Go to JCI Insight
  • About
  • Editors
  • Consulting Editors
  • For authors
  • Publication ethics
  • Publication alerts by email
  • Advertising
  • Job board
  • Contact
  • Clinical Research and Public Health
  • Current issue
  • Past issues
  • By specialty
    • COVID-19
    • Cardiology
    • Gastroenterology
    • Immunology
    • Metabolism
    • Nephrology
    • Neuroscience
    • Oncology
    • Pulmonology
    • Vascular biology
    • All ...
  • Videos
    • ASCI Milestone Awards
    • Video Abstracts
    • Conversations with Giants in Medicine
  • Reviews
    • View all reviews ...
    • Clinical innovation and scientific progress in GLP-1 medicine (Nov 2025)
    • Pancreatic Cancer (Jul 2025)
    • Complement Biology and Therapeutics (May 2025)
    • Evolving insights into MASLD and MASH pathogenesis and treatment (Apr 2025)
    • Microbiome in Health and Disease (Feb 2025)
    • Substance Use Disorders (Oct 2024)
    • Clonal Hematopoiesis (Oct 2024)
    • View all review series ...
  • Viewpoint
  • Collections
    • In-Press Preview
    • Clinical Research and Public Health
    • Research Letters
    • Letters to the Editor
    • Editorials
    • Commentaries
    • Editor's notes
    • Reviews
    • Viewpoints
    • 100th anniversary
    • Top read articles

  • Current issue
  • Past issues
  • Specialties
  • Reviews
  • Review series
  • ASCI Milestone Awards
  • Video Abstracts
  • Conversations with Giants in Medicine
  • In-Press Preview
  • Clinical Research and Public Health
  • Research Letters
  • Letters to the Editor
  • Editorials
  • Commentaries
  • Editor's notes
  • Reviews
  • Viewpoints
  • 100th anniversary
  • Top read articles
  • About
  • Editors
  • Consulting Editors
  • For authors
  • Publication ethics
  • Publication alerts by email
  • Advertising
  • Job board
  • Contact
Integrin α5β1 regulates PP2A complex assembly through PDE4D in atherosclerosis
Sanguk Yun, Rui Hu, Melanie E. Schwaemmle, Alexander N. Scherer, Zhenwu Zhuang, Anthony J. Koleske, David C. Pallas, Martin A. Schwartz
Sanguk Yun, Rui Hu, Melanie E. Schwaemmle, Alexander N. Scherer, Zhenwu Zhuang, Anthony J. Koleske, David C. Pallas, Martin A. Schwartz
View: Text | PDF
Research Article Cell biology Vascular biology

Integrin α5β1 regulates PP2A complex assembly through PDE4D in atherosclerosis

  • Text
  • PDF
Abstract

Fibronectin in the vascular wall promotes inflammatory activation of the endothelium during vascular remodeling and atherosclerosis. These effects are mediated in part by fibronectin binding to integrin α5, which recruits and activates phosphodiesterase 4D5 (PDE4D5) by inducing its dephosphorylation on an inhibitory site, S651. Active PDE then hydrolyzes antiinflammatory cAMP to facilitate inflammatory signaling. To test this model in vivo, we mutated the integrin binding site of PDE4D5 in mice. This mutation reduced endothelial inflammatory activation in atherosclerosis-prone regions of arteries and, in a hyperlipidemia model, reduced atherosclerotic plaque size while increasing markers of plaque stability. We then investigated the mechanism of PDE4D5 activation. Proteomics identified the PP2A regulatory subunit B55α as the factor recruiting PP2A to PDE4D5. The B55α-PP2A complex localized to adhesions and directly dephosphorylated PDE4D5. This interaction also, unexpectedly, stabilized the PP2A-B55α complex. The integrin-regulated, proatherosclerotic transcription factor Yap was also dephosphorylated and activated through this pathway. PDE4D5 therefore mediated matrix-specific regulation of endothelial cell phenotype via an unconventional adapter role, assembling and anchoring a multifunctional PP2A complex that has other targets. We believe these results may have widespread consequences for the control of cell function by integrins.

Authors

Sanguk Yun, Rui Hu, Melanie E. Schwaemmle, Alexander N. Scherer, Zhenwu Zhuang, Anthony J. Koleske, David C. Pallas, Martin A. Schwartz

×

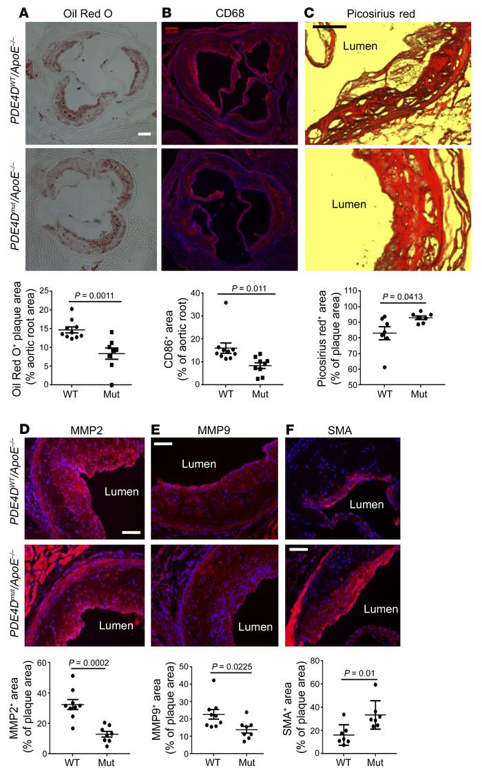
Figure 2

Atherosclerosis and recovery from hindlimb ischemia.

Options: View larger image (or click on image) Download as PowerPoint
Atherosclerosis and recovery from hindlimb ischemia.
(A) Aortic root sec...
(A) Aortic root sections from WT and PDE4Dmut ApoE–/– mice after 4 months on a high-fat diet were stained with Oil Red O to determine lesion size. (B) Sections were stained for CD68 to identify macrophages. (C–E) To analyze plaque composition, sections were stained for fibrillar collagens with Picrosirius red (C), MMP2 (D), and MMP9 (E). (F) Sections were stained for SMA to identify smooth muscle cells. In all cases, the staining intensity was quantified as described in Methods and normalized to total plaque area. Scale bars: 200 μm (A and B) and 100 μm (C–F). P values were determined by Student’s t test. Mut, mutant.

Copyright © 2026 American Society for Clinical Investigation
ISSN: 0021-9738 (print), 1558-8238 (online)

Sign up for email alerts