Go to JCI Insight
  • About
  • Editors
  • Consulting Editors
  • For authors
  • Publication ethics
  • Publication alerts by email
  • Advertising
  • Job board
  • Contact
  • Clinical Research and Public Health
  • Current issue
  • Past issues
  • By specialty
    • COVID-19
    • Cardiology
    • Gastroenterology
    • Immunology
    • Metabolism
    • Nephrology
    • Neuroscience
    • Oncology
    • Pulmonology
    • Vascular biology
    • All ...
  • Videos
    • Conversations with Giants in Medicine
    • Video Abstracts
  • Reviews
    • View all reviews ...
    • Pancreatic Cancer (Jul 2025)
    • Complement Biology and Therapeutics (May 2025)
    • Evolving insights into MASLD and MASH pathogenesis and treatment (Apr 2025)
    • Microbiome in Health and Disease (Feb 2025)
    • Substance Use Disorders (Oct 2024)
    • Clonal Hematopoiesis (Oct 2024)
    • Sex Differences in Medicine (Sep 2024)
    • View all review series ...
  • Viewpoint
  • Collections
    • In-Press Preview
    • Clinical Research and Public Health
    • Research Letters
    • Letters to the Editor
    • Editorials
    • Commentaries
    • Editor's notes
    • Reviews
    • Viewpoints
    • 100th anniversary
    • Top read articles

  • Current issue
  • Past issues
  • Specialties
  • Reviews
  • Review series
  • Conversations with Giants in Medicine
  • Video Abstracts
  • In-Press Preview
  • Clinical Research and Public Health
  • Research Letters
  • Letters to the Editor
  • Editorials
  • Commentaries
  • Editor's notes
  • Reviews
  • Viewpoints
  • 100th anniversary
  • Top read articles
  • About
  • Editors
  • Consulting Editors
  • For authors
  • Publication ethics
  • Publication alerts by email
  • Advertising
  • Job board
  • Contact
Inhibiting Wee1 and ATR kinases produces tumor-selective synthetic lethality and suppresses metastasis
Amirali B. Bukhari, … , Gordon K. Chan, Armin M. Gamper
Amirali B. Bukhari, … , Gordon K. Chan, Armin M. Gamper
Published January 15, 2019
Citation Information: J Clin Invest. 2019;129(3):1329-1344. https://doi.org/10.1172/JCI122622.
View: Text | PDF
Research Article Oncology

Inhibiting Wee1 and ATR kinases produces tumor-selective synthetic lethality and suppresses metastasis

  • Text
  • PDF
Abstract

We used the cancer-intrinsic property of oncogene-induced DNA damage as the base for a conditional synthetic lethality approach. To target mechanisms important for cancer cell adaptation to genotoxic stress and thereby to achieve cancer cell–specific killing, we combined inhibition of the kinases ATR and Wee1. Wee1 regulates cell cycle progression, whereas ATR is an apical kinase in the DNA-damage response. In an orthotopic breast cancer model, tumor-selective synthetic lethality of the combination of bioavailable ATR and Wee1 inhibitors led to tumor remission and inhibited metastasis with minimal side effects. ATR and Wee1 inhibition had a higher synergistic effect in cancer stem cells than in bulk cancer cells, compensating for the lower sensitivity of cancer stem cells to the individual drugs. Mechanistically, the combination treatment caused cells with unrepaired or under-replicated DNA to enter mitosis leading to mitotic catastrophe. As these inhibitors of ATR and Wee1 are already in phase I/II clinical trials, this knowledge could soon be translated into the clinic, especially as we showed that the combination treatment targets a wide range of tumor cells. Particularly, the antimetastatic effect of combined Wee1/ATR inhibition and the low toxicity of ATR inhibitors compared with Chk1 inhibitors have great clinical potential.

Authors

Amirali B. Bukhari, Cody W. Lewis, Joanna J. Pearce, Deandra Luong, Gordon K. Chan, Armin M. Gamper

×

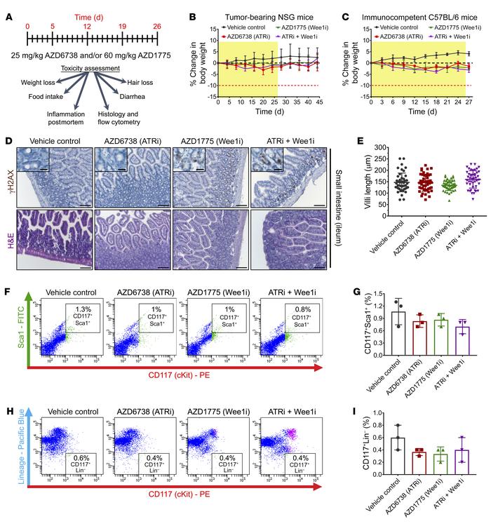
Figure 5

Combination treatment with ATR and Wee1 inhibitors and normal tissue toxicity.

Options: View larger image (or click on image) Download as PowerPoint
Combination treatment with ATR and Wee1 inhibitors and normal tissue tox...
(A) Mice were treated for 26 days daily with 25 mg/kg AZD6738 and/or 60 mg/kg AZD1775 and tested for adverse effects. (B and C) No significant body weight changes are observed in tumor-bearing immune-deficient NSG or in immunocompetent C57BL/6 mice. (D and E) Although Wee1 inhibition leads to some γH2AX staining in the crypts of NSG mouse ilea (see insets) (D), no significant change in villi length is observed (E). n = 50 refers to 50 measurements in each of 3 mice per group. Scale bars: 100 μm and 25 μm (insets). (F–I) No significant depletion of hematopoietic stem and progenitor cells isolated from treated C57BL/6 mice is observed. Bone marrow cells were isolated from C57BL/6 mice treated as described in A and analyzed with the indicated surface markers by flow cytometry. (F and G) Hematopoietic stem and multipotent progenitor cells stained for CD117 and Sca1. (H and I) The CD117+Lin– population additionally includes myeloid progenitor cells. Data represent mean ± SD.

Copyright © 2025 American Society for Clinical Investigation
ISSN: 0021-9738 (print), 1558-8238 (online)

Sign up for email alerts