Go to JCI Insight
  • About
  • Editors
  • Consulting Editors
  • For authors
  • Publication ethics
  • Publication alerts by email
  • Advertising
  • Job board
  • Contact
  • Clinical Research and Public Health
  • Current issue
  • Past issues
  • By specialty
    • COVID-19
    • Cardiology
    • Gastroenterology
    • Immunology
    • Metabolism
    • Nephrology
    • Neuroscience
    • Oncology
    • Pulmonology
    • Vascular biology
    • All ...
  • Videos
    • ASCI Milestone Awards
    • Video Abstracts
    • Conversations with Giants in Medicine
  • Reviews
    • View all reviews ...
    • Clinical innovation and scientific progress in GLP-1 medicine (Nov 2025)
    • Pancreatic Cancer (Jul 2025)
    • Complement Biology and Therapeutics (May 2025)
    • Evolving insights into MASLD and MASH pathogenesis and treatment (Apr 2025)
    • Microbiome in Health and Disease (Feb 2025)
    • Substance Use Disorders (Oct 2024)
    • Clonal Hematopoiesis (Oct 2024)
    • View all review series ...
  • Viewpoint
  • Collections
    • In-Press Preview
    • Clinical Research and Public Health
    • Research Letters
    • Letters to the Editor
    • Editorials
    • Commentaries
    • Editor's notes
    • Reviews
    • Viewpoints
    • 100th anniversary
    • Top read articles

  • Current issue
  • Past issues
  • Specialties
  • Reviews
  • Review series
  • ASCI Milestone Awards
  • Video Abstracts
  • Conversations with Giants in Medicine
  • In-Press Preview
  • Clinical Research and Public Health
  • Research Letters
  • Letters to the Editor
  • Editorials
  • Commentaries
  • Editor's notes
  • Reviews
  • Viewpoints
  • 100th anniversary
  • Top read articles
  • About
  • Editors
  • Consulting Editors
  • For authors
  • Publication ethics
  • Publication alerts by email
  • Advertising
  • Job board
  • Contact
Beclin 1 prevents ISG15-mediated cytokine storms to secure fetal hematopoiesis and survival
Wen Wei, Xueqin Gao, Jiawei Qian, Lei Li, Chen Zhao, Li Xu, Yanfei Zhu, Zhenzhen Liu, Nengrong Liu, Xueqing Wang, Zhicong Jin, Bowen Liu, Lan Xu, Jin Dong, Suping Zhang, Jiarong Wang, Yumu Zhang, Yao Yu, Zhanjun Yan, Yanjun Yang, Jie Lu, Yixuan Fang, Na Yuan, Jianrong Wang
Wen Wei, Xueqin Gao, Jiawei Qian, Lei Li, Chen Zhao, Li Xu, Yanfei Zhu, Zhenzhen Liu, Nengrong Liu, Xueqing Wang, Zhicong Jin, Bowen Liu, Lan Xu, Jin Dong, Suping Zhang, Jiarong Wang, Yumu Zhang, Yao Yu, Zhanjun Yan, Yanjun Yang, Jie Lu, Yixuan Fang, Na Yuan, Jianrong Wang
View: Text | PDF
Research Article Hematology Immunology

Beclin 1 prevents ISG15-mediated cytokine storms to secure fetal hematopoiesis and survival

  • Text
  • PDF
Abstract

Proper control of inflammatory responses is essential for embryonic development, but the underlying mechanism is poorly understood. Here, we show that under physiological conditions, inactivation of ISG15, an inflammation amplifier, is associated with the interaction of Beclin 1 (Becn1), via its evolutionarily conserved domain, with STAT3 in the major fetal hematopoietic organ of mice. Conditional loss of Becn1 caused sequential dysfunction and exhaustion of fetal liver hematopoietic stem cells, leading to lethal inflammatory cell–biased hematopoiesis in the fetus. Molecularly, the absence of Becn1 resulted in the release of STAT3 from Becn1 tethering and subsequent phosphorylation and translocation to the nucleus, which in turn directly activated the transcription of ISG15 in fetal liver hematopoietic cells, coupled with increased ISGylation and production of inflammatory cytokines, whereas inactivating STAT3 reduced ISG15 transcription and inflammation but improved hematopoiesis potential, and further silencing ISG15 mitigated the above collapse in the Becn1-null hematopoietic lineage. The Becn1/STAT3/ISG15 axis remains functional in autophagy-disrupted fetal hematopoietic organs. These results suggest that Becn1, in an autophagy-independent manner, secures hematopoiesis and survival of the fetus by directly inhibiting STAT3/ISG15 activation to prevent cytokine storms. Our findings highlight a previously undocumented role of Becn1 in governing ISG15 to safeguard the fetus.

