Go to JCI Insight
  • About
  • Editors
  • Consulting Editors
  • For authors
  • Publication ethics
  • Publication alerts by email
  • Advertising
  • Job board
  • Contact
  • Clinical Research and Public Health
  • Current issue
  • Past issues
  • By specialty
    • COVID-19
    • Cardiology
    • Gastroenterology
    • Immunology
    • Metabolism
    • Nephrology
    • Neuroscience
    • Oncology
    • Pulmonology
    • Vascular biology
    • All ...
  • Videos
    • ASCI Milestone Awards
    • Video Abstracts
    • Conversations with Giants in Medicine
  • Reviews
    • View all reviews ...
    • Clinical innovation and scientific progress in GLP-1 medicine (Nov 2025)
    • Pancreatic Cancer (Jul 2025)
    • Complement Biology and Therapeutics (May 2025)
    • Evolving insights into MASLD and MASH pathogenesis and treatment (Apr 2025)
    • Microbiome in Health and Disease (Feb 2025)
    • Substance Use Disorders (Oct 2024)
    • Clonal Hematopoiesis (Oct 2024)
    • View all review series ...
  • Viewpoint
  • Collections
    • In-Press Preview
    • Clinical Research and Public Health
    • Research Letters
    • Letters to the Editor
    • Editorials
    • Commentaries
    • Editor's notes
    • Reviews
    • Viewpoints
    • 100th anniversary
    • Top read articles

  • Current issue
  • Past issues
  • Specialties
  • Reviews
  • Review series
  • ASCI Milestone Awards
  • Video Abstracts
  • Conversations with Giants in Medicine
  • In-Press Preview
  • Clinical Research and Public Health
  • Research Letters
  • Letters to the Editor
  • Editorials
  • Commentaries
  • Editor's notes
  • Reviews
  • Viewpoints
  • 100th anniversary
  • Top read articles
  • About
  • Editors
  • Consulting Editors
  • For authors
  • Publication ethics
  • Publication alerts by email
  • Advertising
  • Job board
  • Contact
Relief of tumor hypoxia unleashes the tumoricidal potential of neutrophils
Karim Mahiddine, Adam Blaisdell, Stephany Ma, Amandine Créquer-Grandhomme, Clifford A. Lowell, Adrian Erlebacher
Karim Mahiddine, Adam Blaisdell, Stephany Ma, Amandine Créquer-Grandhomme, Clifford A. Lowell, Adrian Erlebacher
View: Text | PDF
Research Article Immunology Oncology

Relief of tumor hypoxia unleashes the tumoricidal potential of neutrophils

  • Text
  • PDF
Abstract

Polymorphonuclear neutrophils (PMNs) are increasingly recognized to influence solid tumor development, but why their effects are so context dependent and even frequently divergent remains poorly understood. Using an autochthonous mouse model of uterine cancer and the administration of respiratory hyperoxia as a means to improve tumor oxygenation, we provide in vivo evidence that hypoxia is a potent determinant of tumor-associated PMN phenotypes and direct PMN–tumor cell interactions. Upon relief of tumor hypoxia, PMNs were recruited less intensely to the tumor-bearing uterus, but the recruited cells much more effectively killed tumor cells, an activity our data moreover suggested was mediated via their production of NADPH oxidase–derived reactive oxygen species and MMP-9. Simultaneously, their ability to promote tumor cell proliferation, which appeared to be mediated via their production of neutrophil elastase, was rendered less effective. Relieving tumor hypoxia thus greatly improved net PMN-dependent tumor control, leading to a massive reduction in tumor burden. Remarkably, this outcome was T cell independent. Together, these findings identify key hypoxia-regulated molecular mechanisms through which PMNs directly induce tumor cell death and proliferation in vivo and suggest that the contrasting properties of PMNs in different tumor settings may in part reflect the effects of hypoxia on direct PMN–tumor cell interactions.

Authors

Karim Mahiddine, Adam Blaisdell, Stephany Ma, Amandine Créquer-Grandhomme, Clifford A. Lowell, Adrian Erlebacher

×

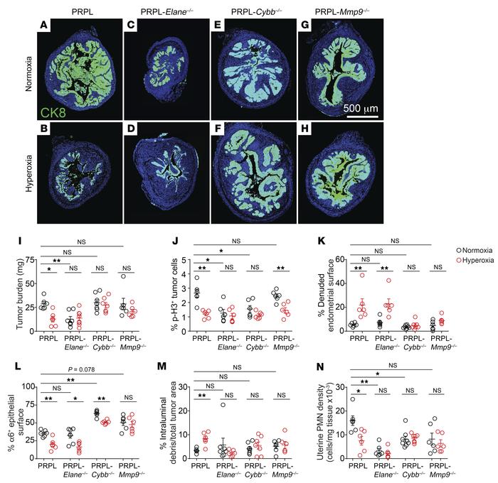
Figure 4

Role of NE, neutrophil-derived ROS, and MMP-9 in PMN control over tumor cell death and proliferation.

Options: View larger image (or click on image) Download as PowerPoint
Role of NE, neutrophil-derived ROS, and MMP-9 in PMN control over tumor ...
(A–H) Representative CK8-stained sections of PRPL (A and B), PRPL-Elane–/– (C and D), PRPL-Cybb–/– (E and F), and PRPL-Mmp9–/– (G and H) mice, housed in normoxia or hyperoxia conditions (n = 6–8 mice/group). These are the same sections for which α6 costaining is shown in Supplemental Figure 5. Quantification of (I) tumor burden, (J) tumor cell proliferation, (K) percentage of denuded endometrial surface, (L) percentage of tumor epithelial surface with basolateral α6 integrin staining, (M) percentage of sloughed tumor cells, and (N) uterine PMN tissue densities, as determined by flow cytometry. The data for PRPL mice are the same as in Figures 1–3. See Supplemental Figure 5 for representative images of α6 immunostaining. Graphs also show the mean ± SEM. *P < 0.05; **P < 0.01 by 2-tailed Mann-Whitney U test. Differences between normoxia data were first assessed by the Kruskal-Wallis test (P < 0.01) and P values were Bonferroni adjusted for multiple comparisons.

Copyright © 2026 American Society for Clinical Investigation
ISSN: 0021-9738 (print), 1558-8238 (online)

Sign up for email alerts