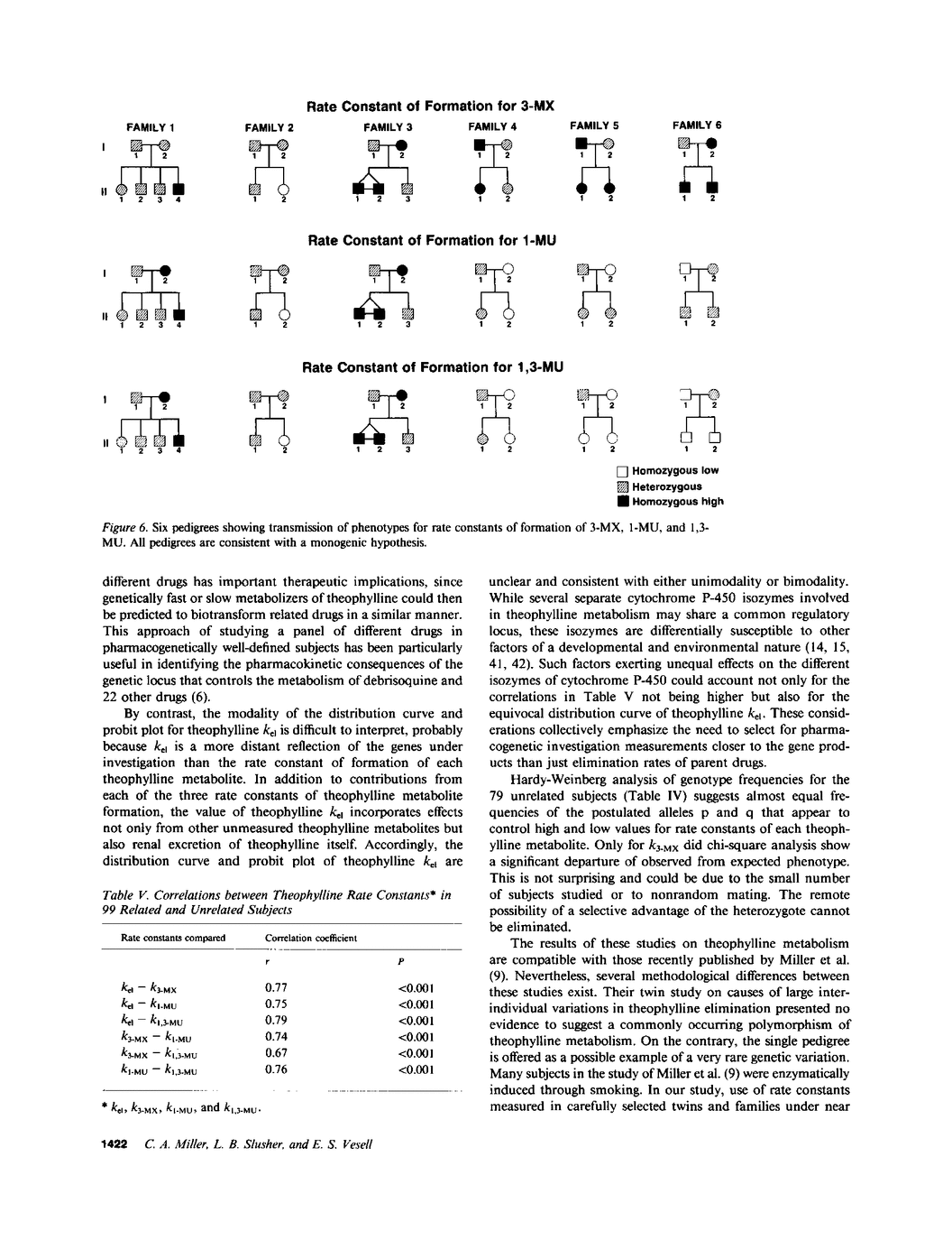
To determine whether genetic mechanisms control large interindividual variations in theophylline elimination in normal uninduced human subjects, and, if so, to test the possibility that these genetic factors are transmitted as a simple Mendelian trait, theophylline was administered to 79 unrelated adults, six sets of monozygotic twins, six sets of dizygotic twins, and six two-generation families. Thereafter, in urine collected from each subject at regular intervals for 48 h, concentrations of theophylline and its three principal metabolites were measured and rate constants of formation of these metabolites calculated. The twin study, designed to determine the relative contributions of genetic and environmental factors to large interindividual variation in theophylline elimination, revealed predominantly genetic control. Values for this genetic component, designated heritability (H1(2)), of interindividual variation in rate constants of metabolite formation were 0.61, 0.84, and 0.95 for 3-methylxanthine, 1-methyluric acid, and 1,3-dimethyluric acid, respectively. H1(2) for the overall theophylline elimination rate constant (kel) was lower (0.34). In the 79 unrelated adults, each distribution curve for rate constants of formation of each theophylline metabolite appeared to be trimodal. By contrast, the distribution curve for the overall theophylline elimination rate constant appeared to be either unimodal or bimodal. The extent of interindividual variation was fourfold for theophylline kel and 6-8-fold for the three principal metabolites. High correlations among the three rate constants in individual subjects suggested their regulation by a single shared factor. In six families carefully selected to be under near basal environmental conditions so that hepatic theophylline metabolism of each family member would be neither markedly induced nor inhibited, phenotypes for theophylline metabolite rate constants were assigned. This assignment of phenotype was made by the position of each family member's rate constant on the three distribution curves that were generated from the 79 unrelated subjects. In each family, pedigree analysis of the three phenotypes for each rate constant was consistent with their control by two alleles at a single genetic locus and with autosomal codominant transmission. Frequencies of the two alleles at each genetic locus controlling rate constants of formation of theophylline metabolites were similar (p = 0.49, 0.53, and 0.52). In the three families studied with antipyrine (AP) as well as with theophylline, AP k(el) correlated (r approximately 0.7) with each rate constant of theophylline metabolite formation, as well as with theophylline k(el). While these results are compatible with a common regulatory element in the AP and theophylline polymorphisms, other evidence suggests more than a single genetic polymorphism. This additional evidence includes different gene frequencies for the AP (p approximately 0.1) and theophylline (p approximately 0.5) polymorphisms, different genotype assignments in several families for some theophylline metabolites, different distribution curves for theophylline k(el) from those for the three theophylline metabolites in 79 unrelated subjects, and finally low correlations between AP metabolite rate constants and theophylline metabolite rate constants in the three families receiving both drugs.
C A Miller, L B Slusher, E S Vesell
| 1415 | 1416 | 1417 | 1418 | 1419 | 1420 | 1421 | 1422 | 1423 | 1424 | 1425 |
