Go to JCI Insight
  • About
  • Editors
  • Consulting Editors
  • For authors
  • Publication ethics
  • Publication alerts by email
  • Advertising
  • Job board
  • Contact
  • Clinical Research and Public Health
  • Current issue
  • Past issues
  • By specialty
    • COVID-19
    • Cardiology
    • Gastroenterology
    • Immunology
    • Metabolism
    • Nephrology
    • Neuroscience
    • Oncology
    • Pulmonology
    • Vascular biology
    • All ...
  • Videos
    • ASCI Milestone Awards
    • Video Abstracts
    • Conversations with Giants in Medicine
  • Reviews
    • View all reviews ...
    • Clinical innovation and scientific progress in GLP-1 medicine (Nov 2025)
    • Pancreatic Cancer (Jul 2025)
    • Complement Biology and Therapeutics (May 2025)
    • Evolving insights into MASLD and MASH pathogenesis and treatment (Apr 2025)
    • Microbiome in Health and Disease (Feb 2025)
    • Substance Use Disorders (Oct 2024)
    • Clonal Hematopoiesis (Oct 2024)
    • View all review series ...
  • Viewpoint
  • Collections
    • In-Press Preview
    • Clinical Research and Public Health
    • Research Letters
    • Letters to the Editor
    • Editorials
    • Commentaries
    • Editor's notes
    • Reviews
    • Viewpoints
    • 100th anniversary
    • Top read articles

  • Current issue
  • Past issues
  • Specialties
  • Reviews
  • Review series
  • ASCI Milestone Awards
  • Video Abstracts
  • Conversations with Giants in Medicine
  • In-Press Preview
  • Clinical Research and Public Health
  • Research Letters
  • Letters to the Editor
  • Editorials
  • Commentaries
  • Editor's notes
  • Reviews
  • Viewpoints
  • 100th anniversary
  • Top read articles
  • About
  • Editors
  • Consulting Editors
  • For authors
  • Publication ethics
  • Publication alerts by email
  • Advertising
  • Job board
  • Contact
T cell acute lymphoblastic leukemia exploits a neural proinflammatory pathway to colonize the meninges
Nitesh D. Sharma, Esra’a Keewan, Wojciech Ornatowski, Silpita Paul, Monique Nysus, Christopher C. Barnett, Julie Wolfson, Quiteria Jacquez, Bianca L. Myers, Huining Kang, Katherine E. Zychowski, Stuart S. Winter, Mignon L. Loh, Stephen P. Hunger, Eliseo F. Castillo, Tom Taghon, Christina Halsey, Tou Yia Vue, Nicholas Jones, Panagiotis Ntziachristos, Ksenia Matlawska-Wasowska
Nitesh D. Sharma, Esra’a Keewan, Wojciech Ornatowski, Silpita Paul, Monique Nysus, Christopher C. Barnett, Julie Wolfson, Quiteria Jacquez, Bianca L. Myers, Huining Kang, Katherine E. Zychowski, Stuart S. Winter, Mignon L. Loh, Stephen P. Hunger, Eliseo F. Castillo, Tom Taghon, Christina Halsey, Tou Yia Vue, Nicholas Jones, Panagiotis Ntziachristos, Ksenia Matlawska-Wasowska
View: Text | PDF
Research Article Inflammation Oncology

T cell acute lymphoblastic leukemia exploits a neural proinflammatory pathway to colonize the meninges

  • Text
  • PDF
Abstract

Infiltration of T cell acute lymphoblastic leukemia (T-ALL) into the meninges worsens prognosis, underscoring the need to understand mechanisms driving meningeal involvement. Here, we show that T-ALL cells expressing CXCR3 exploit normal T cell function to infiltrate the inflamed meninges. CXCR3 deletion hampered disease progression and extramedullary dissemination by reducing leukemic cell proliferation and migration. Conversely, forced expression of CXCR3 facilitated T-ALL trafficking to the meninges. We identified the ubiquitin-specific protease 7 as a key regulator of CXCR3 protein stability in T-ALL. Furthermore, we discovered elevated levels of CXCL10, a CXCR3 ligand, in the cerebrospinal fluid from patients with T-ALL and leukemia-bearing mice. Our studies demonstrate that meningeal stromal cells, specifically pericytes and fibroblasts, induce CXCL10 expression in response to leukemia and that loss of CXCL10 attenuated T-ALL influx into the meninges. Moreover, we report that leukemia-derived proinflammatory cytokines, TNF-α, IL-27, and IFN-γ, induced CXCL10 in the meningeal stroma. Pharmacological inhibition or deletion of CXCR3 or CXCL10 reduced T-ALL cell migration and adhesion to meningeal stromal cells. Finally, we reveal that CXCR3 and CXCL10 upregulated VLA-4/VCAM-1 signaling, promoting cell-cell adhesion and thus T-ALL retention in the meninges. Our findings highlight the pivotal role of CXCR3-CXCL10 signaling in T-ALL progression and meningeal colonization.

