Go to JCI Insight
  • About
  • Editors
  • Consulting Editors
  • For authors
  • Publication ethics
  • Publication alerts by email
  • Advertising
  • Job board
  • Contact
  • Clinical Research and Public Health
  • Current issue
  • Past issues
  • By specialty
    • COVID-19
    • Cardiology
    • Gastroenterology
    • Immunology
    • Metabolism
    • Nephrology
    • Neuroscience
    • Oncology
    • Pulmonology
    • Vascular biology
    • All ...
  • Videos
    • Conversations with Giants in Medicine
    • Video Abstracts
  • Reviews
    • View all reviews ...
    • Clinical innovation and scientific progress in GLP-1 medicine (Nov 2025)
    • Pancreatic Cancer (Jul 2025)
    • Complement Biology and Therapeutics (May 2025)
    • Evolving insights into MASLD and MASH pathogenesis and treatment (Apr 2025)
    • Microbiome in Health and Disease (Feb 2025)
    • Substance Use Disorders (Oct 2024)
    • Clonal Hematopoiesis (Oct 2024)
    • View all review series ...
  • Viewpoint
  • Collections
    • In-Press Preview
    • Clinical Research and Public Health
    • Research Letters
    • Letters to the Editor
    • Editorials
    • Commentaries
    • Editor's notes
    • Reviews
    • Viewpoints
    • 100th anniversary
    • Top read articles

  • Current issue
  • Past issues
  • Specialties
  • Reviews
  • Review series
  • Conversations with Giants in Medicine
  • Video Abstracts
  • In-Press Preview
  • Clinical Research and Public Health
  • Research Letters
  • Letters to the Editor
  • Editorials
  • Commentaries
  • Editor's notes
  • Reviews
  • Viewpoints
  • 100th anniversary
  • Top read articles
  • About
  • Editors
  • Consulting Editors
  • For authors
  • Publication ethics
  • Publication alerts by email
  • Advertising
  • Job board
  • Contact
Matrix metalloproteinase-7 is expressed by pancreatic cancer precursors and regulates acinar-to-ductal metaplasia in exocrine pancreas
Howard C. Crawford, Charles R. Scoggins, M. Kay Washington, Lynn M. Matrisian, Steven D. Leach
Howard C. Crawford, Charles R. Scoggins, M. Kay Washington, Lynn M. Matrisian, Steven D. Leach
View: Text | PDF
Article Development

Matrix metalloproteinase-7 is expressed by pancreatic cancer precursors and regulates acinar-to-ductal metaplasia in exocrine pancreas

  • Text
  • PDF
Abstract

In gastrointestinal epithelium, metaplastic conversion between predominant cell types is associated with an increased risk of neoplasia. However, the mechanisms regulating metaplastic transitions in adult epithelia are largely undefined. Here we show that matrix metalloproteinase-7 (MMP-7) is expressed not only in the majority of human pancreatic ductal adenocarcinoma specimens, but also in human pancreatic intraepithelial neoplasia and metaplastic duct lesions in human and mouse. In a mouse model of pancreatic acinar-to-ductal metaplasia, MMP-7 progressively accumulates during the metaplastic transition, resulting in a concomitant increase in solubilization of Fas ligand (FasL). Under identical conditions, mice either deficient in MMP-7 or carrying an inactive FasL gene are severely inhibited in development of progressive metaplasia and acinar cell apoptosis. Thus, MMP-7 and FasL influence the initiation and maintenance of metaplastic events in pancreatic epithelium, explaining the observed link between metaplasia and apoptosis in pancreas and other gastrointestinal tissues.

Authors

Howard C. Crawford, Charles R. Scoggins, M. Kay Washington, Lynn M. Matrisian, Steven D. Leach

×

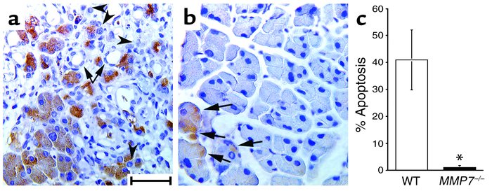
Figure 4

Options: View larger image (or click on image) Download as PowerPoint
Inhibition of acinar cell apoptosis following duct ligation in MMP7–/– m...
Inhibition of acinar cell apoptosis following duct ligation in MMP7–/– mice. Immunoreactivity for cleaved caspase-3 in pancreata 5 days after ductal ligation in (a) wild-type and (b) MMP7–/– mice. Arrows and arrowheads in a indicate absence of staining in metaplastic duct lesions and some acinar cells, respectively. Scale bar, 50 μm. Arrows in b indicate positively staining acinar cells. (c) Quantitation of percent apoptosis in wild-type (WT) and MMP7–/– pancreata (n = 5). *Significantly different from wild-type according to two-tailed unpaired Student t test (P = 0.007).

Copyright © 2025 American Society for Clinical Investigation
ISSN: 0021-9738 (print), 1558-8238 (online)

Sign up for email alerts