Go to JCI Insight
  • About
  • Editors
  • Consulting Editors
  • For authors
  • Publication ethics
  • Publication alerts by email
  • Advertising
  • Job board
  • Contact
  • Clinical Research and Public Health
  • Current issue
  • Past issues
  • By specialty
    • COVID-19
    • Cardiology
    • Gastroenterology
    • Immunology
    • Metabolism
    • Nephrology
    • Neuroscience
    • Oncology
    • Pulmonology
    • Vascular biology
    • All ...
  • Videos
    • Conversations with Giants in Medicine
    • Video Abstracts
  • Reviews
    • View all reviews ...
    • Clinical innovation and scientific progress in GLP-1 medicine (Nov 2025)
    • Pancreatic Cancer (Jul 2025)
    • Complement Biology and Therapeutics (May 2025)
    • Evolving insights into MASLD and MASH pathogenesis and treatment (Apr 2025)
    • Microbiome in Health and Disease (Feb 2025)
    • Substance Use Disorders (Oct 2024)
    • Clonal Hematopoiesis (Oct 2024)
    • View all review series ...
  • Viewpoint
  • Collections
    • In-Press Preview
    • Clinical Research and Public Health
    • Research Letters
    • Letters to the Editor
    • Editorials
    • Commentaries
    • Editor's notes
    • Reviews
    • Viewpoints
    • 100th anniversary
    • Top read articles

  • Current issue
  • Past issues
  • Specialties
  • Reviews
  • Review series
  • Conversations with Giants in Medicine
  • Video Abstracts
  • In-Press Preview
  • Clinical Research and Public Health
  • Research Letters
  • Letters to the Editor
  • Editorials
  • Commentaries
  • Editor's notes
  • Reviews
  • Viewpoints
  • 100th anniversary
  • Top read articles
  • About
  • Editors
  • Consulting Editors
  • For authors
  • Publication ethics
  • Publication alerts by email
  • Advertising
  • Job board
  • Contact
Targeting specific kinase substrates rescues increased colitis severity induced by the Crohn’s disease–linked LRRK2-N2081D variant
George R. Heaton, Xingjian Li, Xianting Li, Xiaoting Zhou, Yuanxi Zhang, Duc Tung Vu, Marc Oeller, Ozge Karayel, Quyen Q. Hoang, Meltem Ece Kars, Nitika Kamath, Minghui Wang, Leonid Tarassishin, Matthias Mann, Inga Peter, Zhenyu Yue
George R. Heaton, Xingjian Li, Xianting Li, Xiaoting Zhou, Yuanxi Zhang, Duc Tung Vu, Marc Oeller, Ozge Karayel, Quyen Q. Hoang, Meltem Ece Kars, Nitika Kamath, Minghui Wang, Leonid Tarassishin, Matthias Mann, Inga Peter, Zhenyu Yue
View: Text | PDF
Research Article Gastroenterology Genetics

Targeting specific kinase substrates rescues increased colitis severity induced by the Crohn’s disease–linked LRRK2-N2081D variant

  • Text
  • PDF
Abstract

LRRK2 contains a kinase domain where the N2081D Crohn’s disease (CD) risk and the G2019S Parkinson’s disease (PD) pathogenic variants are located. It is not clear how the N2081D variant increases CD risk or how these adjacent mutations give rise to distinct disorders. To investigate the pathophysiology of the CD-linked LRRK2 N2081D variant, we generated a knock-in (KI) mouse model and compared its effects with those of the LRRK2-G2019S mutation. Lrrk2N2081D KI mice demonstrated heightened sensitivity to induced colitis, resulting in more severe intestinal damage than in Lrrk2G2019S KI and WT mice. Analysis of colon tissue revealed distinct mutation-dependent LRRK2 RAB substrate phosphorylation, with significantly elevated phosphorylated RAB10 levels in Lrrk2N2081D mice. In cells, we demonstrated that the N2081D mutation activates LRRK2 through a mechanism distinct from that of LRRK2-G2019S. We also found that proinflammatory stimulation enhances LRRK2 kinase activity, leading to mutation-dependent differences in RAB phosphorylation and inflammatory responses in dendritic cells (DCs). Finally, we show that knockout of Rab12, but not pharmacological LRRK2 kinase inhibition, significantly reduced colitis severity in Lrrk2N2081D mice. Our study characterizes the pathogenic mechanisms of LRRK2-linked CD, highlights structural and functional differences between disease-associated LRRK2 variants, and suggests RAB proteins as promising therapeutic targets for modulating LRRK2 activity in CD treatment.

