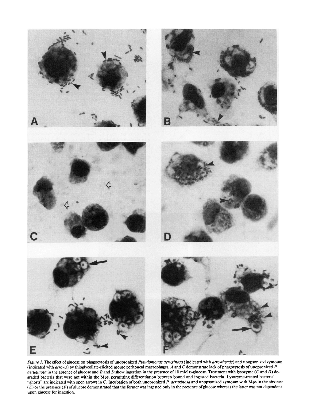
Pseudomonas aeruginosa is an important pulmonary pathogen in cystic fibrosis, but the means by which it evades host defenses is understood poorly. Macrophages (M phi) are critical in protecting the lung and mucosal surfaces against infection and may need to perform their functions in the absence of opsonins before the evolution of an inflammatory response. The purpose of the present study was to define factors that regulate the capacity of macrophages to mediate nonopsonic phagocytosis. Phagocytosis of unopsonized P. aeruginosa by murine peritoneal and pulmonary alveolar M phi s was absolutely dependent upon the presence of glucose; only D-mannose could substitute. Glucose-dependent phagocytosis appears to be selective for P. aeruginosa by M phi s; ingestion of unopsonized zymosan, opsonized P. aeruginosa, EIgG, and E (IgM)C occurred in the presence or absence of glucose as did-ingestion of unopsonized P. aeruginosa by polymorphonuclear leukocytes. M phi binding and phagocytosis of unopsonized P. aeruginosa appeared to occur by a mechanism independent of complement receptor 3 and mannose receptors. Phagocytosis of P. aeruginosa killed by tobramycin or Formalin was glucose dependent, suggesting that the glucose exerted its effects on the M phi rather than the bacteria. The predilection of P. aeruginosa for lower airway disease in patients with cystic fibrosis might be explained in part by the unique dependency upon glucose for M phi phagocytosis.
D P Speert, S Gordon
1085 | 1086 | 1087 | 1088 | 1089 | 1090 | 1091 | 1092 |