Go to JCI Insight
  • About
  • Editors
  • Consulting Editors
  • For authors
  • Publication ethics
  • Publication alerts by email
  • Advertising
  • Job board
  • Contact
  • Clinical Research and Public Health
  • Current issue
  • Past issues
  • By specialty
    • COVID-19
    • Cardiology
    • Gastroenterology
    • Immunology
    • Metabolism
    • Nephrology
    • Neuroscience
    • Oncology
    • Pulmonology
    • Vascular biology
    • All ...
  • Videos
    • ASCI Milestone Awards
    • Video Abstracts
    • Conversations with Giants in Medicine
  • Reviews
    • View all reviews ...
    • Clinical innovation and scientific progress in GLP-1 medicine (Nov 2025)
    • Pancreatic Cancer (Jul 2025)
    • Complement Biology and Therapeutics (May 2025)
    • Evolving insights into MASLD and MASH pathogenesis and treatment (Apr 2025)
    • Microbiome in Health and Disease (Feb 2025)
    • Substance Use Disorders (Oct 2024)
    • Clonal Hematopoiesis (Oct 2024)
    • View all review series ...
  • Viewpoint
  • Collections
    • In-Press Preview
    • Clinical Research and Public Health
    • Research Letters
    • Letters to the Editor
    • Editorials
    • Commentaries
    • Editor's notes
    • Reviews
    • Viewpoints
    • 100th anniversary
    • Top read articles

  • Current issue
  • Past issues
  • Specialties
  • Reviews
  • Review series
  • ASCI Milestone Awards
  • Video Abstracts
  • Conversations with Giants in Medicine
  • In-Press Preview
  • Clinical Research and Public Health
  • Research Letters
  • Letters to the Editor
  • Editorials
  • Commentaries
  • Editor's notes
  • Reviews
  • Viewpoints
  • 100th anniversary
  • Top read articles
  • About
  • Editors
  • Consulting Editors
  • For authors
  • Publication ethics
  • Publication alerts by email
  • Advertising
  • Job board
  • Contact
Estrogen receptor signaling drives immune evasion and immunotherapy resistance in HR+ breast cancer
José Ángel Palomeque, Gabriel Serra-Mir, Sandra Blasco-Benito, Helena Brunel, Pau Torren-Duran, Iván Pérez-Núñez, Chiara Cannatá, Laura Comerma, Silvia Menendez, Sonia Servitja, Tamara Martos, Maria Castro, Rodrigo L. Borges, Joanna I. López-Velazco, Sara Manzano, Santiago Duro-Sánchez, Joaquín Arribas, María M. Caffarel, Ander Urruticoechea, José A. Seoane, Lluis Morey, Joan Albanell, Toni Celià-Terrassa
José Ángel Palomeque, Gabriel Serra-Mir, Sandra Blasco-Benito, Helena Brunel, Pau Torren-Duran, Iván Pérez-Núñez, Chiara Cannatá, Laura Comerma, Silvia Menendez, Sonia Servitja, Tamara Martos, Maria Castro, Rodrigo L. Borges, Joanna I. López-Velazco, Sara Manzano, Santiago Duro-Sánchez, Joaquín Arribas, María M. Caffarel, Ander Urruticoechea, José A. Seoane, Lluis Morey, Joan Albanell, Toni Celià-Terrassa
View: Text | PDF
Research Article Immunology Oncology

Estrogen receptor signaling drives immune evasion and immunotherapy resistance in HR+ breast cancer

  • Text
  • PDF
Abstract

Hormone receptor–positive (HR+) breast cancers (BCs) are typically “immune-cold,” poorly immune-infiltrated tumors that do not respond to immune-checkpoint blockade (ICB) therapies. Using clinical data, we report that estrogen receptor α (ERα) signaling was associated with immunosuppressive pathways and a lack of response to ICB in patients with HR+ BC. In this study, we validated ER-mediated immunosuppression by engineering and modulating the ER in preclinical models in vitro, in vivo, and ex vivo. Mechanistically, we found that ERα hijacked LCOR, a nuclear receptor corepressor, thereby preventing LCOR’s function in the induction of tumor immunogenicity and immune infiltration, which is normally observed in the absence of ERα, such as in ER– BC. In HR+ BC, we demonstrate that the molecular disruption of LCOR and ERα interaction using anti-ER therapies or using a mutant of the LCOR nuclear receptor–binding domain (LSKLL into LSKAA) that does not interact with ERα, restored the immunogenic functions of LCOR. Remarkably, the LCOR-ERα disruption converted HR+ BC immune-cold tumors into immune-hot tumors responsive to ICB by increased antigen presentation machinery expression, immune infiltration, T cell recognition, and T cell–mediated killing. In conclusion, ERα inhibition and the disruption of LCOR-ERα interaction represent a therapeutic strategy and an opportunity to elicit immunotherapeutic benefit in patients with HR+ BC.