Authors

Nitesh D. Sharma, Esra’a Keewan, Wojciech Ornatowski, Silpita Paul, Monique Nysus, Christopher C. Barnett, Julie Wolfson, Quiteria Jacquez, Bianca L. Myers, Huining Kang, Katherine E. Zychowski, Stuart S. Winter, Mignon L. Loh, Stephen P. Hunger, Eliseo F. Castillo, Tom Taghon, Christina Halsey, Tou Yia Vue, Nicholas Jones, Panagiotis Ntziachristos, Ksenia Matlawska-Wasowska

×

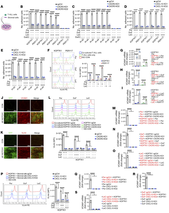
Figure 7

CXCL10-CXCR3 regulates T-ALL-meningeal stroma cell-cell adhesion.

Options: View larger image (or click on image) Download as PowerPoint
CXCL10-CXCR3 regulates T-ALL-meningeal stroma cell-cell adhesion.
(A) A ...
(A) A graphic of T-ALL and meningeal stromal cell coculture. The effect of CRISPR/Cas9-mediated knockout of CXCR3 (CXCR3 KO1, CXCR3 KO2, sgRNAs targeting CXCR3; SgCtrl, negative control) in (B) T-ALL cell lines (KOPTK1, PER117), (C) primary T-ALL cells (Pt #2, Pt #4), and (D and E) CXCL10 knockout (CXCL10 KO1, CXCL10 KO2, sgRNAs targeting CXCL10; SgCtrl, negative control) in primary human meningeal stromal cells (Per, pericytes; DuF, dural fibroblasts; LeC, leptomeningeal cells, DuEC, dural endothelial cells) on leukemic-stromal cell-cell adhesion (6h). (F) VLA-4 on KOPTK1 and PER117 cocultured with meningeal stroma (Per, DuF, LeC). Representative histograms (left); MFI ± SD, 3 separate experiments (right). (G–I), VCAM1 mRNA in T-ALL cells cultured alone (KOPTK1, PER117), stromal cells cultured alone (Per, DuF, LeC), cocultured T-ALL cells (red font), or cocultured stromal cells (red font) (6h). Immunolabeling of whole meninges from T-ALL (ΔE-NOTCH1) and negative control (CON) mice; (J) VCAM1 (red), (K) VLA4 (red), GFP-expressing T-ALL cells (green) (n = 3/group). Scale bars: 50 μm. (L) VLA-4 in KOPTK1 carrying CXCR3 knockout (CXCR3 KO1, CXCR3 KO2,) and control cells (SgCtrl) cultured with/without meningeal stromal cells. Representative histograms (top); MFI ± SD, 3 separate experiments (bottom). (M–O) VCAM1 mRNA in mKOPTK1 (with/without CXCR3 knockout) cocultured with meningeal stromal cells. The cells were sorted after 6 hours of coincubation, followed by VCAM1 expression in the specified cells (red font). (P) VLA-4 in KOPTK1 cells cocultured with stromal cells (Per, DuF, LeC) (6h) upon CXCL10 knockout. Representative histograms (left); MFI ± SD, 3 separate experiments (right). (Q–S) VCAM1 mRNA in meningeal stromal cells (with/without CXCL10 knockout) cultured alone or cocultured (red font) with KOPTK1 cells. (B–I and L–S) Mean ± SD, 3 separate experiments. Two-way ANOVA with Tukey’s multiple comparison test; ****P < 0.0001.

Copyright © 2026 American Society for Clinical Investigation
ISSN: 0021-9738 (print), 1558-8238 (online)

Sign up for email alerts