Go to JCI Insight
  • About
  • Editors
  • Consulting Editors
  • For authors
  • Publication ethics
  • Publication alerts by email
  • Advertising
  • Job board
  • Contact
  • Clinical Research and Public Health
  • Current issue
  • Past issues
  • By specialty
    • COVID-19
    • Cardiology
    • Gastroenterology
    • Immunology
    • Metabolism
    • Nephrology
    • Neuroscience
    • Oncology
    • Pulmonology
    • Vascular biology
    • All ...
  • Videos
    • ASCI Milestone Awards
    • Video Abstracts
    • Conversations with Giants in Medicine
  • Reviews
    • View all reviews ...
    • Clinical innovation and scientific progress in GLP-1 medicine (Nov 2025)
    • Pancreatic Cancer (Jul 2025)
    • Complement Biology and Therapeutics (May 2025)
    • Evolving insights into MASLD and MASH pathogenesis and treatment (Apr 2025)
    • Microbiome in Health and Disease (Feb 2025)
    • Substance Use Disorders (Oct 2024)
    • Clonal Hematopoiesis (Oct 2024)
    • View all review series ...
  • Viewpoint
  • Collections
    • In-Press Preview
    • Clinical Research and Public Health
    • Research Letters
    • Letters to the Editor
    • Editorials
    • Commentaries
    • Editor's notes
    • Reviews
    • Viewpoints
    • 100th anniversary
    • Top read articles

  • Current issue
  • Past issues
  • Specialties
  • Reviews
  • Review series
  • ASCI Milestone Awards
  • Video Abstracts
  • Conversations with Giants in Medicine
  • In-Press Preview
  • Clinical Research and Public Health
  • Research Letters
  • Letters to the Editor
  • Editorials
  • Commentaries
  • Editor's notes
  • Reviews
  • Viewpoints
  • 100th anniversary
  • Top read articles
  • About
  • Editors
  • Consulting Editors
  • For authors
  • Publication ethics
  • Publication alerts by email
  • Advertising
  • Job board
  • Contact
Increased islet apoptosis in Pdx1+/– mice
James D. Johnson, Noreen T. Ahmed, Dan S. Luciani, Zhiqiang Han, Hung Tran, Jun Fujita, Stanley Misler, Helena Edlund, Kenneth S. Polonsky
James D. Johnson, Noreen T. Ahmed, Dan S. Luciani, Zhiqiang Han, Hung Tran, Jun Fujita, Stanley Misler, Helena Edlund, Kenneth S. Polonsky
View: Text | PDF
Article Metabolism

Increased islet apoptosis in Pdx1+/– mice

  • Text
  • PDF
Abstract

Mice with 50% Pdx1, a homeobox gene critical for pancreatic development, had worsening glucose tolerance with age and reduced insulin release in response to glucose, KCl, and arginine from the perfused pancreas. Surprisingly, insulin secretion in perifusion or static incubation experiments in response to glucose and other secretagogues was similar in islets isolated from Pdx1+/– mice compared with Pdx1+/+ littermate controls. Glucose sensing and islet Ca2+ responses were also normal. Depolarization-evoked exocytosis and Ca2+ currents in single Pdx1+/– cells were not different from controls, arguing against a ubiquitous β cell stimulus-secretion coupling defect. However, isolated Pdx1+/– islets and dispersed β cells were significantly more susceptible to apoptosis at basal glucose concentrations than Pdx1+/+ islets. BclXL and Bcl-2 expression were reduced in Pdx1+/– islets. In vivo, increased apoptosis was associated with abnormal islet architecture, positive TUNEL, active caspase-3, and lymphocyte infiltration. Although similar in young mice, both β cell mass and islet number failed to increase with age and were approximately 50% less than controls by one year. These results suggest that an increase in apoptosis, with abnormal regulation of islet number and β cell mass, represents a key mechanism whereby partial PDX1 deficiency leads to an organ-level defect in insulin secretion and diabetes.

Authors

James D. Johnson, Noreen T. Ahmed, Dan S. Luciani, Zhiqiang Han, Hung Tran, Jun Fujita, Stanley Misler, Helena Edlund, Kenneth S. Polonsky

×

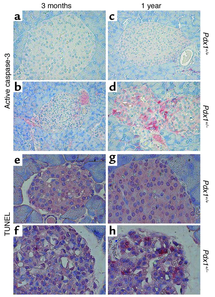
Figure 8

Options: View larger image (or click on image) Download as PowerPoint
Immunohistochemistry for proapoptotic active caspase-3 and TUNEL. (a–d) ...
Immunohistochemistry for proapoptotic active caspase-3 and TUNEL. (a–d) Pdx1+/– islets showed modest activation of caspase-3 in vivo (red staining) compared with Pdx1+/+ islets. The difference was most prominent in older animals and varied between islets from the same pancreas section. (e–h) TUNEL-positive cells (red) are seen in Pdx1+/– islets at all ages studied but are extremely rare in Pdx1+/+ islets. Note the loss of intact islet structure and the striking increase in vascularization in Pdx1+/– islets (arrow in h points to one of many red blood cells within the islet). Islet structure and TUNEL staining was also different in Pdx1+/– islets at 5 months of age (not shown).

Copyright © 2026 American Society for Clinical Investigation
ISSN: 0021-9738 (print), 1558-8238 (online)

Sign up for email alerts