Authors

George R. Heaton, Xingjian Li, Xianting Li, Xiaoting Zhou, Yuanxi Zhang, Duc Tung Vu, Marc Oeller, Ozge Karayel, Quyen Q. Hoang, Meltem Ece Kars, Nitika Kamath, Minghui Wang, Leonid Tarassishin, Matthias Mann, Inga Peter, Zhenyu Yue

×

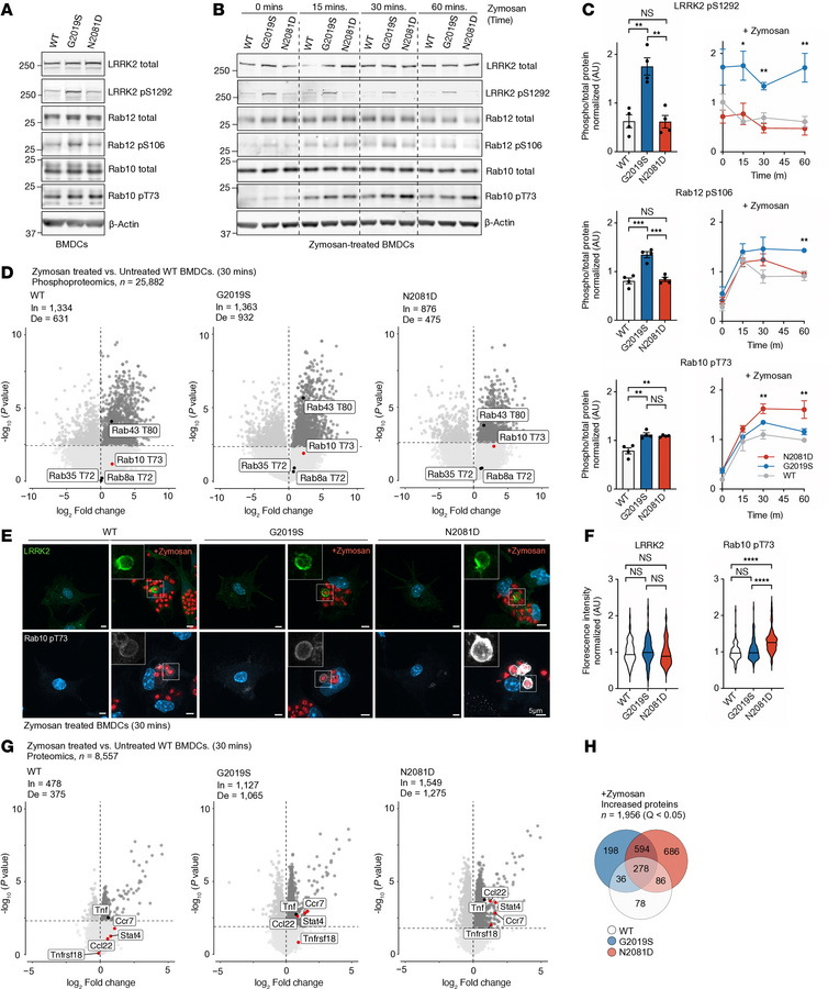
Figure 3

Activation of DCs induces LRRK2 mutation–dependent differences in RAB phosphorylation and inflammatory signaling.

Options: View larger image (or click on image) Download as PowerPoint
Activation of DCs induces LRRK2 mutation–dependent differences in RAB ph...
(A) Representative IB of untreated WT, G2019S, and N2081D BMDCs (n = 4 independent experiments). (B) Representative IB of WT, G2019S, and N2081D BMDCs treated with zymosan for 60 minutes (n = 4 independent experiments). (C) Quantification of IBs from untreated and zymosan-treated BMDCs. (D) Phosphoproteomics volcano plot of WT, G2019S, and N2081D BMDCs treated with zymosan for 30 minutes; established LRRK2-phosphorylated RABs are annotated. The horizontal dashed line indicates a q-value threshold of < 0.05. BMDC cultures were derived from 8 animals per genotype and 8 independent experiments. De, number of proteins with significantly decreased phosphorylation; In, number of proteins with significantly increased phosphorylation. (E) Confocal images of endogenous LRRK2 and phosphorylated RAB10 after 30 minutes of zymosan treatment. (F) Quantification of LRRK2 and RAB10 pT73 fluorescence intensity on the surface of ingested zymosan particles (LRRK2: n = 4; pRAB10: n = 5 independent experiments). (G) Proteomics volcano plot of WT, G2019S, and N2081D BMDCs treated with zymosan for 30 minutes. (H) Venn diagram showing significantly increased proteins after zymosan treatment for each genotype. One-way ANOVA with Tukey’s post hoc test was used for C and F. *P < 0.05, **P < 0.01, ***P < 0.001, ****P < 0.0001.

Copyright © 2026 American Society for Clinical Investigation
ISSN: 0021-9738 (print), 1558-8238 (online)

Sign up for email alerts