Go to JCI Insight
  • About
  • Editors
  • Consulting Editors
  • For authors
  • Publication ethics
  • Publication alerts by email
  • Advertising
  • Job board
  • Contact
  • Clinical Research and Public Health
  • Current issue
  • Past issues
  • By specialty
    • COVID-19
    • Cardiology
    • Gastroenterology
    • Immunology
    • Metabolism
    • Nephrology
    • Neuroscience
    • Oncology
    • Pulmonology
    • Vascular biology
    • All ...
  • Videos
    • Conversations with Giants in Medicine
    • Video Abstracts
  • Reviews
    • View all reviews ...
    • Pancreatic Cancer (Jul 2025)
    • Complement Biology and Therapeutics (May 2025)
    • Evolving insights into MASLD and MASH pathogenesis and treatment (Apr 2025)
    • Microbiome in Health and Disease (Feb 2025)
    • Substance Use Disorders (Oct 2024)
    • Clonal Hematopoiesis (Oct 2024)
    • Sex Differences in Medicine (Sep 2024)
    • View all review series ...
  • Viewpoint
  • Collections
    • In-Press Preview
    • Clinical Research and Public Health
    • Research Letters
    • Letters to the Editor
    • Editorials
    • Commentaries
    • Editor's notes
    • Reviews
    • Viewpoints
    • 100th anniversary
    • Top read articles

  • Current issue
  • Past issues
  • Specialties
  • Reviews
  • Review series
  • Conversations with Giants in Medicine
  • Video Abstracts
  • In-Press Preview
  • Clinical Research and Public Health
  • Research Letters
  • Letters to the Editor
  • Editorials
  • Commentaries
  • Editor's notes
  • Reviews
  • Viewpoints
  • 100th anniversary
  • Top read articles
  • About
  • Editors
  • Consulting Editors
  • For authors
  • Publication ethics
  • Publication alerts by email
  • Advertising
  • Job board
  • Contact
Cancer-associated SPOP mutations enlarge nuclear size and facilitate nuclear envelope rupture upon farnesyltransferase inhibitor treatment
Zixi Wang, … , Jian Ma, Lei Li
Zixi Wang, … , Jian Ma, Lei Li
Published July 15, 2025
Citation Information: J Clin Invest. 2025;135(14):e189048. https://doi.org/10.1172/JCI189048.
View: Text | PDF
Research Article Cell biology

Cancer-associated SPOP mutations enlarge nuclear size and facilitate nuclear envelope rupture upon farnesyltransferase inhibitor treatment

  • Text
  • PDF
Abstract

Nuclear size is crucial for cellular functions and often increases with malignancy. Irregular nuclei are linked to aggressive tumors, driven by genetic and epigenetic changes. However, the precise mechanisms controlling nuclear size are still not fully understood. In this study, we demonstrated that cancer-associated speckle-type POZ protein (SPOP) mutations enlarged nuclear size by reducing the protein level of lamin B2 (LMNB2), a key nuclear integrity protein. Mechanistically, SPOP bound to LMNB2 and promoted its mono-ubiquitination at lysine-484, which protected it from degradation by the E3 ubiquitin ligase WD repeat domain 26. SPOP mutations disrupted this process, leading to reduced LMNB2 levels and impaired nuclear envelope (NE) integrity. This compromised NE was more vulnerable to damage from farnesyltransferase inhibitors (FTIs), causing nuclear rupture in SPOP-mutant tumor cells. This study identified SPOP as a positive regulator of nuclear size; the findings suggest tumors with SPOP mutations may be vulnerable to FTI-based therapies.

Authors

Zixi Wang, Lei Li, Qi Ye, Yuzeshi Lei, Mingming Lu, Leihong Ye, Jialu Kang, Wenyue Huang, Shan Xu, Ke Wang, Jing Liu, Yang Gao, Chenji Wang, Jian Ma, Lei Li

×

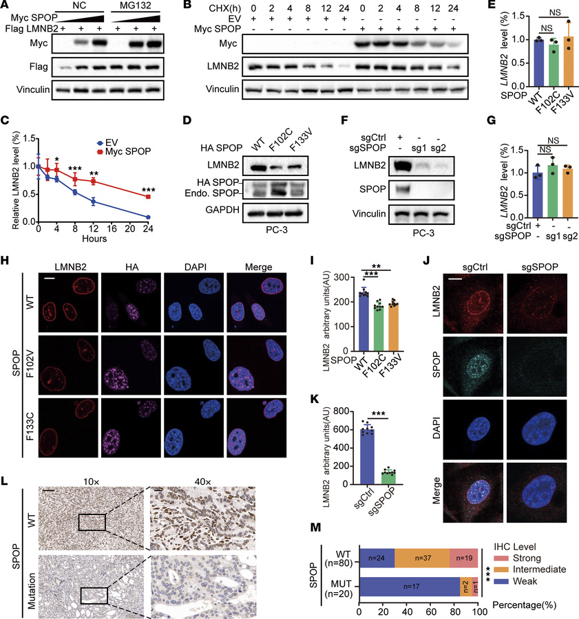
Figure 2

SPOP mutation impairs LMNB2 protein levels.

Options: View larger image (or click on image) Download as PowerPoint
SPOP mutation impairs LMNB2 protein levels.
(A) IB analysis of whole-cel...
(A) IB analysis of whole-cell lysates (WCLs) derived from 293T cells with indicated plasmids. DMSO or 10 μM MG132 was added for 12 hours before harvest. (B and C) IB analysis (B) and quantification (C) of LMNB2 protein in WCLs from 293T cells transfected with or without SPOP after cycloheximide treatment. Data are shown as the mean ± SD of 3 biological replicates (n = 3). (D–G) IB analysis of WCL derived from PC-3 cells infected with lentivirus expressing WT, F102C or F133V SPOP (D) and PC-3 control and SPOP knockout cells (F). The LMNB2 RNA levels are shown in (E) and (G). Data are shown as the mean ± SD of 3 independent experiments (n = 3). (H and I) PC-3 cells infected with lentivirus expressing HA-WT, F102C, or F133V SPOP were subjected to IF. Representative images are shown in (H) and quantification in (I). Scale bar: 10 μm. Data are reported as the mean ± SD of 10 fields (>200 cells; n = 10) from 3 biological replicates. (J and K) PC-3 control and SPOP knockout cells were subjected to IF; representative images are shown in (J) and quantification in (K). Scale bar: 10 μm. Data are reported as the mean ± SD of 10 fields (>200 cells; n = 10) of 3 biological replicates. (L and M) Representative images of IHC staining (L) of LMNB2 antibodies on prostate cancer specimens from SPOP WT (n = 80) and SPOP MUT (n = 20) groups. The distribution of LMNB2 IHC levels is shown in (M). Scale bar: 200 μm in ×10 fields; 40 μm in ×40 fields. **P < 0.01 and ***P < 0.001 by 2-way ANOVA followed by Tukey’s multiple comparisons test (C) or 1-way ANOVA followed by Dunnett’s multiple comparisons test (E, G, and I) or 2-tailed unpaired Student’s t test (K) or Fisher’s exact test (M).

Copyright © 2025 American Society for Clinical Investigation
ISSN: 0021-9738 (print), 1558-8238 (online)

Sign up for email alerts