Go to JCI Insight
  • About
  • Editors
  • Consulting Editors
  • For authors
  • Publication ethics
  • Publication alerts by email
  • Advertising
  • Job board
  • Contact
  • Clinical Research and Public Health
  • Current issue
  • Past issues
  • By specialty
    • COVID-19
    • Cardiology
    • Gastroenterology
    • Immunology
    • Metabolism
    • Nephrology
    • Neuroscience
    • Oncology
    • Pulmonology
    • Vascular biology
    • All ...
  • Videos
    • ASCI Milestone Awards
    • Video Abstracts
    • Conversations with Giants in Medicine
  • Reviews
    • View all reviews ...
    • Clinical innovation and scientific progress in GLP-1 medicine (Nov 2025)
    • Pancreatic Cancer (Jul 2025)
    • Complement Biology and Therapeutics (May 2025)
    • Evolving insights into MASLD and MASH pathogenesis and treatment (Apr 2025)
    • Microbiome in Health and Disease (Feb 2025)
    • Substance Use Disorders (Oct 2024)
    • Clonal Hematopoiesis (Oct 2024)
    • View all review series ...
  • Viewpoint
  • Collections
    • In-Press Preview
    • Clinical Research and Public Health
    • Research Letters
    • Letters to the Editor
    • Editorials
    • Commentaries
    • Editor's notes
    • Reviews
    • Viewpoints
    • 100th anniversary
    • Top read articles

  • Current issue
  • Past issues
  • Specialties
  • Reviews
  • Review series
  • ASCI Milestone Awards
  • Video Abstracts
  • Conversations with Giants in Medicine
  • In-Press Preview
  • Clinical Research and Public Health
  • Research Letters
  • Letters to the Editor
  • Editorials
  • Commentaries
  • Editor's notes
  • Reviews
  • Viewpoints
  • 100th anniversary
  • Top read articles
  • About
  • Editors
  • Consulting Editors
  • For authors
  • Publication ethics
  • Publication alerts by email
  • Advertising
  • Job board
  • Contact
Small-molecule modulators of B56-PP2A restore 4E-BP function to suppress eIF4E-dependent translation in cancer cells
Michelle A. Lum, Kayla A. Jonas, Shreya Parmar, Adrian R. Black, Caitlin M. O’Connor, Stephanie Dobersch, Naomi Yamamoto, Tess M. Robertson, Aidan Schutter, Miranda Giambi, Rita A. Avelar, Analisa DiFeo, Nicholas T. Woods, Sita Kugel, Goutham Narla, Jennifer D. Black
Michelle A. Lum, Kayla A. Jonas, Shreya Parmar, Adrian R. Black, Caitlin M. O’Connor, Stephanie Dobersch, Naomi Yamamoto, Tess M. Robertson, Aidan Schutter, Miranda Giambi, Rita A. Avelar, Analisa DiFeo, Nicholas T. Woods, Sita Kugel, Goutham Narla, Jennifer D. Black
View: Text | PDF
Research Article Cell biology Oncology

Small-molecule modulators of B56-PP2A restore 4E-BP function to suppress eIF4E-dependent translation in cancer cells

  • Text
  • PDF
Abstract

Dysregulated eIF4E-dependent translation is a central driver of tumorigenesis and therapy resistance. eIF4E-binding proteins (4E-BP1/2/3) are major negative regulators of eIF4E-dependent translation that are inactivated in tumors through inhibitory phosphorylation or downregulation. Previous studies have linked PP2A phosphatase(s) to activation of 4E-BP1. Here, we leveraged biased small-molecule activators of PP2A (SMAPs) to explore the role of B56-PP2A(s) in 4E-BP regulation and the potential of B56-PP2A activation for restoring translational control in tumors. SMAP treatment promoted PP2A-dependent hypophosphorylation of 4E-BP1/2, supporting a role for B56-PP2As (e.g., B56α-PP2A) as 4E-BP phosphatases. Unexpectedly, SMAPs induced transcriptional upregulation of 4E-BP1 through a B56-PP2A→TFE3/TFEB→ATF4 axis. Cap-binding and coimmunoprecipitation assays showed that B56-PP2A(s) activation blocks assembly of the eIF4F translation initiation complex, and cap-dependent translation assays confirmed the translation-inhibitory effects of SMAPs. Thus, B56-PP2A(s) orchestrate a translation-repressive program involving transcriptional induction and activation of 4E-BP1. Notably, SMAPs promoted 4E-BP1–dependent apoptosis in tumor cells and potentiated 4E-BP1 function in the presence of ERK or mTOR inhibitors, agents that rely on inhibition of eIF4E-dependent translation for antitumor activity. These findings, combined with the ability of SMAPs to regulate 4E-BP1 in vivo, highlight the potential of PP2A activators for cancer therapy and overcoming therapy resistance.

