Muscular exercise is associated with hypermetabolism and increased hypoxic ventilatory response (HVR). In order to dissociate mechanical and metabolic factors, the effect of hypermetabolism on hypoxic ventilatory response was evaluated at rest. Carbohydrate and protein feeding increases metabolic rate, and their effects on chemosensitivity, ventilation, and blood pH were evaluated in six normal subjects 2 h and 3 h after calorically equal test meals (1,000 cal).
Clifford W. Zwillich, Steven A. Sahn, John V. Weil
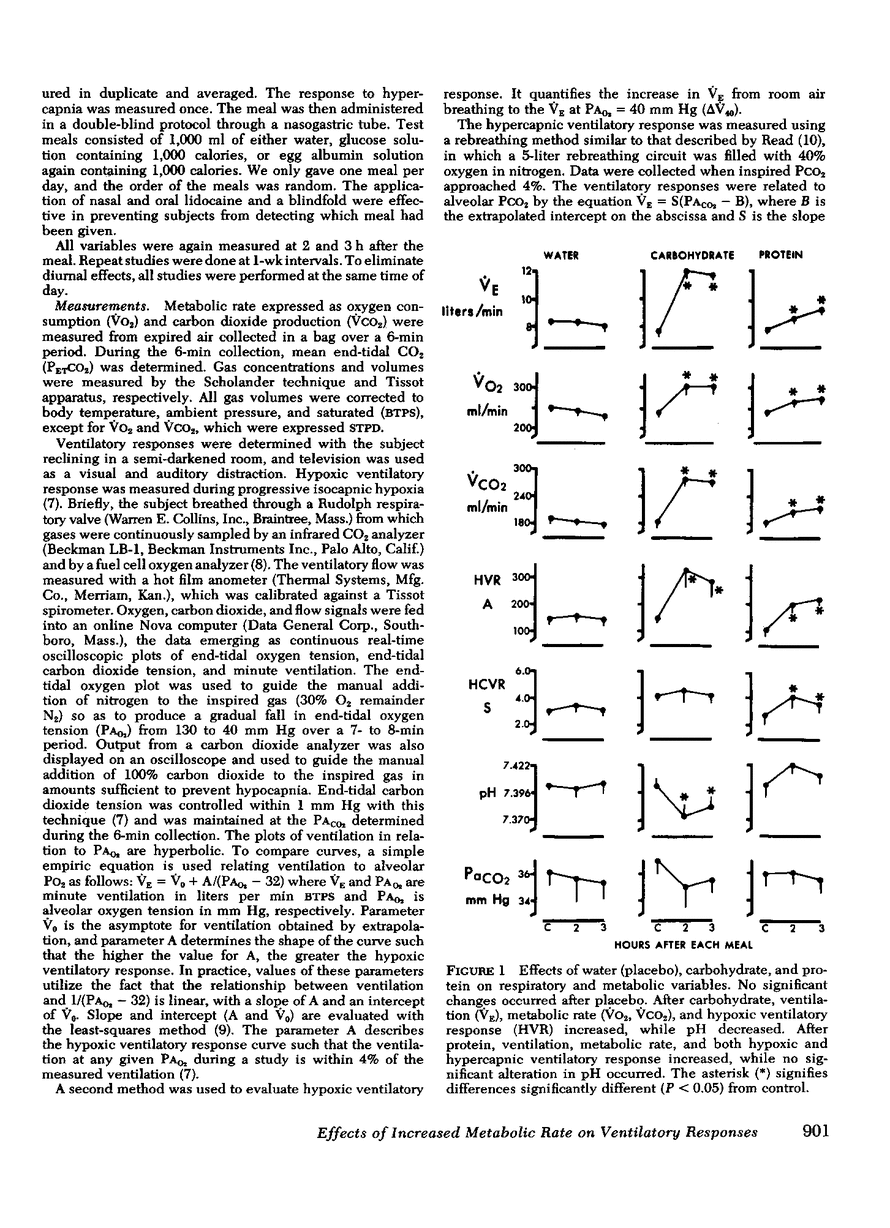
| 900 | 901 | 902 | 903 | 904 | 905 | 906 |
