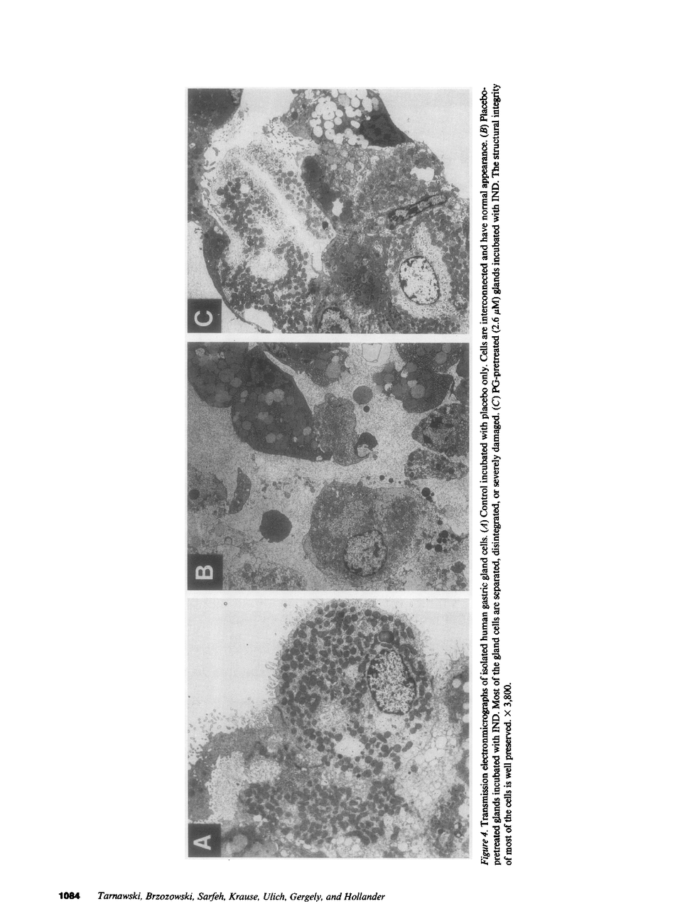
Isolated human gastric glands from surgical specimens were preincubated in an oxygenated medium with placebo or 16,16 dimethyl prostaglandin E2 (dmPGE2) and incubated at 37 degrees C in either medium alone, medium containing 4.43 mM indomethacin or medium containing 8% ethanol. We assessed the viability of gland cells with fast green exclusion, release of lactate dehydrogenase (LDH) into the medium, and ultrastructural damage by scanning and transmission electron microscopy. Both indomethacin and ethanol significantly reduced the viability of placebo-pretreated glands, increased LDH release into the medium, and produced prominent ultrastructural damage. DmPGE2 significantly reduced both indomethacin and ethanol-induced injury, increased the number of viable cells, reduced LDH release, and diminished the extent of ultrastructural damage. These studies indicate that PG protection of gastric mucosal cells has a direct cellular action that is not limited to replacement of depleted endogenous PGs. PG protection in our experiments did not depend on PG's previously described systemic actions, such as protection of the microvessels, preservation of the mucosal blood flow, or stimulation of bicarbonate and mucus secretion.
A Tarnawski, T Brzozowski, I J Sarfeh, W J Krause, T R Ulich, H Gergely, D Hollander
| 1081 | 1082 | 1083 | 1084 | 1085 | 1086 | 1087 | 1088 | 1089 |
