Abstract

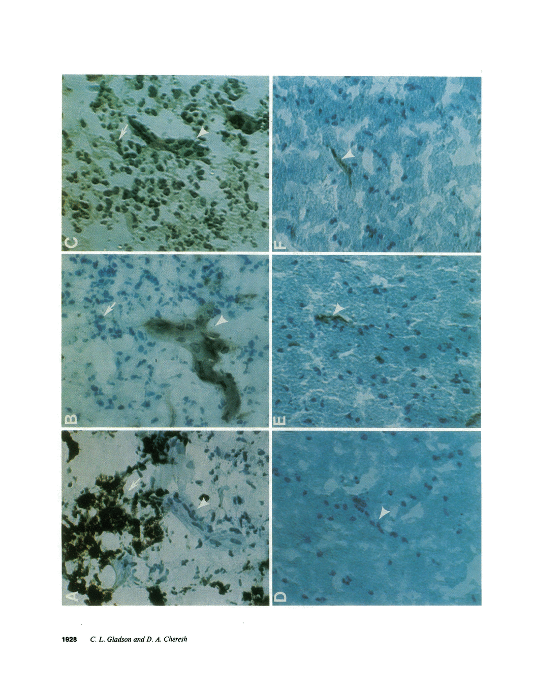
Glioblastoma multiforme, the most malignant astroglial-derived tumor, grows as an adherent mass and locally invades normal brain. An examination of adult cerebral glioblastoma biopsy material for the expression of adhesive proteins that might potentiate adhesion and invasion demonstrated tumor cell-associated vitronectin (5/5). In contrast, vitronectin was not detected associated with glial cells in low grade astroglial tumors (0/4), reactive astrogliosis (0/4), or in normal adult cortex and cerebral white matter (0/5). Also, a wide variety of other adhesive ligands were absent from the glioblastoma tumor parenchyma. The alpha v beta 3 integrin was the only vitronectin receptor identified in glioblastoma tumors in situ, and was also not expressed on low grade astroglial-derived tumors, reactive astrogliosis, or on glia or neurons in normal adult cortex and cerebral white matter. In a cell attachment assay, cultured glioblastoma cells attached to the parenchyma of glioblastoma tumor cryostat sections at the sites of vitronectin expression, but failed to attach to normal brain. This adhesion was inhibited by antibodies directed against vitronectin, the alpha v beta 3 integrin, and with an Arg-Gly-Asp-containing peptide. These data provide evidence for a cell adhesion mechanism in glioblastoma tumors that might potentiate glioblastoma cell invasion of normal brain.

Authors

C L Gladson, D A Cheresh

×

Other pages: