Go to JCI Insight
  • About
  • Editors
  • Consulting Editors
  • For authors
  • Publication ethics
  • Publication alerts by email
  • Advertising
  • Job board
  • Contact
  • Clinical Research and Public Health
  • Current issue
  • Past issues
  • By specialty
    • COVID-19
    • Cardiology
    • Gastroenterology
    • Immunology
    • Metabolism
    • Nephrology
    • Neuroscience
    • Oncology
    • Pulmonology
    • Vascular biology
    • All ...
  • Videos
    • ASCI Milestone Awards
    • Video Abstracts
    • Conversations with Giants in Medicine
  • Reviews
    • View all reviews ...
    • Clinical innovation and scientific progress in GLP-1 medicine (Nov 2025)
    • Pancreatic Cancer (Jul 2025)
    • Complement Biology and Therapeutics (May 2025)
    • Evolving insights into MASLD and MASH pathogenesis and treatment (Apr 2025)
    • Microbiome in Health and Disease (Feb 2025)
    • Substance Use Disorders (Oct 2024)
    • Clonal Hematopoiesis (Oct 2024)
    • View all review series ...
  • Viewpoint
  • Collections
    • In-Press Preview
    • Clinical Research and Public Health
    • Research Letters
    • Letters to the Editor
    • Editorials
    • Commentaries
    • Editor's notes
    • Reviews
    • Viewpoints
    • 100th anniversary
    • Top read articles

  • Current issue
  • Past issues
  • Specialties
  • Reviews
  • Review series
  • ASCI Milestone Awards
  • Video Abstracts
  • Conversations with Giants in Medicine
  • In-Press Preview
  • Clinical Research and Public Health
  • Research Letters
  • Letters to the Editor
  • Editorials
  • Commentaries
  • Editor's notes
  • Reviews
  • Viewpoints
  • 100th anniversary
  • Top read articles
  • About
  • Editors
  • Consulting Editors
  • For authors
  • Publication ethics
  • Publication alerts by email
  • Advertising
  • Job board
  • Contact
Ribosomal S6 protein kinase 4 promotes radioresistance in esophageal squamous cell carcinoma
Ming-Yang Li, Lin-Ni Fan, Dong-Hui Han, Zhou Yu, Jing Ma, Yi-Xiong Liu, Pei-Feng Li, Dan-Hui Zhao, Jia Chai, Lei Jiang, Shi-Liang Li, Juan-Juan Xiao, Qiu-Hong Duan, Jing Ye, Mei Shi, Yong-Zhan Nie, Kai-Chun Wu, Dezhong Joshua Liao, Yu Shi, Yan Wang, Qing-Guo Yan, Shuang-Ping Guo, Xiu-Wu Bian, Feng Zhu, Jian Zhang, Zhe Wang
Ming-Yang Li, Lin-Ni Fan, Dong-Hui Han, Zhou Yu, Jing Ma, Yi-Xiong Liu, Pei-Feng Li, Dan-Hui Zhao, Jia Chai, Lei Jiang, Shi-Liang Li, Juan-Juan Xiao, Qiu-Hong Duan, Jing Ye, Mei Shi, Yong-Zhan Nie, Kai-Chun Wu, Dezhong Joshua Liao, Yu Shi, Yan Wang, Qing-Guo Yan, Shuang-Ping Guo, Xiu-Wu Bian, Feng Zhu, Jian Zhang, Zhe Wang
View: Text | PDF
Research Article Oncology

Ribosomal S6 protein kinase 4 promotes radioresistance in esophageal squamous cell carcinoma

