Abstract

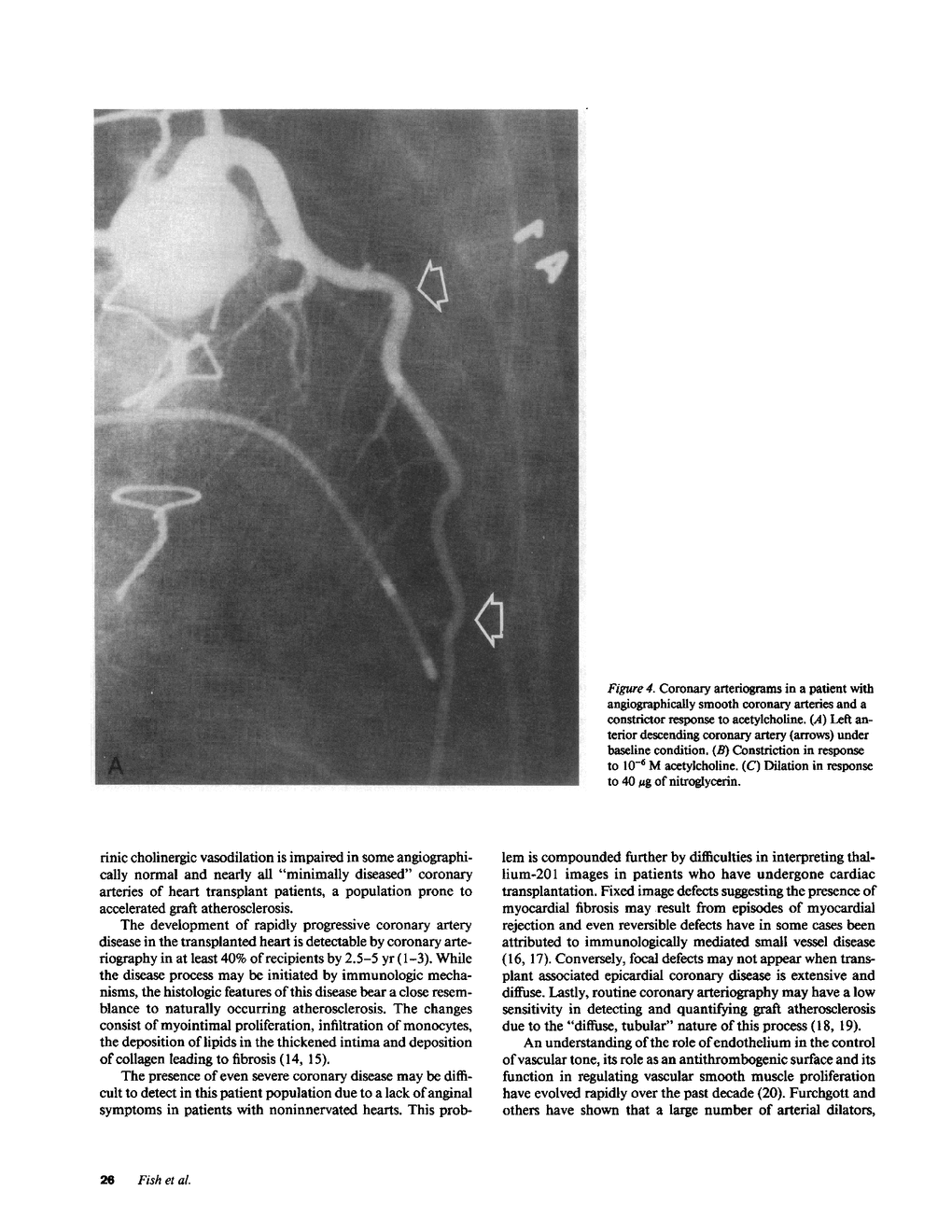
Accelerated coronary atherosclerosis is a major cause of graft failure after heart transplantation. Graft atherosclerosis is typically diffuse and difficult to detect even with coronary arteriography. Recently, acetylcholine was shown to dilate blood vessels by releasing a vasorelaxant substance from the endothelium (endothelium-derived relaxing factor). We have demonstrated paradoxical vasoconstriction induced by acetylcholine both early and late in the course of coronary atherosclerosis in patients, suggesting an association of endothelial dysfunction and atherosclerosis. In this report, we tested the hypothesis that coronary arteries of heart transplant patients can show endothelial dysfunction before or in the early stages of angiographically evident coronary atherosclerosis. Acetylcholine was infused into the left anterior descending artery of 13 heart transplant patients at 12 (n = 9) and 24 (n = 4) mo after transplantation. Vascular responses were evaluated by quantitative angiography. Among patients with angiographically smooth coronary arteries, relatively few (6/25) arterial segments had preserved vasodilator responses, while the majority failed to dilate (10/25) or paradoxically constricted (9/25). Angiographically irregular coronary arteries were present in three patients, in whom 8/10 segments showed marked paradoxical constriction and the remaining 2/10 failed to dilate. Only 1 of 13 patients retained appropriate dilation to acetylcholine in all segments. Nitroglycerin, which acts directly on vascular smooth muscle, dilated nearly all segments. No clinical features of the patients, including myocardial rejection appeared to correlate with the impaired functional response of vessels. Thus impaired response to acetylcholine is a common early finding in heart transplant patients and emphasizes the potential importance of endothelial dysfunction in the development of atherosclerosis.

Authors

R D Fish, E G Nabel, A P Selwyn, P L Ludmer, G H Mudge, J M Kirshenbaum, F J Schoen, R W Alexander, P Ganz

×

Other pages: