Go to JCI Insight
  • About
  • Editors
  • Consulting Editors
  • For authors
  • Publication ethics
  • Publication alerts by email
  • Advertising
  • Job board
  • Contact
  • Clinical Research and Public Health
  • Current issue
  • Past issues
  • By specialty
    • COVID-19
    • Cardiology
    • Gastroenterology
    • Immunology
    • Metabolism
    • Nephrology
    • Neuroscience
    • Oncology
    • Pulmonology
    • Vascular biology
    • All ...
  • Videos
    • Conversations with Giants in Medicine
    • Video Abstracts
  • Reviews
    • View all reviews ...
    • Clinical innovation and scientific progress in GLP-1 medicine (Nov 2025)
    • Pancreatic Cancer (Jul 2025)
    • Complement Biology and Therapeutics (May 2025)
    • Evolving insights into MASLD and MASH pathogenesis and treatment (Apr 2025)
    • Microbiome in Health and Disease (Feb 2025)
    • Substance Use Disorders (Oct 2024)
    • Clonal Hematopoiesis (Oct 2024)
    • View all review series ...
  • Viewpoint
  • Collections
    • In-Press Preview
    • Clinical Research and Public Health
    • Research Letters
    • Letters to the Editor
    • Editorials
    • Commentaries
    • Editor's notes
    • Reviews
    • Viewpoints
    • 100th anniversary
    • Top read articles

  • Current issue
  • Past issues
  • Specialties
  • Reviews
  • Review series
  • Conversations with Giants in Medicine
  • Video Abstracts
  • In-Press Preview
  • Clinical Research and Public Health
  • Research Letters
  • Letters to the Editor
  • Editorials
  • Commentaries
  • Editor's notes
  • Reviews
  • Viewpoints
  • 100th anniversary
  • Top read articles
  • About
  • Editors
  • Consulting Editors
  • For authors
  • Publication ethics
  • Publication alerts by email
  • Advertising
  • Job board
  • Contact
Truncated apo B-70.5–containing lipoproteins bind to megalin but not the LDL receptor
Zhouji Chen, Jeffrey E. Saffitz, Mickey A. Latour, Gustav Schonfeld
Zhouji Chen, Jeffrey E. Saffitz, Mickey A. Latour, Gustav Schonfeld
View: Text | PDF
Article

Truncated apo B-70.5–containing lipoproteins bind to megalin but not the LDL receptor

  • Text
  • PDF
Abstract

Apo B-100 of LDL can bind to both the LDL receptor and megalin, but the molecular interactions of apo B-100 with these 2 receptors are not completely understood. Naturally occurring mutant forms of apo B may be a source of valuable information on these interactions. Apo B-70.5 is uniquely useful because it contains the NH2-terminal portion of apo B-100, that includes only one of the two putative LDL receptor–binding sites (site A). The lipoprotein containing apo B-70.5 (Lp B-70.5) was purified from apo B-100/apo B-70.5 heterozygotes by sequential ultracentrifugation combined with immunoaffinity chromatography. Cell culture experiments, ligand blot analysis, and in vivo studies all consistently showed that Lp B-70.5 is not recognized by the LDL receptor. The kidney was identified as a major organ in catabolism of Lp B-70.5 in New Zealand white rabbits. Autoradiographic analysis revealed that renal proximal tubular cells selectively removed Lp B-70.5. On ligand blotting of renal cortical membranes, Lp B-70.5 bound only to megalin. The ability of megalin to mediate cellular endocytosis of Lp B-70.5 was confirmed using retinoic acid/dibutyryl cAMP–treated F9 cells. This study suggests that the putative LDL receptor–binding site A on apo B-100 might not by itself be a functional binding domain and that the apo B–binding sites recognized by the LDL receptor and by megalin may be different. Moreover, megalin may play an important role in renal catabolism of apo B truncations, including apo B-70.5.

Authors

Zhouji Chen, Jeffrey E. Saffitz, Mickey A. Latour, Gustav Schonfeld

×

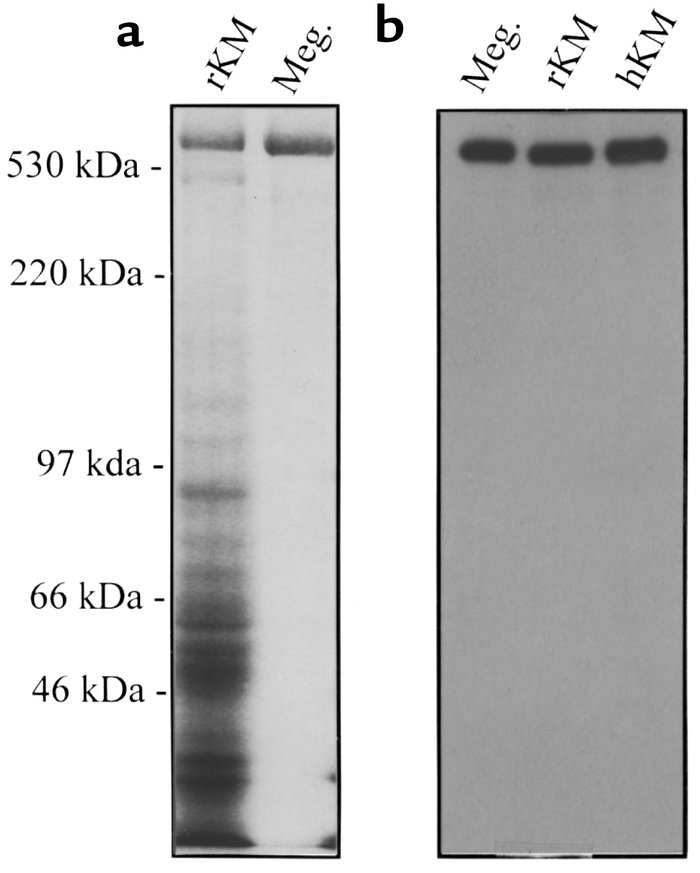
Figure 7

Options: View larger image (or click on image) Download as PowerPoint
Coomassie staining of the purified rabbit megalin (a) and its binding to...
Coomassie staining of the purified rabbit megalin (a) and its binding to 125I-Lp B-70.5 on ligand blot (b). (a) Rabbit kidney cortical membrane (rKM) protein (300 μg) or the purified rabbit megalin (Meg; 4 μg) was separated on SDS-PAGE (3–12% gradient gel) under nonreducing conditions and subjected to Coomassie staining. (b) Ligand blot analysis was performed as described in Figure 6. hKM, 250 μg of human kidney cortical membranes; Meg., 2 μg of the purified rabbit megalin; rKM, 200 μg of rabbit kidney cortical membranes. 125I-Lp B-70.5 was present in the binding solution at a concentration of 1 μg/mL.

Copyright © 2025 American Society for Clinical Investigation
ISSN: 0021-9738 (print), 1558-8238 (online)

Sign up for email alerts