Authors

Wen Wei, Xueqin Gao, Jiawei Qian, Lei Li, Chen Zhao, Li Xu, Yanfei Zhu, Zhenzhen Liu, Nengrong Liu, Xueqing Wang, Zhicong Jin, Bowen Liu, Lan Xu, Jin Dong, Suping Zhang, Jiarong Wang, Yumu Zhang, Yao Yu, Zhanjun Yan, Yanjun Yang, Jie Lu, Yixuan Fang, Na Yuan, Jianrong Wang

×

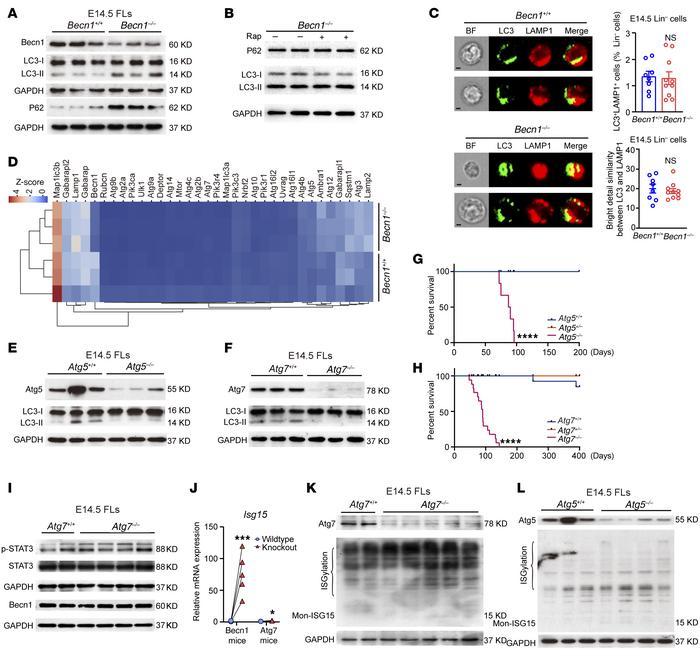
Figure 9

Deletion of Becn1 impairs autophagy, but STAT3/ISG15 signaling is not activated in Atg5/7-deleted fetal liver hematopoietic cells.

Options: View larger image (or click on image) Download as PowerPoint
Deletion of Becn1 impairs autophagy, but STAT3/ISG15 signaling is not ac...
(A and B) Western blotting analysis of LC3 and P62 levels in E14.5 Becn1+/+ and Becn1–/– FLCs with or without 100 nmol/L rapamycin. (C) Autolysosome formation was measured by image flow cytometry for double staining of LC3 and LAMP1 with fetal liver Lin– cells. Autolysosome formation was represented by the colocalization of LC3 and the lysosomal marker LAMP1. Left: Representative flow images. Right: Results of flow image statistical analysis. Scale bars: 2.5 μm. n = 8–10. (D) Heatmap of autophagy-related genes from the E14.5 HSPC transcriptome. (E and F) Western blotting analysis of LC3 in E14.5 Atg5/7+/+ and Atg5/7–/– FLCs. (G and H) Survival curves of the Atg5/7+/+, Atg5/7+/–, and Atg5/7–/– mice. Log-rank test. n = 3–17. (I) p-STAT3, STAT3, and Becn1 levels were detected via Western blotting in E14.5 Atg7+/+ and Atg7–/– FLCs. (J) Real-time qPCR analysis of Isg15 expression in E14.5 fetal livers from Becn1fl/fl Vav-iCre mice (n = 5) and Atg7fl/fl Vav-iCre mice (n = 3). (K and L) Western blotting analysis of ISG15 levels in E14.5 fetal livers from Atg7fl/fl Vav-iCre mice or from Atg5fl/fl Vav-iCre mice. *P < 0.05; ***P < 0.001; ****P < 0.0001. Unpaired 2-tailed Student’s t test. Data represent the mean ± SEM.

Copyright © 2026 American Society for Clinical Investigation
ISSN: 0021-9738 (print), 1558-8238 (online)

Sign up for email alerts