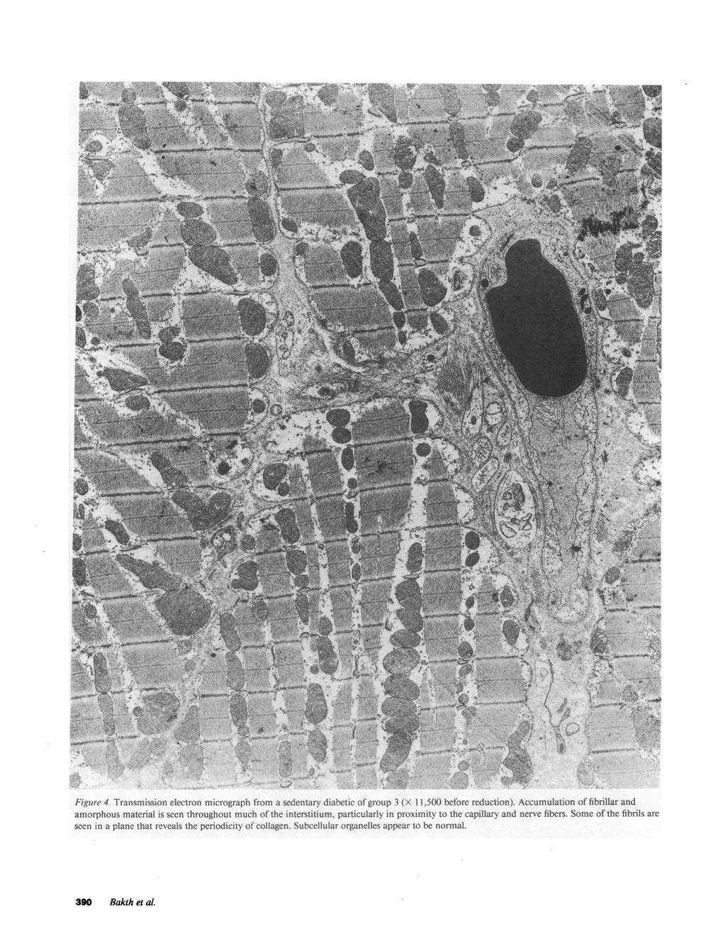
Abnormal myocardial composition in diabetes mellitus has been described, but the effects on ventricular vulnerability have not been defined. We have assessed the susceptibility to arrhythmias in a canine model after 1 yr of mild diabetes induced by alloxan. Since physical conditioning can affect metabolic abnormalities in diabetes, this intervention has also been evaluated. Group 1 served as controls and groups 3 and 4 were diabetic. Animals in the latter group as well as nondiabetic controls of group 2 were exercised on a treadmill for the last 8 mo of the experiment. After 1 yr, anesthesia was induced with chloralose for vulnerability studies. The ventricular fibrillation threshold of 24.4 +/- 1.9 mA in group 3 was significantly less than in normals (45.1 +/- 2.2). Spontaneous arrhythmias were also more prevalent in diabetics during acute ischemia (group 3-A). Increased ventricular vulnerability after epinephrine infusion was present in the sedentary diabetes despite normal ventricular function responsiveness. In a superfused preparation of myocardium, resting membrane potential and action potential amplitude were normal in diabetics, and beta-adrenergic stimulation shortened repolarization more than in controls. Myocardial collagen concentrations, which included an interfibrillar distribution on morphologic examination, were increased in group 3. In the trained diabetics of group 4 the basal vulnerability thresholds and responses to epinephrine were normal. While myocardial collagen levels were normal, cholesterol and triglyceride increments persisted. Thus, in mild experimental diabetes, enhanced susceptibility to arrhythmias exists; this susceptibility may be based on a combination of nonhomogenous collagen accumulation affecting local conduction and increased electrophysiologic sensitivity to catecholamines.
S Bakth, J Arena, W Lee, R Torres, B Haider, B C Patel, M M Lyons, T J Regan
| 382 | 383 | 384 | 385 | 386 | 387 | 388 | 389 | 390 | 391 | 392 | 393 | 394 | 395 |
