | PDF
Research Article Angiogenesis Pulmonology

EMC3 coordinates surfactant protein and lipid homeostasis required for respiration

  • Text
  • PDF
Abstract

Adaptation to respiration at birth depends upon the synthesis of pulmonary surfactant, a lipid-protein complex that reduces surface tension at the air-liquid interface in the alveoli and prevents lung collapse during the ventilatory cycle. Herein, we demonstrated that the gene encoding a subunit of the endoplasmic reticulum membrane complex, EMC3, also known as TMEM111 (Emc3/Tmem111), was required for murine pulmonary surfactant synthesis and lung function at birth. Conditional deletion of Emc3 in murine embryonic lung epithelial cells disrupted the synthesis and packaging of surfactant lipids and proteins, impaired the formation of lamellar bodies, and induced the unfolded protein response in alveolar type 2 (AT2) cells. EMC3 was essential for the processing and routing of surfactant proteins, SP-B and SP-C, and the biogenesis of the phospholipid transport protein ABCA3. Transcriptomic, lipidomic, and proteomic analyses demonstrated that EMC3 coordinates the assembly of lipids and proteins in AT2 cells that is necessary for surfactant synthesis and function at birth.

Authors

Xiaofang Tang, John M. Snowball, Yan Xu, Cheng-Lun Na, Timothy E. Weaver, Geremy Clair, Jennifer E. Kyle, Erika M. Zink, Charles Ansong, Wei Wei, Meina Huang, Xinhua Lin, Jeffrey A. Whitsett

×

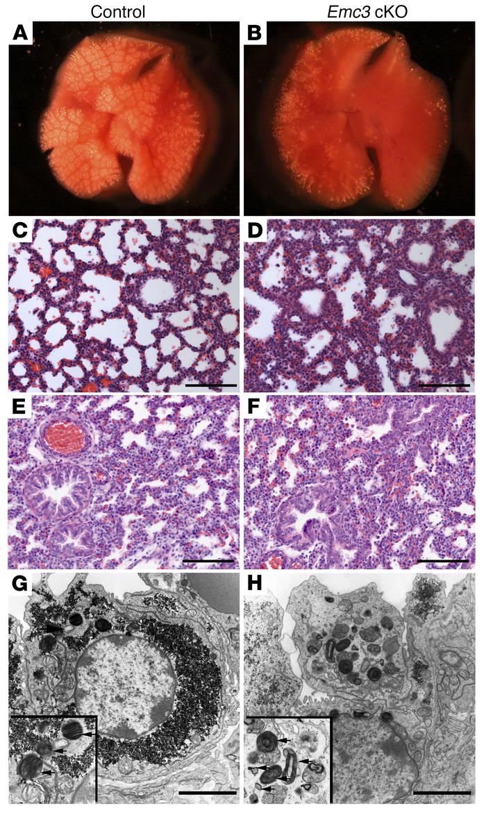
Figure 2

Surfactant deficiency and neonatal respiratory failure in Emc3-cKO mice.

Options: View larger image (or click on image) Download as PowerPoint
Surfactant deficiency and neonatal respiratory failure in Emc3-cKO mice....
(A and B) Lungs from control and Emc3-cKO mice (P0) are shown, demonstrating diffuse atelectasis after deletion of Emc3. (C and D) Hematoxylin/eosin–stained sections show normal lung morphogenesis but collapsed airspaces in Emc3-cKO mice at P0. Scale bars: 100 μm. (E and F) Hematoxylin/eosin-stained sections show normal lung histology in Emc3-cKO mice at E18.5, the day before birth. Scale bars: 100 μm. (G and H) Electron microscopic images identify lamellar body–like inclusions (arrows) in control (G) and Emc3-deleted (H) AT2 cells at E18.5. AT2 cells from Emc3-cKO mice lacked normal lamellar bodies and contained abnormal, smaller, and heterogeneous lamellar body–like inclusions. Scale bars: 2 μm.

Copyright © 2026 American Society for Clinical Investigation
ISSN: 0021-9738 (print), 1558-8238 (online)

Sign up for email alerts