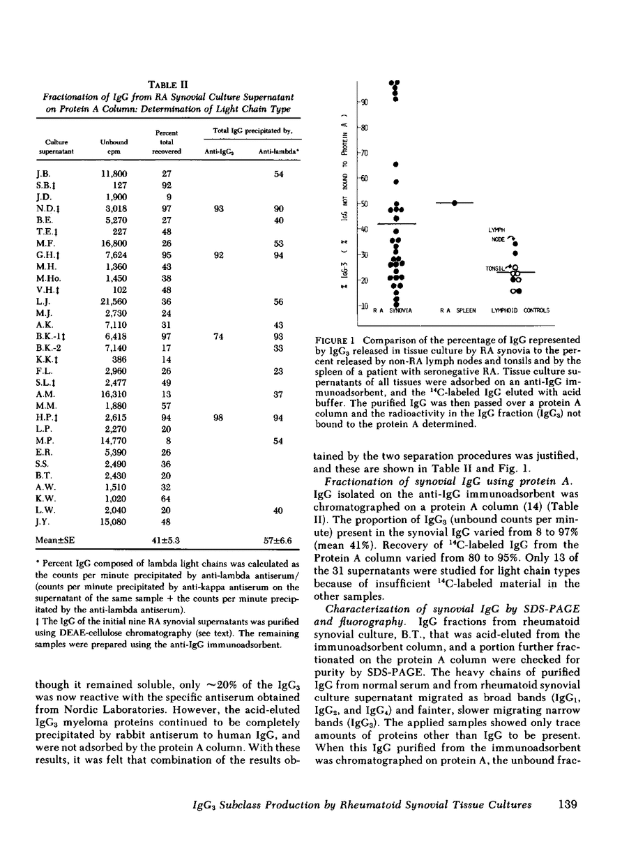
The cellular infiltrate in the deeper layers of the rheumatoid synovium produces a substantial amount of immunoglobulin (Ig)G. Culture supernatants of synovial tissues from 31 patients with rheumatoid arthritis (RA) undergoing joint replacement or synovectomy have been analyzed for the subclass of IgG present. IgG3 was measured by separation with Staphylococcal Protein A chromatography, precipitation with specific anti-IgG3 antibody, and differential separation of IgG3 heavy chains using polyacrylamide gel electrophoresis. IgG from RA synovial cultures contained an average of 41% IgG3 (range, 8-97%) compared with 12% IgG3 (range, 6-17%) in the serum IgG of the same patients. A group of non-RA control lymphoid tissues (four lymph nodes and five tonsils) produced 23% of total IgG as the IgG3 subclass (range, 16-35%). An average of only 9% of the synovial IgG showed aggregation compatible with IgG-rheumatoid factor (IgG-RF). Purified IgG from some of the RA synovial culture supernatants also showed significant restriction when separated by isoelectric focusing. This restriction and the enrichment for the IgG3 subclass in the IgG from RA synovial cultures suggest that either an antigen in the inflamed joint is selectively stimulating an antibody in this subclass, or that significantly differences in the catabolic rate of this subclass are found in cultures of synovial tissue when compared with that occurring in intact patients.
W L Hoffman, M S Goldberg, J D Smiley
136 | 137 | 138 | 139 | 140 | 141 | 142 | 143 | 144 |