Authors

Michelle A. Lum, Kayla A. Jonas, Shreya Parmar, Adrian R. Black, Caitlin M. O’Connor, Stephanie Dobersch, Naomi Yamamoto, Tess M. Robertson, Aidan Schutter, Miranda Giambi, Rita A. Avelar, Analisa DiFeo, Nicholas T. Woods, Sita Kugel, Goutham Narla, Jennifer D. Black

×

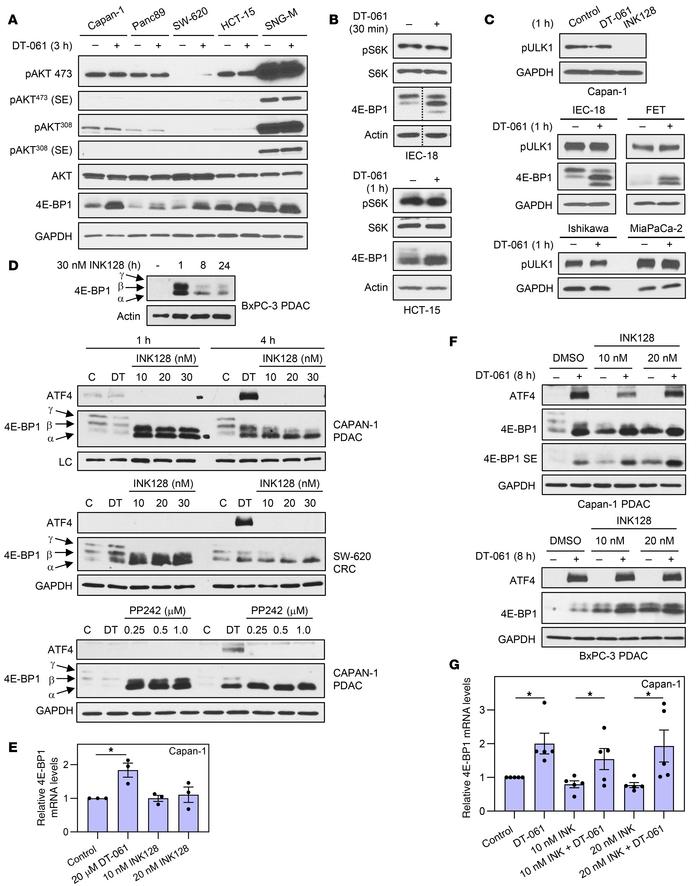
Figure 11

Inhibition of AKT/mTOR signaling does not account for effects of SMAP/B56-PP2A on 4E-BP1.

Options: View larger image (or click on image) Download as PowerPoint
Inhibition of AKT/mTOR signaling does not account for effects of SMAP/B5...
(A–C) Cells were treated with vehicle, 20 μM DT-061, or INK128 for the indicated times before immunoblot analysis. pAKT, AKT phosphorylated on Ser473 or Thr308 as indicated; pS6K, S6 kinase phosphorylated on Thr389; pULK1, ULK1 phosphorylated on Ser757; SE, shorter exposure. (D and F) Immunoblot analysis of cells treated with DT-061 or 10–30 nM INK128 for the indicated times (D) or pretreated (30 minutes) with the indicated concentrations of INK128 before addition of DT-061 for 4 hours (F). (E and G) RT-qPCR analysis of 4E-BP1 mRNA levels (expressed relative to 18S rRNA and normalized to control) in cells treated as in D and F. Immunoblot data are representative of 3 or more independent experiments. Graphical data are averages (± SEM) of 3 (E) or 5 (G) independent experiments. *P < 0.05 for increase induced by DT-061 (Holm-Bonferroni–adjusted 1-sided Student’s t test).

Copyright © 2026 American Society for Clinical Investigation
ISSN: 0021-9738 (print), 1558-8238 (online)

Sign up for email alerts