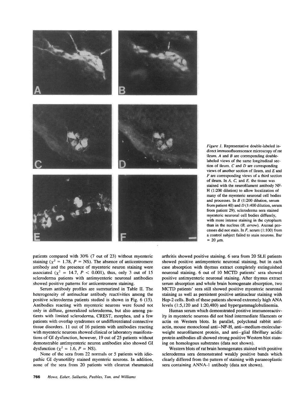
The pathogenesis of gastrointestinal (GI) dysmotility in scleroderma is incompletely understood, although previous studies have proposed a neuropathic mechanism. We studied patients with scleroderma as compared with other connective tissue disease patients and normal controls for the presence of circulating antibodies to myenteric neurons. Serial dilutions of sera were overlaid on rat intestine, double-labeled with antineurofilament antibody as a myenteric plexus marker, and imaged using indirect immunofluorescence techniques. High titer sera (> or = 1:50) from 19 out of 41 scleroderma patients stained myenteric neurons, whereas none of 22 normals or 5 patients with idiopathic GI dysmotility were positive. Although 6 out of 20 SLE and 6 out of 10 mixed connective tissue disease patients' sera stained myenteric plexus neurons, when positive sera were absorbed with calf thymus extract to remove antinuclear antibody, 15 scleroderma sera, 0 SLE, and 2 mixed connective tissue disease patients retained positive staining of myenteric neurons. Western blotting using actin and neuronal intermediate filament preparations failed to show immunoreactivity with scleroderma sera containing antimyenteric neuronal antibodies. Paraneoplastic sera associated with GI dysmotility stained myenteric neurons in a different pattern than seen with scleroderma sera. A positive correlation between the presence of Raynaud's phenomenon and antimyenteric neuronal antibodies was observed in scleroderma patients. Our results indicate that IgG antibodies reacting with myenteric neurons are present in many patients with scleroderma. Although the neuronal antigen has not yet been identified, the presence of myenteric neuronal antibodies in patients with GI dysmotility and scleroderma suggests a neuropathic process.
S Howe, E Y Eaker, J E Sallustio, C Peebles, E M Tan, R C Williams Jr
| 761 | 762 | 763 | 764 | 765 | 766 | 767 | 768 | 769 | 770 |
