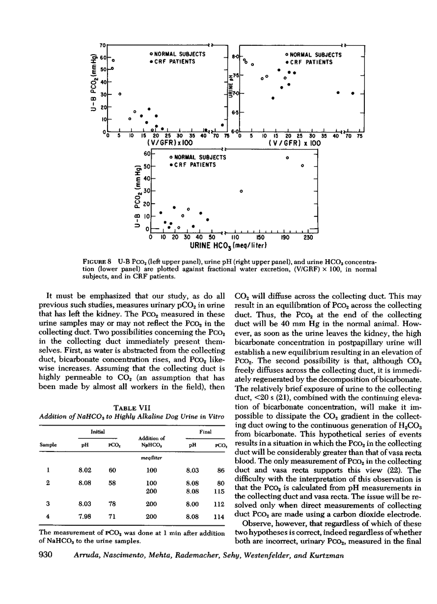
Measurement of urine to blood (U-B) carbon dioxide tension (PCO2) gradient during alkalinization of the urine has been suggested to assess distal H+ secretion. A fact that has not been considered in previous studies dealing with urinary PCO2 is that dissolution of HCO3 in water results in elevation of PCO2 which is directly proportional to the HCO3 concentration. To investigate the interrelationship of urinary HCO3 and urinary acidification, we measured U-B PCO2 in (a) the presence of enhanced H+ secretion and decreased concentrating ability i.e., chronic renal failure (CRF), (b) animals with normal H+ secretion and decreased concentrating ability, Brattleboro (BB) rats, and (c) the presence of both impaired H+ secretion and concentrating ability (LiCl treatment and after release of unilateral ureteral obstruction). At moderately elevated plasma HCO3 levels (30-40 meq/liter), normal rats achieved a highly alkaline urine (urine pH > 7.8) and raised urine HCO3 concentration and U-B PCO2. At similar plasma HCO3 levels, BB rats had a much higher fractional water excretion and failed to raise urine pH, urine HCO3 concentration, and U-B PCO2 normally. At a very high plasma HCO3 (>50 meq/liter), BB rats raised urine pH, urine HCO3 concentration, and U-B PCO2 to the same levels seen in normals. CRF rats failed to raise urine pH, urine HCO3, and U-B PCO2 normally at moderately elevated plasma HCO3 levels; at very high plasma HCO3 levels, CRF rats achieved a highly alkaline urine but failed to raise U-B PCO2. Dogs and patients with CRF were also unable to raise urine pH, urine HCO3 concentration, and U-B PCO2 normally at moderately elevated plasma HCO3 levels. In rats, dogs, and man, U-B PCO2 was directly related to urine HCO3 concentration and inversely related to fractional water excretion. At moderately elevated plasma HCO3 levels, animals with a distal acidification defect failed to raise U-B PCO2; increasing the plasma HCO3 to very high levels resulted in a significant increase in urine HCO3 concentration and U-B PCO2. The observed urinary PCO2 was very close to the PCO2 which would be expected by simple dissolution of a comparable amount of HCO3 in water. These data demonstrate that, in highly alkaline urine, urinary PCO2 is largely determined by concentration of urinary HCO3 and cannot be used as solely indicating distal H+ secretion.
Jose A. L. Arruda, Luiz Nascimento, Pradeep K. Mehta, Donald R. Rademacher, John T. Sehy, Christof Westenfelder, Neil A. Kurtzman
922 | 923 | 924 | 925 | 926 | 927 | 928 | 929 | 930 | 931 | 932 | 933 | 934 | 935 |