Go to JCI Insight
  • About
  • Editors
  • Consulting Editors
  • For authors
  • Publication ethics
  • Publication alerts by email
  • Advertising
  • Job board
  • Contact
  • Clinical Research and Public Health
  • Current issue
  • Past issues
  • By specialty
    • COVID-19
    • Cardiology
    • Gastroenterology
    • Immunology
    • Metabolism
    • Nephrology
    • Neuroscience
    • Oncology
    • Pulmonology
    • Vascular biology
    • All ...
  • Videos
    • ASCI Milestone Awards
    • Video Abstracts
    • Conversations with Giants in Medicine
  • Reviews
    • View all reviews ...
    • Clinical innovation and scientific progress in GLP-1 medicine (Nov 2025)
    • Pancreatic Cancer (Jul 2025)
    • Complement Biology and Therapeutics (May 2025)
    • Evolving insights into MASLD and MASH pathogenesis and treatment (Apr 2025)
    • Microbiome in Health and Disease (Feb 2025)
    • Substance Use Disorders (Oct 2024)
    • Clonal Hematopoiesis (Oct 2024)
    • View all review series ...
  • Viewpoint
  • Collections
    • In-Press Preview
    • Clinical Research and Public Health
    • Research Letters
    • Letters to the Editor
    • Editorials
    • Commentaries
    • Editor's notes
    • Reviews
    • Viewpoints
    • 100th anniversary
    • Top read articles

  • Current issue
  • Past issues
  • Specialties
  • Reviews
  • Review series
  • ASCI Milestone Awards
  • Video Abstracts
  • Conversations with Giants in Medicine
  • In-Press Preview
  • Clinical Research and Public Health
  • Research Letters
  • Letters to the Editor
  • Editorials
  • Commentaries
  • Editor's notes
  • Reviews
  • Viewpoints
  • 100th anniversary
  • Top read articles
  • About
  • Editors
  • Consulting Editors
  • For authors
  • Publication ethics
  • Publication alerts by email
  • Advertising
  • Job board
  • Contact
Elevated copper impairs hepatic nuclear receptor function in Wilson’s disease
Clavia Ruth Wooton-Kee, Ajay K. Jain, Martin Wagner, Michael A. Grusak, Milton J. Finegold, Svetlana Lutsenko, David D. Moore
Clavia Ruth Wooton-Kee, Ajay K. Jain, Martin Wagner, Michael A. Grusak, Milton J. Finegold, Svetlana Lutsenko, David D. Moore
View: Text | PDF
Research Article Hepatology

Elevated copper impairs hepatic nuclear receptor function in Wilson’s disease

  • Text
  • PDF
Abstract

Wilson’s disease (WD) is an autosomal recessive disorder that results in accumulation of copper in the liver as a consequence of mutations in the gene encoding the copper-transporting P-type ATPase (ATP7B). WD is a chronic liver disorder, and individuals with the disease present with a variety of complications, including steatosis, cholestasis, cirrhosis, and liver failure. Similar to patients with WD, Atp7b–/– mice have markedly elevated levels of hepatic copper and liver pathology. Previous studies have demonstrated that replacement of zinc in the DNA-binding domain of the estrogen receptor (ER) with copper disrupts specific binding to DNA response elements. Here, we found decreased binding of the nuclear receptors FXR, RXR, HNF4α, and LRH-1 to promoter response elements and decreased mRNA expression of nuclear receptor target genes in Atp7b–/– mice, as well as in adult and pediatric WD patients. Excessive hepatic copper has been described in progressive familial cholestasis (PFIC), and we found that similar to individuals with WD, patients with PFIC2 or PFIC3 who have clinically elevated hepatic copper levels exhibit impaired nuclear receptor activity. Together, these data demonstrate that copper-mediated nuclear receptor dysfunction disrupts liver function in WD and potentially in other disorders associated with increased hepatic copper levels.

Authors

Clavia Ruth Wooton-Kee, Ajay K. Jain, Martin Wagner, Michael A. Grusak, Milton J. Finegold, Svetlana Lutsenko, David D. Moore

×

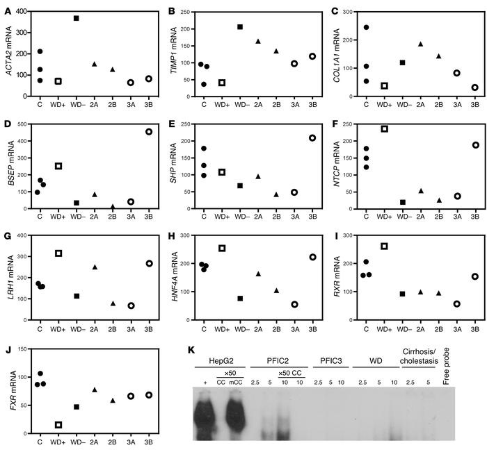
Figure 6

Pediatric cholestasis and copper-mediated effects on nuclear receptors.

Options: View larger image (or click on image) Download as PowerPoint
Pediatric cholestasis and copper-mediated effects on nuclear receptors.
...
(A–J) Real-time PCR was performed to measure COL1A1, ACTA2, TIMP1, BSEP, SHP, NTCP, LRH1, HNF4A, RXR, and FXR mRNA in pediatric liver biopsy samples. mRNA levels in tissue samples from controls (C, denoting pediatric patients with normal hepatic copper levels), WD/trientine patients (WD+), WD/no trientine patients (WD–), PFIC2 patients A and B (2A, 2B), and PFIC3 patients A and B (3A, 3B). For each experiment, samples were measured in duplicate and the average plotted for the individual sample. Each experiment was performed 3 times, and graphs are representative of 3 separate experiments. In panels A–J, target gene mRNA expression was normalized to 18S mRNA expression. (K) EMSA analysis of binding to a radiolabeled probe containing an FXRE on the BSEP promoter with nuclear extracts harvested from HepG2 cells or from patients with PFIC2, PFIC3, WD, or cirrhosis or cholestasis. Fifty-fold excess of cold competition with WT (CC), but not mCC, demonstrated specific and nonspecific binding.

Copyright © 2026 American Society for Clinical Investigation
ISSN: 0021-9738 (print), 1558-8238 (online)

Sign up for email alerts