Go to JCI Insight
  • About
  • Editors
  • Consulting Editors
  • For authors
  • Publication ethics
  • Publication alerts by email
  • Advertising
  • Job board
  • Contact
  • Clinical Research and Public Health
  • Current issue
  • Past issues
  • By specialty
    • COVID-19
    • Cardiology
    • Gastroenterology
    • Immunology
    • Metabolism
    • Nephrology
    • Neuroscience
    • Oncology
    • Pulmonology
    • Vascular biology
    • All ...
  • Videos
    • ASCI Milestone Awards
    • Video Abstracts
    • Conversations with Giants in Medicine
  • Reviews
    • View all reviews ...
    • Clinical innovation and scientific progress in GLP-1 medicine (Nov 2025)
    • Pancreatic Cancer (Jul 2025)
    • Complement Biology and Therapeutics (May 2025)
    • Evolving insights into MASLD and MASH pathogenesis and treatment (Apr 2025)
    • Microbiome in Health and Disease (Feb 2025)
    • Substance Use Disorders (Oct 2024)
    • Clonal Hematopoiesis (Oct 2024)
    • View all review series ...
  • Viewpoint
  • Collections
    • In-Press Preview
    • Clinical Research and Public Health
    • Research Letters
    • Letters to the Editor
    • Editorials
    • Commentaries
    • Editor's notes
    • Reviews
    • Viewpoints
    • 100th anniversary
    • Top read articles

  • Current issue
  • Past issues
  • Specialties
  • Reviews
  • Review series
  • ASCI Milestone Awards
  • Video Abstracts
  • Conversations with Giants in Medicine
  • In-Press Preview
  • Clinical Research and Public Health
  • Research Letters
  • Letters to the Editor
  • Editorials
  • Commentaries
  • Editor's notes
  • Reviews
  • Viewpoints
  • 100th anniversary
  • Top read articles
  • About
  • Editors
  • Consulting Editors
  • For authors
  • Publication ethics
  • Publication alerts by email
  • Advertising
  • Job board
  • Contact
TREM-2 promotes Th1 responses by interacting with the CD3ζ-ZAP70 complex following Mycobacterium tuberculosis infection
Yongjian Wu, Minhao Wu, Siqi Ming, Xiaoxia Zhan, Shengfeng Hu, Xingyu Li, Huan Yin, Can Cao, Jiao Liu, Jinai Li, Zhilong Wu, Jie Zhou, Lei Liu, Sitang Gong, Duanman He, Xi Huang
Yongjian Wu, Minhao Wu, Siqi Ming, Xiaoxia Zhan, Shengfeng Hu, Xingyu Li, Huan Yin, Can Cao, Jiao Liu, Jinai Li, Zhilong Wu, Jie Zhou, Lei Liu, Sitang Gong, Duanman He, Xi Huang
View: Text | PDF
Research Article Inflammation

TREM-2 promotes Th1 responses by interacting with the CD3ζ-ZAP70 complex following Mycobacterium tuberculosis infection

  • Text
  • PDF
Abstract

Triggering receptor expressed on myeloid cells 2 (TREM-2) is a modulator of pattern recognition receptors on innate immune cells that regulates the inflammatory response. However, the role of TREM-2 in in vivo models of infection and inflammation remains controversial. Here, we demonstrated that TREM-2 expression on CD4+ T cells was induced by Mycobacterium tuberculosis infection in both humans and mice and positively associated with T cell activation and an effector memory phenotype. Activation of TREM-2 in CD4+ T cells was dependent on interaction with the putative TREM-2 ligand expressed on DCs. Unlike the observation in myeloid cells that TREM-2 signals through DAP12, in CD4+ T cells, TREM-2 interacted with the CD3ζ-ZAP70 complex as well as with the IFN-γ receptor, leading to STAT1/-4 activation and T-bet transcription. In addition, an infection model using reconstituted Rag2–/– mice (with TREM-2–KO vs. WT cells or TREM-2+ vs. TREM-2–CD4+ T cells) or CD4+ T cell–specific TREM-2 conditional KO mice demonstrated that TREM-2 promoted a Th1-mediated host defense against M. tuberculosis infection. Taken together, these findings reveal a critical role of TREM-2 in evoking proinflammatory Th1 responses that may provide potential therapeutic targets for infectious and inflammatory diseases.

Authors

Yongjian Wu, Minhao Wu, Siqi Ming, Xiaoxia Zhan, Shengfeng Hu, Xingyu Li, Huan Yin, Can Cao, Jiao Liu, Jinai Li, Zhilong Wu, Jie Zhou, Lei Liu, Sitang Gong, Duanman He, Xi Huang

×

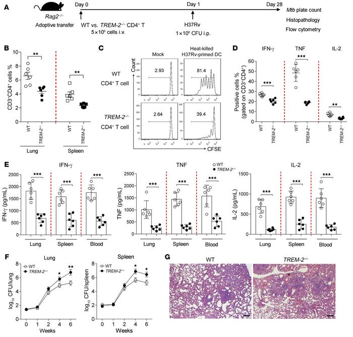
Figure 8

Rag2–/– mice reconstituted with TREM-2–/– CD4+ T cells display weaker Th1 responses against M. tuberculosis infection in vivo.

Options: View larger image (or click on image) Download as PowerPoint

Rag2–/– mice reconstituted with TREM-2–/– CD4+ T cells display weaker T...
(A) Rag2–/– mice (n = 6) were injected i.v. with 5 × 106 WT or TREM-2–/– CD4+ T cells, followed by i.p. injection of 1 × 106 CFU H37Rv. On day 28 p.i., lungs and spleens were collected. (B) The frequency of pulmonary and splenic CD4+ T cells was determined by flow cytometry. (C) CFSE-labeled WT or TREM-2–/– CD4+ T cells were stimulated with heat-killed, H37Rv-primed DCs, and anti-CD3/anti-CD28 Abs (1 μg/mL) for 3 days, and then cell proliferation was assessed by flow cytometry. (D) Splenocytes were stimulated with PMA (50 nM), ionomycin (1 μg/mL), and brefeldin A (BFA) (1 μg/mL) for 6 hours. The percentages of IFN-γ–, TNF-, and IL-2–producing cells were analyzed by flow cytometry. (E) IFN-γ, TNF, and IL-2 concentrations in the lungs, spleens, and peripheral blood were determined by ELISA. (F) The bacterial burden in the lungs was determined by plate count and calculated as CFU per lung. (G) Lung sections were stained with H&E and analyzed by histopathology under the microscope. Scale bars: 50 μm. Data represent the mean ± SD from at least 3 independent experiments. *P < 0.05, **P < 0.01, and ***P < 0.001, by unpaired Student’s t test (B–F).

Copyright © 2026 American Society for Clinical Investigation
ISSN: 0021-9738 (print), 1558-8238 (online)

Sign up for email alerts