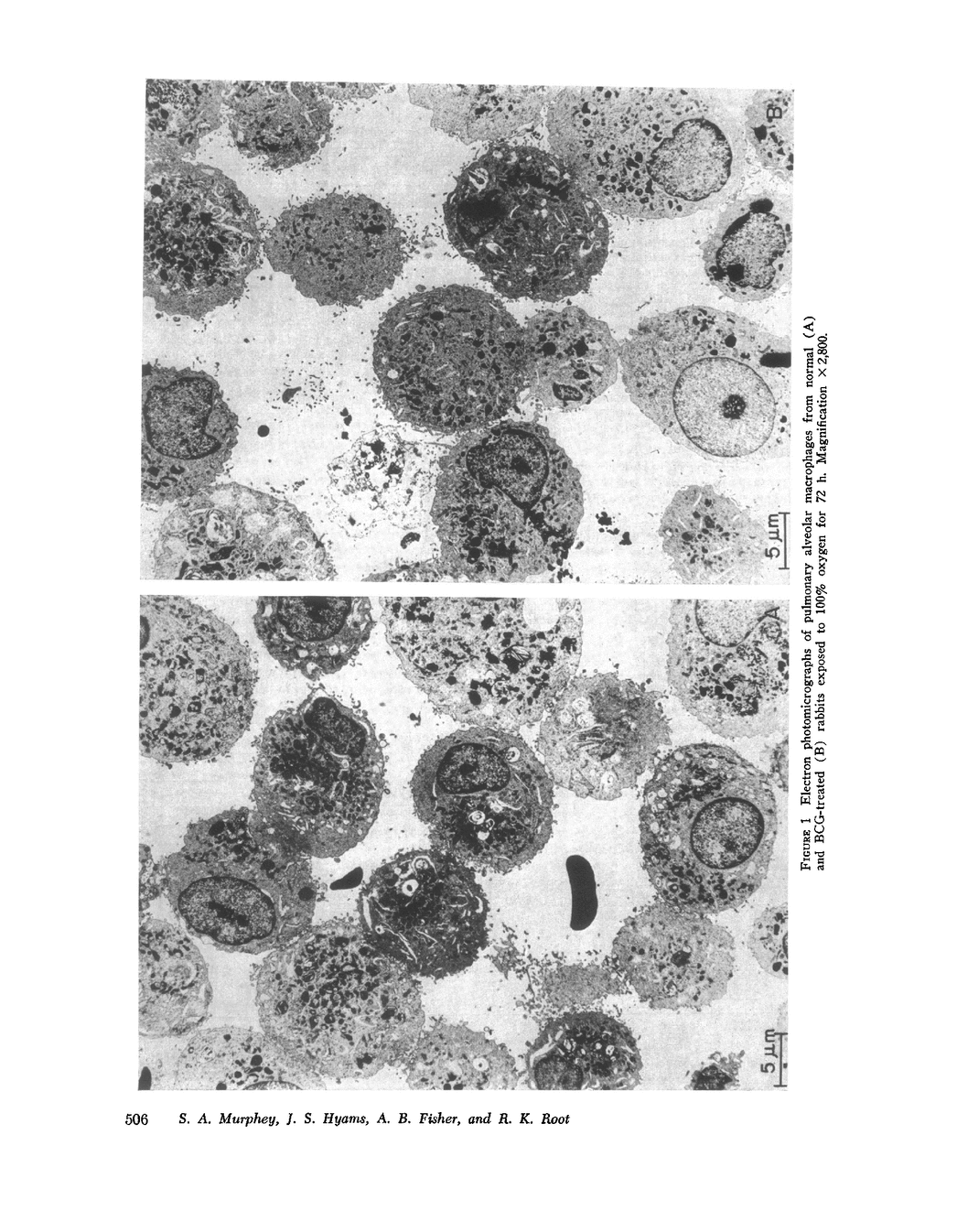
Bacterial infection may complicate pulmonary oxygen (O2) toxicity, and animals exposed to high O2 concentrations show depressed in vivo pulmonary bacterial inactivation. Therefore, in vitro studies were undertaken to define the mechanism by which O2 alters pulmonary antibacterial activity. Normal and BCG pretreated rabbits were exposed to 100% O2 for 24, 48, and 72-h periods. Pulmonary alveolar macrophages (PAM) were obtained from the experimental animals and from nonoxygen exposed controls by bronchopulmonary lavage. O2 exposure did not alter cell yield or morphology. PAMs were suspended in 10% serum-buffer, and phagocytosis of (14C)Staphylococcus aureus 502A and (14C)Pseudomonas aeruginosa was measured. Comparison of the precent uptake of the 14C-labeled S. aureus after a 60-min incubation period demonstrated that normal PAMs exposed to O2 for 48 h showed a statistically significant increase in phagocytosis when compared to their controls (43.5 vs. 29.2%). A similar, but smaller increase was seen after 24-h O2 exposures. 48 and 72-h O2 exposures produced no significant changes in phagocytosis in PAMs from BCG-stimulated rabbits. Normal PAMs also showed an increased phagocytosis of Ps. aeruginosa after 48-h oxygen exposure. No impairment of in vitro bactericidal activity against either S. aureus 502A or Ps. aeruginosa could be demonstrated in PAMs from normal rabbits exposed to O2 for 48 h. These results indicate that the in vitrophagocytic and bactericidal capacity of the rabbit PAM is relatively resistant to the toxic effects of oxygen, and that imparied in vivo activity may possibly be mediated by effects other than irreversible metabolic damage to these cells. The mechanism for the observed stimulation of phagocytosis remains to be determined.
S A Murphey, J S Hyams, A B Fisher, R K Root
| 503 | 504 | 505 | 506 | 507 | 508 | 509 | 510 | 511 |
