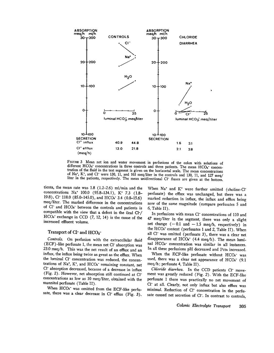
Congenital chloride diarrhea (CCD) is a rare autosomal recessive disorder, characterized by watery stools with C1- concentration around 150 meq/liter. We have perfused the colon of three patients and their three healthy siblings with different salt solutions containing 36C1- to determine the nature of the colonic defect in CCD. In the controls, net absorption of Na+ and C1- occurred against steep concentration gradients. The influx (lumen-to-plasms flux) of C1- was twice the effux. Omission of HCO3- from the perfusate caused a clear decrease in C1- efflux which suggests a coupling of C1- effux to HCO3- influx. In CCD, net Na+ absorption occurred normally when HCO3- was present in the lumen. However, Na+ absorption was always impaired when the luminal contents were acid, a situation that prevails in CCD. Net K+ secretion was clearly increased. Both influx and efflux of C1- were practically absent. Only slight net secretion occurred along a steep gradient. Net appearance of HCO3- was not observed, in contrast to controls. These findings and earlier studies of ileal function in CCD are best explained by a defect in the C1-/HCO3- exchange mechanism, which operates in both directions in the normal ileum and colon.
C Holmberg, J Perheentupa, K Launiala
302 | 303 | 304 | 305 | 306 | 307 | 308 | 309 | 310 |