Go to JCI Insight
  • About
  • Editors
  • Consulting Editors
  • For authors
  • Publication ethics
  • Publication alerts by email
  • Advertising
  • Job board
  • Contact
  • Clinical Research and Public Health
  • Current issue
  • Past issues
  • By specialty
    • COVID-19
    • Cardiology
    • Gastroenterology
    • Immunology
    • Metabolism
    • Nephrology
    • Neuroscience
    • Oncology
    • Pulmonology
    • Vascular biology
    • All ...
  • Videos
    • ASCI Milestone Awards
    • Video Abstracts
    • Conversations with Giants in Medicine
  • Reviews
    • View all reviews ...
    • Neurodegeneration (Mar 2026)
    • Clinical innovation and scientific progress in GLP-1 medicine (Nov 2025)
    • Pancreatic Cancer (Jul 2025)
    • Complement Biology and Therapeutics (May 2025)
    • Evolving insights into MASLD and MASH pathogenesis and treatment (Apr 2025)
    • Microbiome in Health and Disease (Feb 2025)
    • Substance Use Disorders (Oct 2024)
    • View all review series ...
  • Viewpoint
  • Collections
    • In-Press Preview
    • Clinical Research and Public Health
    • Research Letters
    • Letters to the Editor
    • Editorials
    • Commentaries
    • Editor's notes
    • Reviews
    • Viewpoints
    • 100th anniversary
    • Top read articles

  • Current issue
  • Past issues
  • Specialties
  • Reviews
  • Review series
  • ASCI Milestone Awards
  • Video Abstracts
  • Conversations with Giants in Medicine
  • In-Press Preview
  • Clinical Research and Public Health
  • Research Letters
  • Letters to the Editor
  • Editorials
  • Commentaries
  • Editor's notes
  • Reviews
  • Viewpoints
  • 100th anniversary
  • Top read articles
  • About
  • Editors
  • Consulting Editors
  • For authors
  • Publication ethics
  • Publication alerts by email
  • Advertising
  • Job board
  • Contact
Kidney-specific WNK1 amplifies kidney tubule responsiveness to potassium via WNK body condensates
Cary R. Boyd-Shiwarski, Rebecca T. Beacham, Jared A. Lashway, Katherine E. Querry, Shawn E. Griffiths, Daniel J. Shiwarski, Sophia A. Knoell, Nga H. Nguyen, Lubika J. Nkashama, Melissa N. Valladares, Anagha Bandaru, Allison L. Marciszyn, Jonathan Franks, Mara Sullivan, Simon C. Watkins, Aylin R. Rodan, Chou-Long Huang, Sean D. Stocker, Ossama B. Kashlan, Arohan R. Subramanya
Cary R. Boyd-Shiwarski, Rebecca T. Beacham, Jared A. Lashway, Katherine E. Querry, Shawn E. Griffiths, Daniel J. Shiwarski, Sophia A. Knoell, Nga H. Nguyen, Lubika J. Nkashama, Melissa N. Valladares, Anagha Bandaru, Allison L. Marciszyn, Jonathan Franks, Mara Sullivan, Simon C. Watkins, Aylin R. Rodan, Chou-Long Huang, Sean D. Stocker, Ossama B. Kashlan, Arohan R. Subramanya
View: Text | PDF
Research Article Cell biology Nephrology

Kidney-specific WNK1 amplifies kidney tubule responsiveness to potassium via WNK body condensates

  • Text
  • PDF
Abstract

To maintain potassium homeostasis, the kidney’s distal convoluted tubule (DCT) evolved to convert small changes in blood [K+] into robust effects on salt reabsorption. This process requires NaCl cotransporter (NCC) activation by the with-no-lysine (WNK) kinases. During hypokalemia, the kidney-specific WNK1 isoform (KS-WNK1) scaffolds the DCT-expressed WNK signaling pathway within biomolecular condensates of unknown function termed WNK bodies. Here, we show that KS-WNK1 amplified kidney tubule reactivity to blood [K+], in part via WNK bodies. In genetically modified mice, targeted condensate disruption trapped the WNK pathway, causing renal salt wasting that was more pronounced in females. In humans, WNK bodies accumulated as plasma potassium fell below 4.0 mmol/L, suggesting that the human DCT experiences the stress of potassium deficiency, even when [K+] is in the low-to-normal range. These data identify WNK bodies as kinase signal amplifiers that mediate tubular [K+] responsiveness, nephron sexual dimorphism, and BP salt sensitivity. Our results illustrate how biomolecular condensate specialization can optimize a mammalian physiologic stress response that impacts human health.

Authors

Cary R. Boyd-Shiwarski, Rebecca T. Beacham, Jared A. Lashway, Katherine E. Querry, Shawn E. Griffiths, Daniel J. Shiwarski, Sophia A. Knoell, Nga H. Nguyen, Lubika J. Nkashama, Melissa N. Valladares, Anagha Bandaru, Allison L. Marciszyn, Jonathan Franks, Mara Sullivan, Simon C. Watkins, Aylin R. Rodan, Chou-Long Huang, Sean D. Stocker, Ossama B. Kashlan, Arohan R. Subramanya

×

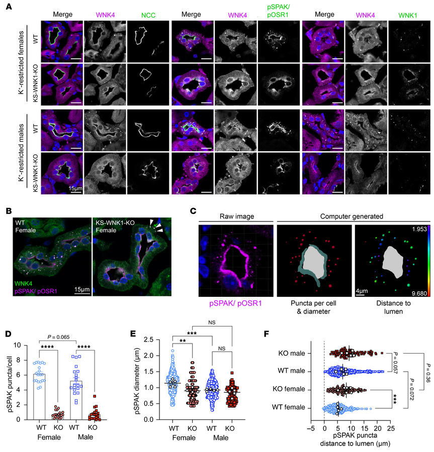
Figure 6

K+-restricted WT and KS-WNK1–KO mice exhibit sex differences in WNK body expression.

Options: View larger image (or click on image) Download as PowerPoint
K+-restricted WT and KS-WNK1–KO mice exhibit sex differences in WNK body...
(A) IF of kidney sections from WT or KS-WNK1–KO mice treated with low K+ diet for 10 days. DCTs were identified by NCC costaining and morphology. WNK4, pSPAK/pOSR1, and WNK1 antibodies colocalized within puncta in WT mice, whereas puncta were nearly absent in KS-WNK1–KO mice (duplicate bottom left image with Figure 1C). Scale bars: 15 μm. (B) WNK body formation in female WT and KS-WNK1–KO mice. Cytosolic puncta are largely absent in KS-WNK1–KO mice, though pSPAK/pOSR1 apical staining is present. Rarely, mislocalized basolateral puncta containing pSPAK/pOSR1 and WNK4 were observed (arrowheads). Scale bar: 15 μm. (C) Imaris was used to quantify WNK body number and size (middle) and distance to lumen (right) from raw confocal IF images of pSPAK/pOSR1 puncta (left). Scale bar: 4 μm. (D–F) Quantification of pSPAK/pOSR1. (D) Puncta per cell (20 tubules per condition), (E) puncta diameter (5 tubules per condition), and (F) distance to apical lumen in female and male mice (5 tubules per condition). Two-way ANOVA with Šídák’s multiple comparison, *P ≤ 0.05, **P ≤ 0.01, ***P ≤ 0.001, ****P ≤ 0.0001.

Copyright © 2026 American Society for Clinical Investigation
ISSN: 0021-9738 (print), 1558-8238 (online)

Sign up for email alerts