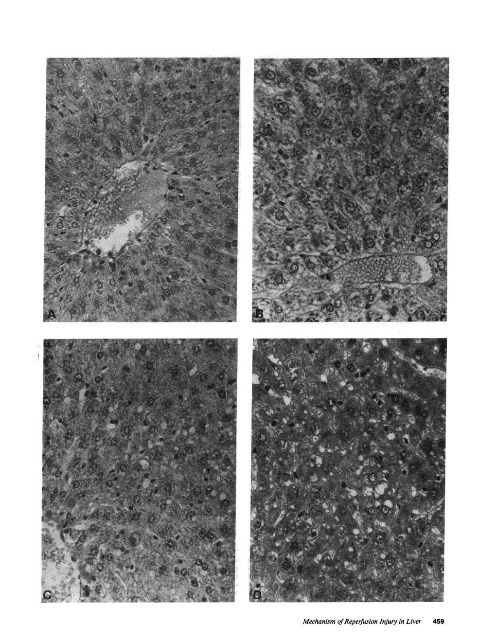
The time course of oxidative stress and tissue damage in zonal liver ischemia-reperfusion in rat liver in vivo was evaluated. After 180 min of ischemia, surface chemiluminescence decreased to zero, state 3 mitochondrial respiration decreased by 70-80%, and xanthine oxidase activity increased by 26% without change in the water content and in the activities of superoxide dismutase, catalase, and glutathione peroxidase. After reperfusion, marked increases in oxyradical production and tissue damage were detected. Mitochondrial oxygen uptake in state 3 and respiratory control as well as the activities of superoxide dismutase, catalase, and glutathione peroxidase and the level of nonenzymatic antioxidants (evaluated by the hydroperoxide-initiated chemiluminescence) were decreased. The severity of the post-reperfusion changes correlated with the time of ischemia. Morphologically, hepatocytes appeared swollen with zonal cord disarrangement which ranged from mild to severe for the tissue reperfused after 60-180 min of ischemia. Neutrophil infiltration was observed after 180 min of ischemia and 30 min of reperfusion. Mitochondria appear as the major source of hydrogen peroxide in control and in reperfused liver, as indicated by the almost complete inhibition of hydrogen peroxide production exerted by the uncoupler carbonylcyanide p-(trifluoromethoxy) phenylhydrazone. Additionally, inhibition of mitochondrial electron transfer by antimycin in liver slices reproduced the inhibition of state 3 mitochondrial respiration and the increase in hydrogen peroxide steady-state concentration found in reperfused liver. Increased rates of oxyradical production by inhibited mitochondria appear as the initial cause of oxidative stress and liver damage during early reperfusion in rat liver.
B González-Flecha, J C Cutrin, A Boveris
| 456 | 457 | 458 | 459 | 460 | 461 | 462 | 463 | 464 |