Authors

José Ángel Palomeque, Gabriel Serra-Mir, Sandra Blasco-Benito, Helena Brunel, Pau Torren-Duran, Iván Pérez-Núñez, Chiara Cannatá, Laura Comerma, Silvia Menendez, Sonia Servitja, Tamara Martos, Maria Castro, Rodrigo L. Borges, Joanna I. López-Velazco, Sara Manzano, Santiago Duro-Sánchez, Joaquín Arribas, María M. Caffarel, Ander Urruticoechea, José A. Seoane, Lluis Morey, Joan Albanell, Toni Celià-Terrassa

×

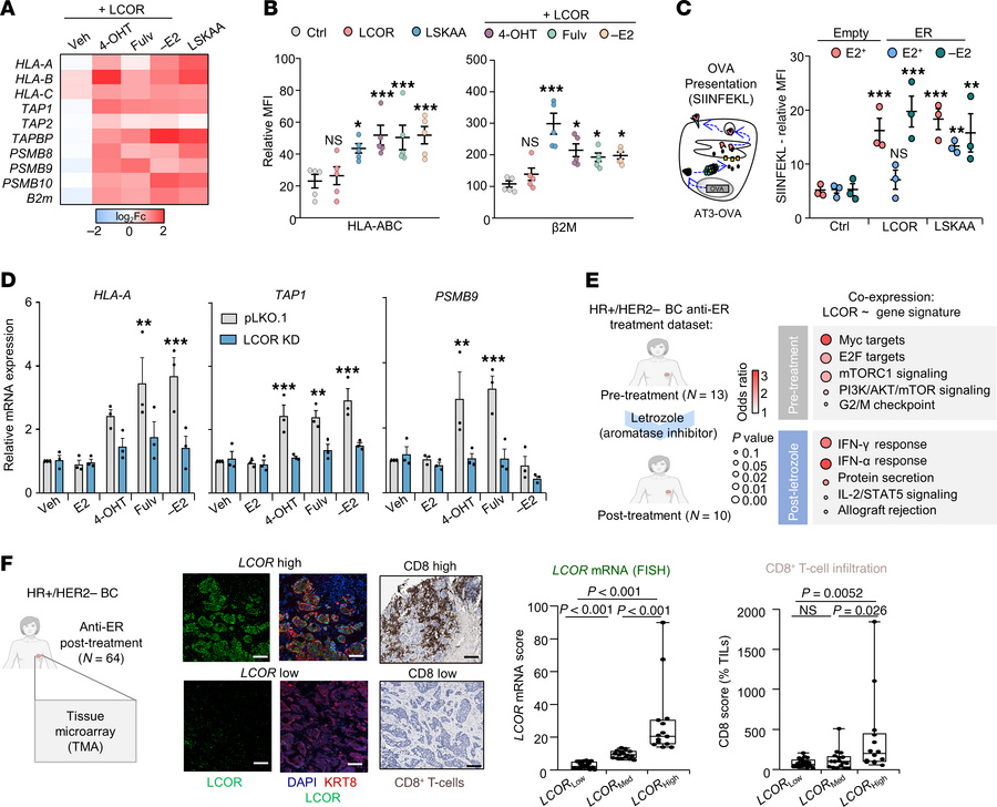
Figure 4

Molecular disruption of the LCOR-ERα interaction restores LCOR immunogenic activity in HR+ BC.

Options: View larger image (or click on image) Download as PowerPoint
Molecular disruption of the LCOR-ERα interaction restores LCOR immunogen...
(A) RT-qPCR analysis of MHC-I in MCF-7 cells treated with the indicated anti-ER drugs. Data are represented as log2(fold change) of the normalized expression of the vector control condition. n = 3 individual biological replicates; data represents the mean. (B) Flow cytometric analysis of HLA-ABC and β2m levels in MCF-7 cells under the same conditions in A. n = 5 independent biological replicates. Data represent the MFI relative to the isotype control ± SEM. (C) Flow cytometric analysis of the OVA peptide SIINFEKL presented by H2-K1b in AT3-OVA vector control (Empty) or ER-OE (AT3-ER) cells in the different conditions: control, LCOR-OE, and LSKAA-OE cells treated with regular (E2+) or E2-depleted media (–E2, charcoal-stripped FBS). n = 3 independent biological replicates; data represent the MFI relative to the isotype control ± SEM. (D) RT-qPCR analysis of HLA-A, TAP1, and PSMB9 genes in vector control (pLKO.1) and LCOR-KD MCF-7 cells treated with vehicle or the respective anti-ER drugs (1 μM) or 10% charcoal medium for 24 hours. n = 3 independent biological replicates. Data show the mean ± SEM. (E) Pathway analysis of LCOR-coexpressed transcripts for pre- and post-letrozole therapy groups of patients with BC (46). Pathways are ranked on the basis of the OR and P value. (F) ISH images of specimens from patients with BC. ISH stratification of LCORhi and LCORlo HR+ tumors treated with endocrine therapy (aromatase inhibitor letrozole). The tumor fraction was detected by DAPI and KRT8 staining. Scale bars: 200 μm. IHC staining of the corresponding high and low CD8+ T cell–infiltrated tumors. TMA samples were stratified by LCOR mRNA levels into low, medium, and high expression of LCOR from ISH staining and the corresponding CD8+ T cell tumor infiltration score. *P < 0.05, **P < 0.01, and ***P < 0.001, by 1-way ANOVA (F) and 2-way ANOVA (B–D. Cells were gated from P3 (Supplemental Figure 8A) in B and C.

Copyright © 2026 American Society for Clinical Investigation
ISSN: 0021-9738 (print), 1558-8238 (online)

Sign up for email alerts