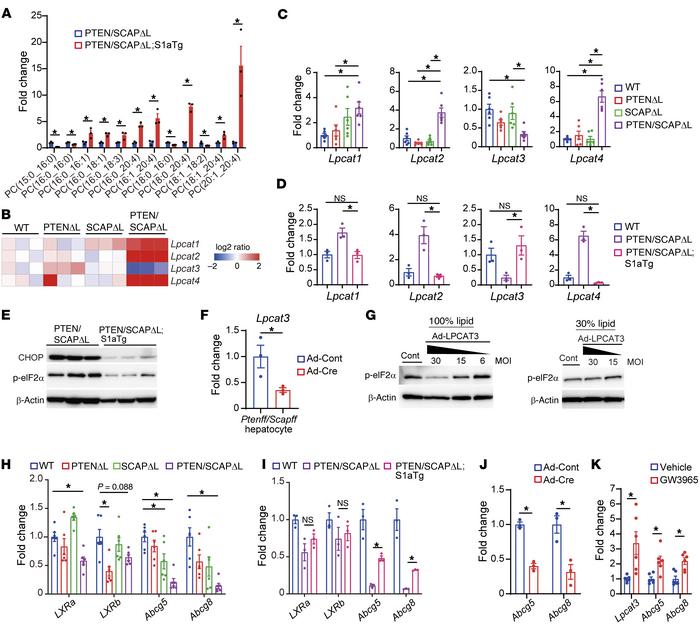
Enhanced de novo lipogenesis mediated by sterol regulatory element–binding proteins (SREBPs) is thought to be involved in nonalcoholic steatohepatitis (NASH) pathogenesis. In this study, we assessed the impact of SREBP inhibition on NASH and liver cancer development in murine models. Unexpectedly, SREBP inhibition via deletion of the SREBP cleavage–activating protein (SCAP) in the liver exacerbated liver injury, fibrosis, and carcinogenesis despite markedly reduced hepatic steatosis. These phenotypes were ameliorated by restoring SREBP function. Transcriptome and lipidome analyses revealed that SCAP/SREBP pathway inhibition altered the fatty acid (FA) composition of phosphatidylcholines due to both impaired FA synthesis and disorganized FA incorporation into phosphatidylcholine via lysophosphatidylcholine acyltransferase 3 (LPCAT3) downregulation, which led to endoplasmic reticulum (ER) stress and hepatocyte injury. Supplementation with phosphatidylcholines significantly improved liver injury and ER stress induced by SCAP deletion. The activity of the SCAP/SREBP/LPCAT3 axis was found to be inversely associated with liver fibrosis severity in human NASH. SREBP inhibition also cooperated with impaired autophagy to trigger liver injury. Thus, excessively strong and broad lipogenesis inhibition was counterproductive for NASH therapy; this will have important clinical implications in NASH treatment.
Satoshi Kawamura, Yuki Matsushita, Shigeyuki Kurosaki, Mizuki Tange, Naoto Fujiwara, Yuki Hayata, Yoku Hayakawa, Nobumi Suzuki, Masahiro Hata, Mayo Tsuboi, Takahiro Kishikawa, Hiroto Kinoshita, Takuma Nakatsuka, Masaya Sato, Yotaro Kudo, Yujin Hoshida, Atsushi Umemura, Akiko Eguchi, Tsuneo Ikenoue, Yoshihiro Hirata, Motonari Uesugi, Ryosuke Tateishi, Keisuke Tateishi, Mitsuhiro Fujishiro, Kazuhiko Koike, Hayato Nakagawa
SREBP dysfunction–mediated downregulation of LPCAT3 is associated with ER stress.
 
 