  • Text
  • PDF
Abstract

Esophageal squamous cell carcinoma (ESCC) is one of the most aggressive cancers and is highly resistant to current treatments. ESCC harbors a subpopulation of cells exhibiting cancer stem-like cell (CSC) properties that contribute to therapeutic resistance including radioresistance, but the molecular mechanisms in ESCC CSCs are currently unknown. Here, we report that ribosomal S6 protein kinase 4 (RSK4) plays a pivotal role in promoting CSC properties and radioresistance in ESCC. RSK4 was highly expressed in ESCC CSCs and associated with radioresistance and poor survival in patients with ESCC. RSK4 was found to be a direct downstream transcriptional target of ΔNp63α, the main p63 isoform, which is frequently amplified in ESCC. RSK4 activated the β-catenin signaling pathway through direct phosphorylation of GSK-3β at Ser9. Pharmacologic inhibition of RSK4 effectively reduced CSC properties and improved radiosensitivity in both nude mouse and patient-derived xenograft models. Collectively, our results strongly suggest that the ΔNp63α/RSK4/GSK-3β axis plays a key role in driving CSC properties and radioresistance in ESCC, indicating that RSK4 is a promising therapeutic target for ESCC treatment.

Authors

Ming-Yang Li, Lin-Ni Fan, Dong-Hui Han, Zhou Yu, Jing Ma, Yi-Xiong Liu, Pei-Feng Li, Dan-Hui Zhao, Jia Chai, Lei Jiang, Shi-Liang Li, Juan-Juan Xiao, Qiu-Hong Duan, Jing Ye, Mei Shi, Yong-Zhan Nie, Kai-Chun Wu, Dezhong Joshua Liao, Yu Shi, Yan Wang, Qing-Guo Yan, Shuang-Ping Guo, Xiu-Wu Bian, Feng Zhu, Jian Zhang, Zhe Wang

×

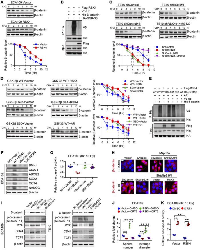
Figure 7

RSK4 activates the Wnt/β-catenin pathway.

Options: View larger image (or click on image) Download as PowerPoint
RSK4 activates the Wnt/β-catenin pathway.
(A) Control or RSK4-overexpres...
(A) Control or RSK4-overexpressing ECA109 cells were incubated with CHX (10 μg/mL) for the indicated durations. High RSK4 expression prolonged the half-life of β-catenin degradation (n = 3 independent experiments). (B) HEK293T cells were transfected with the indicated plasmids, and cell extracts were immunoprecipitated with an anti-His antibody. Ubiquitinated β-catenin was detected by immunoblotting. (C) Control or RSK4-silenced TE10 cells were incubated with CHX (10 μg/mL), CHX plus BI-D1870 (10 μM), or MG132 (10 μM) for the indicated durations. The indicated proteins were detected by immunoblotting (n = 3 independent experiments). (D) HEK293T cells were transfected with the indicated plasmids and incubated with CHX (10 μg/mL) for the indicated durations. The indicated proteins were detected by immunoblotting (n = 3 independent experiments). (E) HEK293T cells were transfected with the indicated plasmids, and cell extracts were immunoprecipitated with an anti-His antibody. Ubiquitinated β-catenin was detected by immunoblotting. (F and G) ECA109 cells were transfected with the indicated plasmids, and then CSC markers (F) and caspase-3 activity after IR (10 Gy) (G) of the indicated groups were detected (n = 3 independent experiments). (H) Representative images of the nuclear localization of β-catenin in ESCC cells from the indicated groups detected using immunofluorescence microscopy. Scale bars: 100 μm. (I) Effects of knockdown or overexpression of RSK4 on the indicated proteins in ΔNp63α-overexpressing or ΔNp63-suppressing ESCC cells. (J and K) Treatment of RSK4-overexpressing cells with 50 μM iCRT3 (an inhibitor of β-catenin signaling) for 24 hours greatly reduced their sphere-forming ability (J) and increased caspase-3 activity after IR (K) (n = 3 independent experiments). BI, BI-D1870; AR, AR-A014418. Data represent the mean ± SD. *P < 0.05 and **P < 0.01. Differences were tested using 1-way ANOVA with Tukey’s post hoc test (G, J, and K).

Copyright © 2026 American Society for Clinical Investigation
ISSN: 0021-9738 (print), 1558-8238 (online)

Sign up for email alerts