Go to JCI Insight
  • About
  • Editors
  • Consulting Editors
  • For authors
  • Publication ethics
  • Publication alerts by email
  • Advertising
  • Job board
  • Contact
  • Clinical Research and Public Health
  • Current issue
  • Past issues
  • By specialty
    • COVID-19
    • Cardiology
    • Gastroenterology
    • Immunology
    • Metabolism
    • Nephrology
    • Neuroscience
    • Oncology
    • Pulmonology
    • Vascular biology
    • All ...
  • Videos
    • ASCI Milestone Awards
    • Video Abstracts
    • Conversations with Giants in Medicine
  • Reviews
    • View all reviews ...
    • Clinical innovation and scientific progress in GLP-1 medicine (Nov 2025)
    • Pancreatic Cancer (Jul 2025)
    • Complement Biology and Therapeutics (May 2025)
    • Evolving insights into MASLD and MASH pathogenesis and treatment (Apr 2025)
    • Microbiome in Health and Disease (Feb 2025)
    • Substance Use Disorders (Oct 2024)
    • Clonal Hematopoiesis (Oct 2024)
    • View all review series ...
  • Viewpoint
  • Collections
    • In-Press Preview
    • Clinical Research and Public Health
    • Research Letters
    • Letters to the Editor
    • Editorials
    • Commentaries
    • Editor's notes
    • Reviews
    • Viewpoints
    • 100th anniversary
    • Top read articles

  • Current issue
  • Past issues
  • Specialties
  • Reviews
  • Review series
  • ASCI Milestone Awards
  • Video Abstracts
  • Conversations with Giants in Medicine
  • In-Press Preview
  • Clinical Research and Public Health
  • Research Letters
  • Letters to the Editor
  • Editorials
  • Commentaries
  • Editor's notes
  • Reviews
  • Viewpoints
  • 100th anniversary
  • Top read articles
  • About
  • Editors
  • Consulting Editors
  • For authors
  • Publication ethics
  • Publication alerts by email
  • Advertising
  • Job board
  • Contact
Tumor-derived neutrophil extracellular trap–associated DNA impairs treatment efficacy in breast cancer via CCDC25-dependent epithelial-mesenchymal transition
Heliang Li, Yetong Zhang, Jianghua Lin, Jiayi Zeng, Xinyan Liang, Linxi Xu, Jiang Li, Xiaoming Zhong, Xu Liu, Zhou Liu, Xinyu Yang, Yunyi Zhang, Shun Wang, Erwei Song, Man Nie, Linbin Yang
Heliang Li, Yetong Zhang, Jianghua Lin, Jiayi Zeng, Xinyan Liang, Linxi Xu, Jiang Li, Xiaoming Zhong, Xu Liu, Zhou Liu, Xinyu Yang, Yunyi Zhang, Shun Wang, Erwei Song, Man Nie, Linbin Yang
View: Text | PDF
Research Article Immunology Oncology

Tumor-derived neutrophil extracellular trap–associated DNA impairs treatment efficacy in breast cancer via CCDC25-dependent epithelial-mesenchymal transition

  • Text
  • PDF
Abstract

Neutrophil extracellular traps (NETs) are associated with cancer progression; however, the functional role and clinical importance of NET-DNA in therapeutic resistance remain unclear. Here, we show that chemotherapy and radiotherapy provoke NET-DNA formation in primary tumor and metastatic organs in breast cancer patients and mouse models, and the level of NET-DNA correlates with treatment resistance. Mechanistically, the cathepsin C in tumor debris generated by anticancer therapy is phagocytosed by macrophages and drives CXCL1/2 and complement factor B production via activating the TLR4/NF-κB signaling pathway, subsequently promoting NETosis and impairing therapeutic efficacy. Importantly, we demonstrate that NET-DNA sensor CCDC25 is indispensable in NET-mediated treatment resistance by inducing cancer cell epithelial-mesenchymal transition via pyruvate kinase isoform M2–mediated STAT3 phosphorylation. Clinically, tumoral CCDC25 abundance is closely associated with poor prognosis in patients who underwent chemotherapy. Overall, our data reveal the mechanism of NET formation and elucidate the interaction of NET-CCDC25 in therapy resistance, highlighting CCDC25 as an appealing target for anticancer interventions.

Authors

Heliang Li, Yetong Zhang, Jianghua Lin, Jiayi Zeng, Xinyan Liang, Linxi Xu, Jiang Li, Xiaoming Zhong, Xu Liu, Zhou Liu, Xinyu Yang, Yunyi Zhang, Shun Wang, Erwei Song, Man Nie, Linbin Yang

×

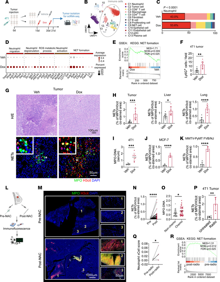
Figure 1

Chemotherapy and radiotherapy promote NET generation in breast cancer.

Options: View larger image (or click on image) Download as PowerPoint
Chemotherapy and radiotherapy promote NET generation in breast cancer.
(...
(A) Workflow of scRNA-Seq of 4T1 tumors (n = 3/group). (B) Uniform manifold approximation and projection (UMAP) plot of cell subsets from vehicle (Veh) and Dox groups. The gray circle represents immune cells. (C) Stacked bar graph for percentage of immune cells (χ2 test). Bar colors represent corresponding subtypes described in B. (D) Expression levels of differentially expressed genes (DEGs) from GO and KEGG terms in neutrophils (adj. P < 0.05). Dot size and color indicate fraction of cells and average expression. (E) GSEA revealed enrichment of NET formation pathway in neutrophils from Dox group (permutation test). NOM, normalized. (F–I) Tumors, metastatic livers, lungs, and serum from 4T1-bearing mice were isolated and analyzed (n = 8/group). (F) Quantification of tumoral Ly6G+ cells (unpaired t test). (G) Representative H&E images and immunofluorescence images. Scale bars, 50 μm and 100 μm. * indicates areas magnified in the top-left insets. (H) Quantification of NET expression. Tumor, Mann-Whitney test. Liver and lung, unpaired t test. (I) Serum levels of MPO-DNA (Mann-Whitney test). (J and K) Quantification of NET expression in MCF-7 tumors (J) and MMTV-PyMT FVB/NJ mouse tumors (K) (n = 5/group, unpaired t test). (L) Schematic illustration. (M and N) Representative immunofluorescence images (M) and quantification (N) in paired pre- and post-NAC breast tumors (n = 81 pairs, Wilcoxon matched pairs signed-rank test). Scale bars, 50 μm and 1,000 μm. (O) Plasma levels of MPO-DNA in patients treated with or without chemotherapy (n = 40 and 41, respectively; Mann-Whitney test). (P) Quantification of NETs in untreated or radiotherapy-treated (radio) 4T1 tumors (n = 6/group, Mann-Whitney test). (Q) Quantification of neutrophil xCell score (GSE59733) from paired pre- and post-radio breast tumors (n = 9 pairs, paired t test) (22). (R) GSEA reveals enrichment of NET formation pathway in post-radio tumors (GSE59733) (22). Schematic illustration in A and L is created with BioRender.com. Data represent mean ± SD (F, H–K, and P) and mean ± SEM (O). ****P < 0.0001, ***P < 0.001, **P < 0.01, *P < 0.05.

Copyright © 2026 American Society for Clinical Investigation
ISSN: 0021-9738 (print), 1558-8238 (online)

Sign up for email alerts